25% Off Select Antibodies and ELISA Kits
Sign In/Register 0

We use cookies, check our Privacy Policies.

GPR126 Antibody
GPR126 Antibody

Assay Biotechnology Inc Antibodies and ELISA Kits have been rigorously validated for laboratory grade quality results. High specificity paired with high affinity for targets of interest give researchers an advantage with our products

Catalog No: G290
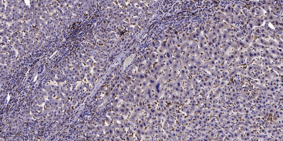
Reactivity:Human,Rat,Mouse
Applications:WB,IHC,IF,ELISA
Modification:Unmodified/Total
Source:Polyclonal,Rabbit,IgG
Storage and Stability:Store at -20°C/1 year

$205
Product Details
Product Name
GPR126 Antibody
Description
This gene, which is upregulated in human umbilical vein endothelial cells, encodes a G protein-coupled receptor. Variations in this gene can affect a person's stature. Multiple transcript variants encoding different proteins have been found for this gene. [provided by RefSeq, Mar 2009],
Catalog No
G290
Reactivity
Human, Rat, Mouse
Source
Polyclonal, Rabbit,IgG
Modification
Unmodified/Total
Applications
WB, IHC, IF, ELISA
Dilution
WB 1:500 - 1:2000. IHC 1:100 - 1:300. IF 1:200 - 1:1000. ELISA: 1:5000. Not yet tested in other applications.
Purification
The antibody was affinity-purified from rabbit antiserum by affinity-chromatography using epitope-specific immunogen.
Concentration
1 mg/ml
Storage and Stability
Store at -20°C/1 year
Other Name
GPR126; DREG; VIGR; G-protein coupled receptor 126; Developmentally regulated G-protein-coupled receptor; Vascular inducible G protein-coupled receptor
Molecular Weight (Da or kDa)
Gene Name
GPR126
Protein Name
G-protein coupled receptor 126
Human Gene ID
57211
Human Swiss Prot No.
Q86SQ4
Immunogen
The antiserum was produced against synthesized peptide derived from human GPR126. AA range:431-480
Specificity
GPR126 Polyclonal Antibody detects endogenous levels of GPR126 protein.
Formulation
Liquid in PBS containing 50% glycerol, 0.5% BSA and 0.02% sodium azide.
Related Products