25% Off Select Antibodies and ELISA Kits
Sign In/Register 0

We use cookies, check our Privacy Policies.

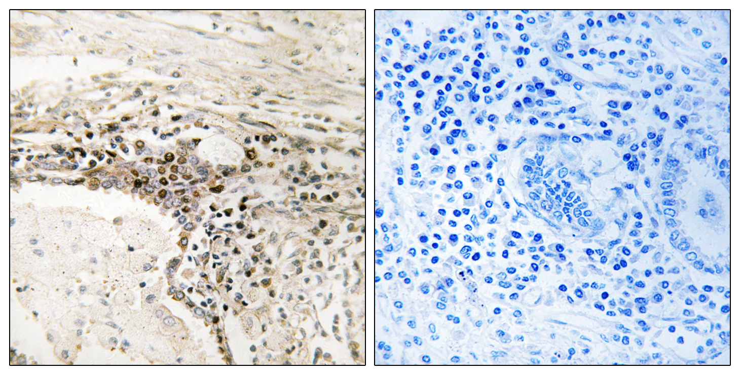
SSH3 Antibody

Assay Biotechnology Inc Antibodies and ELISA Kits have been rigorously validated for laboratory grade quality results. High specificity paired with high affinity for targets of interest give researchers an advantage with our products

Catalog No: C18034
Reactivity:Human,Mouse,Rat
Applications:WB,IHC,IF,ELISA
Modification:Unmodified/Total
Source:Polyclonal,Rabbit,IgG
Storage and Stability:Store at -20°C/1 year

$205
Product Details
Product Name
SSH3 Antibody
Description
The ADF (actin-depolymerizing factor)/cofilin family (see MIM 601442) is composed of stimulus-responsive mediators of actin dynamics. ADF/cofilin proteins are inactivated by kinases such as LIM domain kinase-1 (LIMK1; MIM 601329). The SSH family appears to play a role in actin dynamics by reactivating ADF/cofilin proteins in vivo (Niwa et al., 2002 [PubMed 11832213]).[supplied by OMIM, Mar 2008],
Catalog No
C18034
Reactivity
Human, Mouse, Rat
Source
Polyclonal, Rabbit,IgG
Modification
Unmodified/Total
Applications
WB, IHC, IF, ELISA
Dilution
WB 1:500 - 1:2000. IHC 1:100 - 1:300. ELISA: 1:40000.. IF 1:50-200
Purification
The antibody was affinity-purified from rabbit antiserum by affinity-chromatography using epitope-specific immunogen.
Concentration
1 mg/ml
Storage and Stability
Store at -20°C/1 year
Other Name
SSH3; SSH3L; Protein phosphatase Slingshot homolog 3; SSH-like protein 3; SSH-3L; hSSH-3L
Molecular Weight (Da or kDa)
Gene Name
SSH3
Protein Name
Protein phosphatase Slingshot homolog 3
Human Gene ID
54961
Human Swiss Prot No.
Q8TE77
Immunogen
The antiserum was produced against synthesized peptide derived from human SSH3. AA range:357-406
Specificity
SSH3 Polyclonal Antibody detects endogenous levels of SSH3 protein.
Formulation
Liquid in PBS containing 50% glycerol, 0.5% BSA and 0.02% sodium azide.
Related Products