25% Off Select Antibodies and ELISA Kits
Sign In/Register 0

We use cookies, check our Privacy Policies.

GPR132 Antibody
GPR132 Antibody

Assay Biotechnology Inc Antibodies and ELISA Kits have been rigorously validated for laboratory grade quality results. High specificity paired with high affinity for targets of interest give researchers an advantage with our products

Catalog No: G291
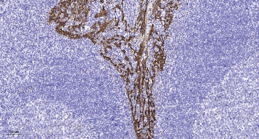
Reactivity:Human,Rat,Mouse
Applications:WB,IHC,IF,ELISA
Modification:Unmodified/Total
Source:Polyclonal,Rabbit,IgG
Storage and Stability:Store at -20°C/1 year

$205
Product Details
Product Name
GPR132 Antibody
Description
This gene encodes a member of the guanine nucleotide-binding protein (G protein)-coupled receptor (GPCR) superfamily. The receptors are seven-pass transmembrane proteins that respond to extracellular cues and activate intracellular signal transduction pathways. This protein was reported to be a receptor for lysophosphatidylcholine action, but PubMedID: 15653487 retracts this finding and instead suggests this protein to be an effector of lysophosphatidylcholine action. This protein may have proton-sensing activity and may be a receptor for oxidized free fatty acids. Alternative splicing results in multiple transcript variants. [provided by RefSeq, Jul 2013],
Catalog No
G291
Reactivity
Human, Rat, Mouse
Source
Polyclonal, Rabbit,IgG
Modification
Unmodified/Total
Applications
WB, IHC, IF, ELISA
Dilution
WB 1:500 - 1:2000. IHC 1:100 - 1:300. IF 1:200 - 1:1000. ELISA: 1:5000. Not yet tested in other applications.
Purification
The antibody was affinity-purified from rabbit antiserum by affinity-chromatography using epitope-specific immunogen.
Concentration
1 mg/ml
Storage and Stability
Store at -20°C/1 year
Other Name
GPR132; G2A; Probable G-protein coupled receptor 132; G2 accumulation protein
Molecular Weight (Da or kDa)
Gene Name
GPR132
Protein Name
Probable G-protein coupled receptor 132
Human Gene ID
29933
Human Swiss Prot No.
Q9UNW8
Immunogen
The antiserum was produced against synthesized peptide derived from human GPR132. AA range:311-360
Specificity
GPR132 Polyclonal Antibody detects endogenous levels of GPR132 protein.
Formulation
Liquid in PBS containing 50% glycerol, 0.5% BSA and 0.02% sodium azide.
Related Products