25% Off Select Antibodies and ELISA Kits
Sign In/Register 0

We use cookies, check our Privacy Policies.

TUTase Antibody
TUTase Antibody

Assay Biotechnology Inc Antibodies and ELISA Kits have been rigorously validated for laboratory grade quality results. High specificity paired with high affinity for targets of interest give researchers an advantage with our products

Catalog No: C19350
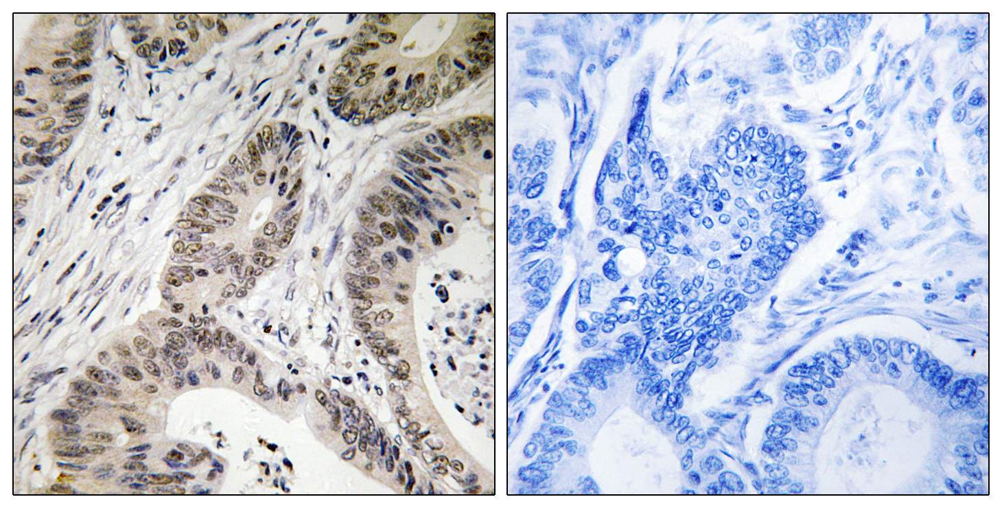
Reactivity:Human,Rat,Mouse
Applications:WB,IHC,IF,ELISA
Modification:Unmodified/Total
Source:Polyclonal,Rabbit,IgG
Storage and Stability:Store at -20°C/1 year

$205
Product Details
Product Name
TUTase Antibody
Description
This gene encodes a nucleotidyl transferase that functions as both a terminal uridylyltransferase and a nuclear poly(A) polymerase. The encoded enzyme specifically adds and removes nucleotides from the 3' end of small nuclear RNAs and select mRNAs and may function in controlling gene expression and cell proliferation.[provided by RefSeq, Apr 2009],
Catalog No
C19350
Reactivity
Human, Rat, Mouse
Source
Polyclonal, Rabbit,IgG
Modification
Unmodified/Total
Applications
WB, IHC, IF, ELISA
Dilution
WB 1:500 - 1:2000. IHC 1:100 - 1:300. ELISA: 1:20000.. IF 1:50-200
Purification
The antibody was affinity-purified from rabbit antiserum by affinity-chromatography using epitope-specific immunogen.
Concentration
1 mg/ml
Storage and Stability
Store at -20°C/1 year
Other Name
TUT1; RBM21; Speckle targeted PIP5K1A-regulated poly(A) polymerase; Star-PAP; RNA-binding motif protein 21; RNA-binding protein 21; U6 snRNA-specific terminal uridylyltransferase 1; U6-TUTase
Molecular Weight (Da or kDa)
Gene Name
TUT1
Protein Name
Speckle targeted PIP5K1A-regulated poly(A) polymerase
Human Gene ID
64852
Human Swiss Prot No.
Q9H6E5
Immunogen
The antiserum was produced against synthesized peptide derived from human TUT1. AA range:291-340
Specificity
TUTase Polyclonal Antibody detects endogenous levels of TUTase protein.
Formulation
Liquid in PBS containing 50% glycerol, 0.5% BSA and 0.02% sodium azide.
Related Products