25% Off Select Antibodies and ELISA Kits
Sign In/Register 0

We use cookies, check our Privacy Policies.

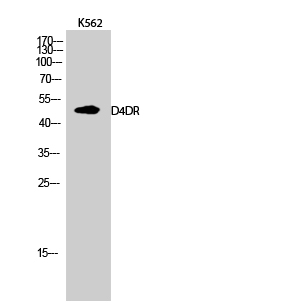
D4DR Antibody

Assay Biotechnology Inc Antibodies and ELISA Kits have been rigorously validated for laboratory grade quality results. High specificity paired with high affinity for targets of interest give researchers an advantage with our products

Catalog No: G079
Reactivity:Human,Mouse,Rat
Applications:WB,IF,ELISA
Modification:Unmodified/Total
Source:Polyclonal,Rabbit,IgG
Storage and Stability:Store at -20°C/1 year

$205
Product Details
Product Name
D4DR Antibody
Description
This gene encodes the D4 subtype of the dopamine receptor. The D4 subtype is a G-protein coupled receptor which inhibits adenylyl cyclase. It is a target for drugs which treat schizophrenia and Parkinson disease. Mutations in this gene have been associated with various behavioral phenotypes, including autonomic nervous system dysfunction, attention deficit/hyperactivity disorder, and the personality trait of novelty seeking. This gene contains a polymorphic number (2-10 copies) of tandem 48 nt repeats; the sequence shown contains four repeats. [provided by RefSeq, Jul 2008],
Catalog No
G079
Reactivity
Human, Mouse, Rat
Source
Polyclonal, Rabbit,IgG
Modification
Unmodified/Total
Applications
WB, IF, ELISA
Dilution
WB 1:500 - 1:2000. IF 1:200 - 1:1000. ELISA: 1:40000. Not yet tested in other applications.
Purification
The antibody was affinity-purified from rabbit antiserum by affinity-chromatography using epitope-specific immunogen.
Concentration
1 mg/ml
Storage and Stability
Store at -20°C/1 year
Other Name
DRD4; D(4) dopamine receptor; D(2C) dopamine receptor; Dopamine D4 receptor
Molecular Weight (Da or kDa)
Gene Name
DRD4
Protein Name
D(4) dopamine receptor
Human Gene ID
1815
Human Swiss Prot No.
P21917
Immunogen
The antiserum was produced against synthesized peptide derived from human DRD4. AA range:355-404
Specificity
D4DR Polyclonal Antibody detects endogenous levels of D4DR protein.
Formulation
Liquid in PBS containing 50% glycerol, 0.5% BSA and 0.02% sodium azide.
Related Products
Publications (1)