25% Off Select Antibodies and ELISA Kits
Sign In/Register 0

We use cookies, check our Privacy Policies.

Frizzled-5 Antibody
Frizzled-5 Antibody

Assay Biotechnology Inc Antibodies and ELISA Kits have been rigorously validated for laboratory grade quality results. High specificity paired with high affinity for targets of interest give researchers an advantage with our products

Catalog No: G259
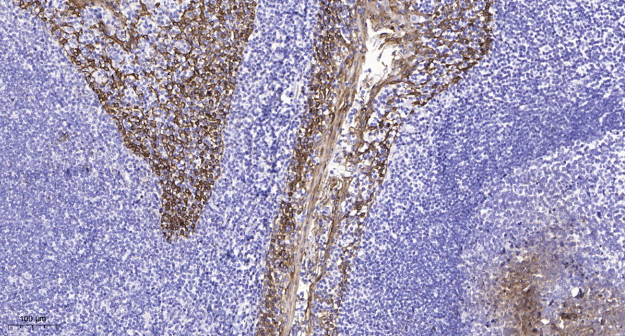
Reactivity:Human,Mouse,Rat
Applications:WB,IHC,IF,ELISA
Modification:Unmodified/Total
Source:Polyclonal,Rabbit,IgG
Storage and Stability:Store at -20°C/1 year

$205
Product Details
Product Name
Frizzled-5 Antibody
Description
frizzled class receptor 5(FZD5) Homo sapiens Members of the 'frizzled' gene family encode 7-transmembrane domain proteins that are receptors for Wnt signaling proteins. The FZD5 protein is believed to be the receptor for the Wnt5A ligand. [provided by RefSeq, Jul 2008],
Catalog No
G259
Reactivity
Human, Mouse, Rat
Source
Polyclonal, Rabbit,IgG
Modification
Unmodified/Total
Applications
WB, IHC, IF, ELISA
Dilution
WB 1:500 - 1:2000. IHC 1:100 - 1:300. IF 1:200 - 1:1000. ELISA: 1:20000. Not yet tested in other applications.
Purification
The antibody was affinity-purified from rabbit antiserum by affinity-chromatography using epitope-specific immunogen.
Concentration
1 mg/ml
Storage and Stability
Store at -20°C/1 year
Other Name
FZD5; C2orf31; Frizzled-5; Fz-5; hFz5; FzE5
Molecular Weight (Da or kDa)
Gene Name
FZD5
Protein Name
Frizzled-5
Human Gene ID
7855
Human Swiss Prot No.
Q13467
Immunogen
The antiserum was produced against synthesized peptide derived from human FZD5. AA range:461-510
Specificity
Frizzled-5 Polyclonal Antibody detects endogenous levels of Frizzled-5 protein.
Formulation
Liquid in PBS containing 50% glycerol, 0.5% BSA and 0.02% sodium azide.
Related Products