25% Off Select Antibodies and ELISA Kits
Sign In/Register 0

We use cookies, check our Privacy Policies.

MRGF Antibody

Assay Biotechnology Inc Antibodies and ELISA Kits have been rigorously validated for laboratory grade quality results. High specificity paired with high affinity for targets of interest give researchers an advantage with our products

Catalog No: G392
Reactivity:Human,Mouse,Rat
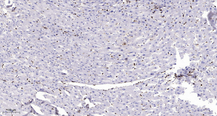
Applications:WB,IHC
Modification:Unmodified/Total
Source:Polyclonal,Rabbit,IgG
Storage and Stability:Store at -20°C/1 year

$205
Product Details
Product Name
MRGF Antibody
Description
function:Orphan receptor. May bind to a neuropeptide and may regulate nociceptor function and/or development, including the sensation or modulation of pain.,similarity:Belongs to the G-protein coupled receptor 1 family.,similarity:Belongs to the G-protein coupled receptor 1 family. Mas subfamily.,
Catalog No
G392
Reactivity
Human, Mouse, Rat
Source
Polyclonal, Rabbit,IgG
Modification
Unmodified/Total
Applications
WB, IHC
Dilution
WB 1:500-2000;IHC 1:50-300
Purification
The antibody was affinity-purified from rabbit antiserum by affinity-chromatography using epitope-specific immunogen.
Concentration
1 mg/ml
Storage and Stability
Store at -20°C/1 year
Other Name
MRGPRF; GPR140; GPR168; MRGF; PSEC0142; Mas-related G-protein coupled receptor member F; Mas-related gene F protein; G-protein coupled receptor 140; G-protein coupled receptor 168
Molecular Weight (Da or kDa)
Gene Name
MRGPRF
Protein Name
Mas-related G-protein coupled receptor member F
Human Gene ID
116535
Human Swiss Prot No.
Q96AM1
Immunogen
The antiserum was produced against synthesized peptide derived from human MRGRF. AA range:271-320
Specificity
MRGF Polyclonal Antibody detects endogenous levels of MRGF protein.
Formulation
Liquid in PBS containing 50% glycerol, 0.5% BSA and 0.02% sodium azide.
Related Products