25% Off Select Antibodies and ELISA Kits
Sign In/Register 0

We use cookies, check our Privacy Policies.

USP36 Antibody
USP36 Antibody

Assay Biotechnology Inc Antibodies and ELISA Kits have been rigorously validated for laboratory grade quality results. High specificity paired with high affinity for targets of interest give researchers an advantage with our products

Catalog No: C19381
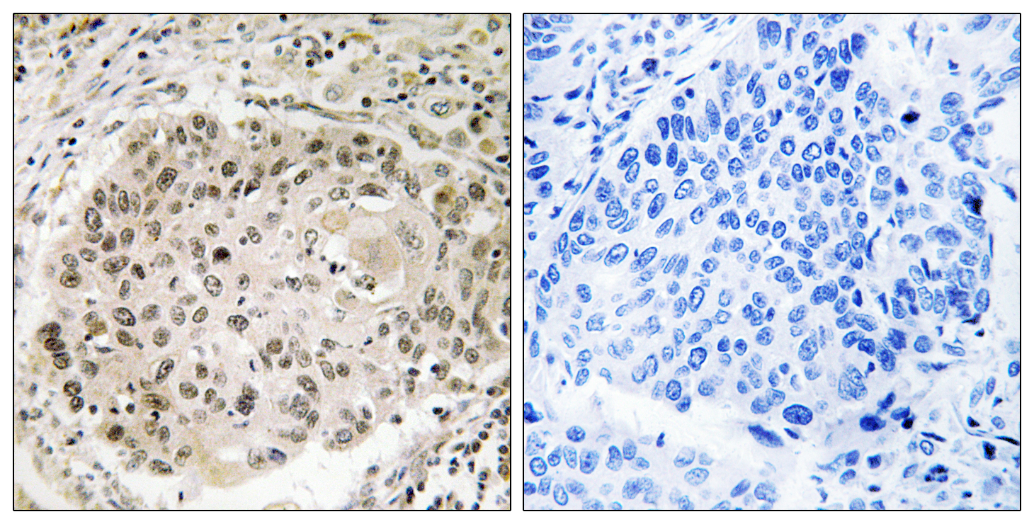
Reactivity:Human,Rat,Mouse
Applications:WB,IHC,IF,ELISA
Modification:Unmodified/Total
Source:Polyclonal,Rabbit,IgG
Storage and Stability:Store at -20°C/1 year

$205
Product Details
Product Name
USP36 Antibody
Description
This gene encodes a member of the peptidase C19 or ubiquitin-specific protease family of cysteine proteases. Members of this family remove ubiquitin molecules from polyubiquitinated proteins. The encoded protein may deubiquitinate and stabilize the transcription factor c-Myc, also known as MYC, an important oncoprotein known to be upregulated in most human cancers. The encoded protease may also regulate the activation of autophagy. This gene exhibits elevated expression in some breast and lung cancers. [provided by RefSeq, Mar 2016],
Catalog No
C19381
Reactivity
Human, Rat, Mouse
Source
Polyclonal, Rabbit,IgG
Modification
Unmodified/Total
Applications
WB, IHC, IF, ELISA
Dilution
WB 1:500 - 1:2000. IHC 1:100 - 1:300. ELISA: 1:40000.. IF 1:50-200
Purification
The antibody was affinity-purified from rabbit antiserum by affinity-chromatography using epitope-specific immunogen.
Concentration
1 mg/ml
Storage and Stability
Store at -20°C/1 year
Other Name
USP36; KIAA1453; Ubiquitin carboxyl-terminal hydrolase 36; Deubiquitinating enzyme 36; Ubiquitin thioesterase 36; Ubiquitin-specific-processing protease 36
Molecular Weight (Da or kDa)
Gene Name
USP36
Protein Name
Ubiquitin carboxyl-terminal hydrolase 36
Human Gene ID
57602
Human Swiss Prot No.
Q9P275
Immunogen
The antiserum was produced against synthesized peptide derived from human USP36. AA range:501-550
Specificity
USP36 Polyclonal Antibody detects endogenous levels of USP36 protein.
Formulation
Liquid in PBS containing 50% glycerol, 0.5% BSA and 0.02% sodium azide.
Related Products