25% Off Select Antibodies and ELISA Kits
Sign In/Register 0

We use cookies, check our Privacy Policies.

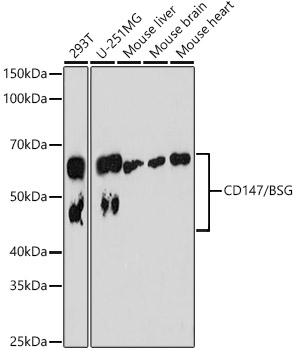
CD147/BSG (AB2897) Rabbit mAb
CD147/BSG (AB2897) Rabbit mAb

Assay Biotechnology Inc Antibodies and ELISA Kits have been rigorously validated for laboratory grade quality results. High specificity paired with high affinity for targets of interest give researchers an advantage with our products

Catalog No: M0850
Species Reactivity:Human,Mouse
Application:WB,ELISA
Host:Rabbit
Clonality:Monoclonal
Storage and Stability:Store at-20℃. Avoid freeze / thaw cycles.

$150
Product Details
Product Name
CD147/BSG (AB2897) Rabbit mAb
Description
The protein encoded by this gene, basigin, is a plasma membrane protein that is important in spermatogenesis, embryo implantation, neural network formation, and tumor progression. Basigin is also a member of the immunoglobulin superfamily, ubiquitously expressed in various tissues. Multiple transcript variants encoding different isoforms have been found for this gene.
Catalog No
M0850
Species Reactivity
Human, Mouse
Clonality
Monoclonal
Host
Rabbit
Modifcation
Unmodified
Clone
AB2897
Isotype
IgG
Application
WB, ELISA
Application Dilutions
WB, 1:500-1:1000 | ELISA, Recommended starting concentration is 1 μg/mL. Please optimize the concentration based on your specific assay requirements.
Immunogen
A synthetic peptide corresponding to a sequence within amino acids 100 - 200 of human CD147/BSG.
Specificity
This antibody detects endogenous levels of CD147/BSG protein.
Formulation
The antibody is provided in liquid form in phosphate - buffered saline with 50% glycerol, 0.05% BSA, and 0.02% sodium azide.
Purification
The antibody was purified by protein A affinity chromatography.
Storage and Stability
Store at-20℃. Avoid freeze / thaw cycles.
Gene Name
BSG
Gene ID
682
Human swiss
P35613
Protein Name
CD147/BSG
Synonyms
OK; 5F7; TCSF; CD147; EMPRIN; HAb18G; EMMPRIN; CD147/BSG
Related Products