25% Off Select Antibodies and ELISA Kits
Sign In/Register 0

We use cookies, check our Privacy Policies.

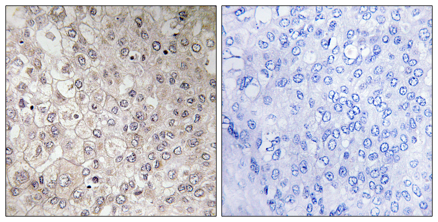
GIPR Antibody

Assay Biotechnology Inc Antibodies and ELISA Kits have been rigorously validated for laboratory grade quality results. High specificity paired with high affinity for targets of interest give researchers an advantage with our products

Catalog No: G805
Reactivity:Human,Rat,Mouse
Applications:WB,IHC,IF,ELISA
Modification:Unmodified/Total
Source:Polyclonal,Rabbit,IgG
Storage and Stability:Store at -20°C/1 year

$205
Product Details
Product Name
GIPR Antibody
Description
This gene encodes a G-protein coupled receptor for gastric inhibitory polypeptide (GIP), which was originally identified as an activity in gut extracts that inhibited gastric acid secretion and gastrin release, but subsequently was demonstrated to stimulate insulin release in the presence of elevated glucose. Mice lacking this gene exhibit higher blood glucose levels with impaired initial insulin response after oral glucose load. Defect in this gene thus may contribute to the pathogenesis of diabetes. [provided by RefSeq, Oct 2011],
Catalog No
G805
Reactivity
Human, Rat, Mouse
Source
Polyclonal, Rabbit,IgG
Modification
Unmodified/Total
Applications
WB, IHC, IF, ELISA
Dilution
WB 1:500 - 1:2000. IHC 1:100 - 1:300. IF 1:200 - 1:1000. ELISA: 1:20000. Not yet tested in other applications.
Purification
The antibody was affinity-purified from rabbit antiserum by affinity-chromatography using epitope-specific immunogen.
Concentration
1 mg/ml
Storage and Stability
Store at -20°C/1 year
Other Name
GIPR; Gastric inhibitory polypeptide receptor; GIP-R; Glucose-dependent insulinotropic polypeptide receptor
Molecular Weight (Da or kDa)
Gene Name
GIPR
Protein Name
Gastric inhibitory polypeptide receptor
Human Gene ID
2696
Human Swiss Prot No.
P48546
Immunogen
The antiserum was produced against synthesized peptide derived from human GIPR. AA range:93-142
Specificity
GIPR Polyclonal Antibody detects endogenous levels of GIPR protein.
Formulation
Liquid in PBS containing 50% glycerol, 0.5% BSA and 0.02% sodium azide.
Related Products