25% Off Select Antibodies and ELISA Kits
Sign In/Register 0

We use cookies, check our Privacy Policies.

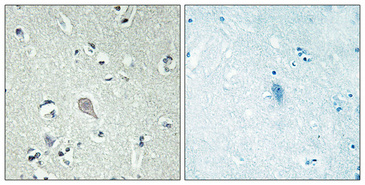
CRF-RI Antibody
CRF-RI Antibody

Assay Biotechnology Inc Antibodies and ELISA Kits have been rigorously validated for laboratory grade quality results. High specificity paired with high affinity for targets of interest give researchers an advantage with our products

Catalog No: G072
Reactivity:Human,Mouse,Rat
Applications:WB,IHC-p,IF/ICC,ELISA
Modification:Unmodified/Total
Source:Polyclonal,Rabbit
Storage and Stability:Store at -20°C/1 year

$205
Product Details
Product Name
CRF-RI Antibody
Description
Catalog No
G072
Reactivity
Human,Mouse,Rat
Source
Polyclonal, Rabbit
Modification
Unmodified/Total
Applications
WB,IHC-p,IF/ICC,ELISA
Dilution
Western Blot: 1/500 - 1/2000. Immunohistochemistry: 1/100 - 1/300. Immunofluorescence: 1/200 - 1/1000. ELISA: 1/5000. Not yet tested in other applications.
Purification
The antibody was affinity-purified from rabbit antiserum by affinity-chromatography using epitope-specific immunogen.
Concentration
Storage and Stability
Store at -20°C/1 year
Other Name
CRHR1; CRFR; CRFR1; CRHR; Corticotropin-releasing factor receptor 1; CRF-R-1; CRF-R1; CRFR-1; Corticotropin-releasing hormone receptor 1; CRH-R-1; CRH-R1
Molecular Weight (Da or kDa)
50719
Gene Name
CRHR1
Protein Name
Corticotropin-releasing factor receptor 1
Human Gene ID
Human Swiss Prot No.
P34998
Immunogen
The antiserum was produced against synthesized peptide derived from human CRHR1. AA range:75-124
Specificity
CRF-RI Polyclonal Antibody detects endogenous levels of CRF-RI protein.
Formulation
Liquid in PBS containing 50% glycerol, 0.5% BSA and 0.02% sodium azide.
Related Products