25% Off Select Antibodies and ELISA Kits
Sign In/Register 0

We use cookies, check our Privacy Policies.

GPR116 Antibody
GPR116 Antibody

Assay Biotechnology Inc Antibodies and ELISA Kits have been rigorously validated for laboratory grade quality results. High specificity paired with high affinity for targets of interest give researchers an advantage with our products

Catalog No: G124
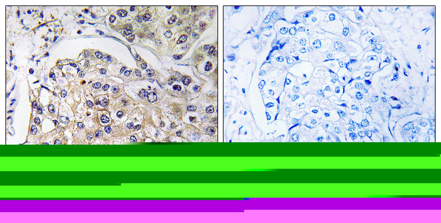
Reactivity:Human,Rat,Mouse
Applications:WB,IHC-p,IF/ICC,ELISA
Modification:Unmodified/Total
Source:Polyclonal,Rabbit
Storage and Stability:Store at -20°C/1 year

$205
Product Details
Product Name
GPR116 Antibody
Description
Catalog No
G124
Reactivity
Human,Rat,Mouse
Source
Polyclonal, Rabbit
Modification
Unmodified/Total
Applications
WB,IHC-p,IF/ICC,ELISA
Dilution
Immunohistochemistry: 1/100 - 1/300. Immunofluorescence: 1/200 - 1/1000. ELISA: 1/40000. Not yet tested in other applications.
Purification
The antibody was affinity-purified from rabbit antiserum by affinity-chromatography using epitope-specific immunogen.
Concentration
Storage and Stability
Store at -20°C/1 year
Other Name
GPR116; KIAA0758; Probable G-protein coupled receptor 116
Molecular Weight (Da or kDa)
149457
Gene Name
GPR116
Protein Name
Probable G-protein coupled receptor 116
Human Gene ID
Human Swiss Prot No.
Q8IZF2
Immunogen
The antiserum was produced against synthesized peptide derived from human GPR116. AA range:1121-1170
Specificity
GPR116 Polyclonal Antibody detects endogenous levels of GPR116 protein.
Formulation
Liquid in PBS containing 50% glycerol, 0.5% BSA and 0.02% sodium azide.
Related Products