25% Off Select Antibodies and ELISA Kits
Sign In/Register 0

We use cookies, check our Privacy Policies.

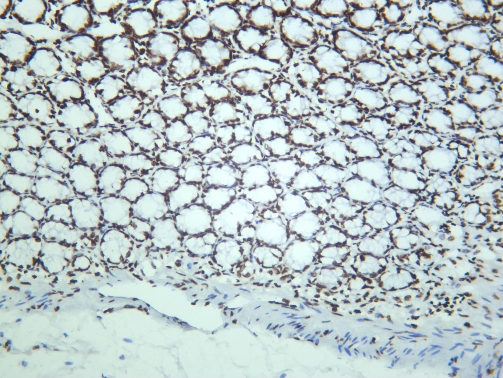
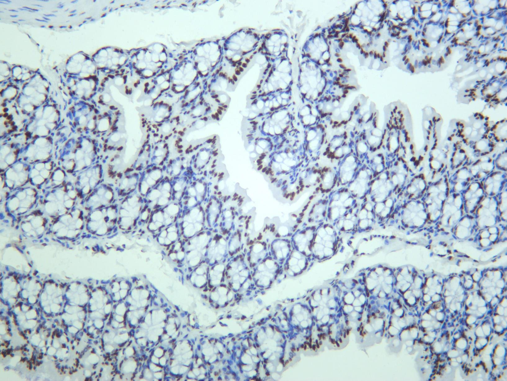
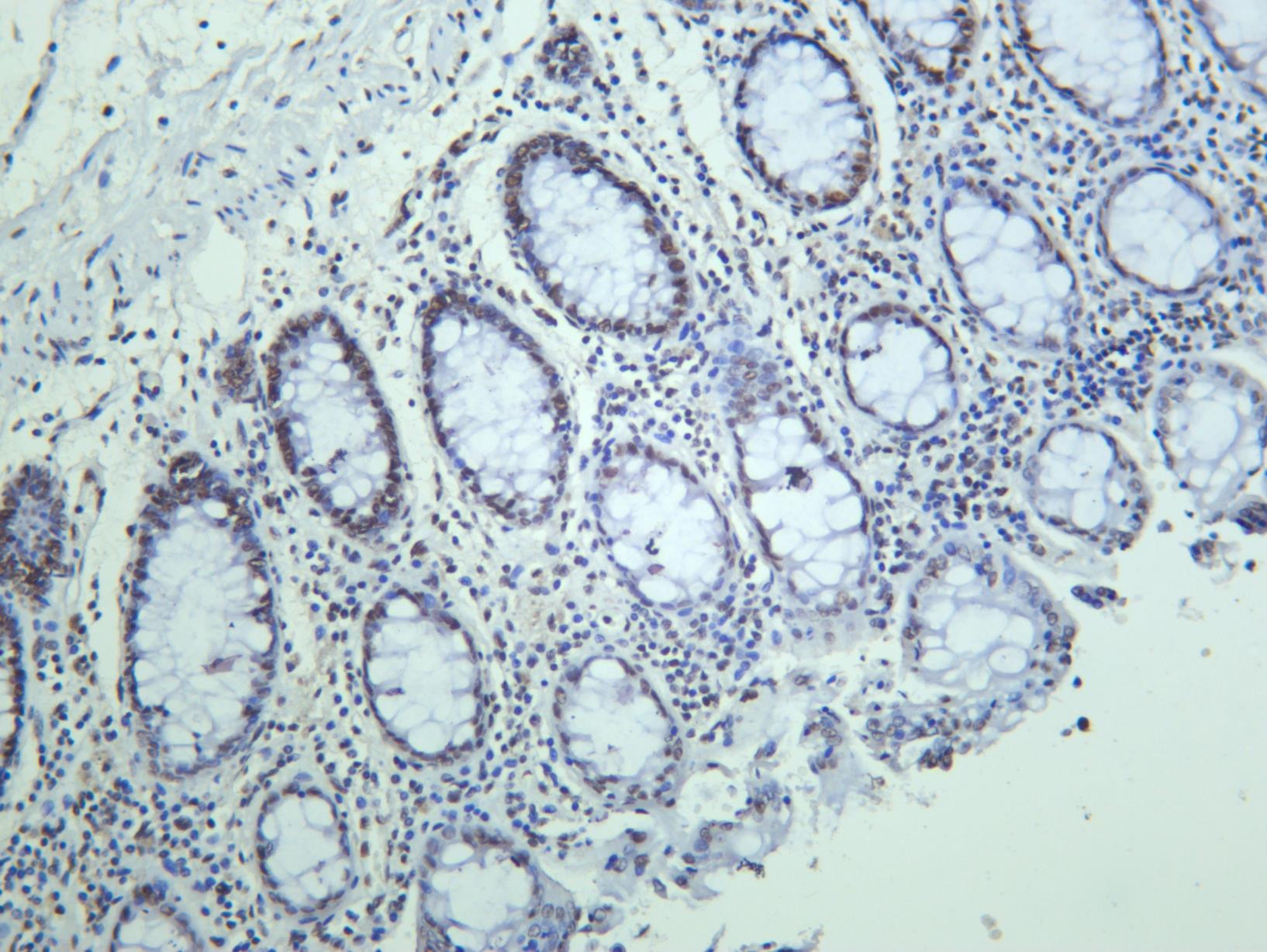
Histone H3 (Tri Methyl Lys36) (AB2310) Rabbit mAb
Histone H3 (Tri Methyl Lys36) (AB2310) Rabbit mAb

Assay Biotechnology Inc Antibodies and ELISA Kits have been rigorously validated for laboratory grade quality results. High specificity paired with high affinity for targets of interest give researchers an advantage with our products

Catalog No: M3612
Species Reactivity:Human,Mouse,Rat
Application:WB;IHC;IF;IP;ELISA
Host:Rabbit
Clonality:Monoclonal
Storage and Stability:Store at-20℃. Avoid freeze / thaw cycles.

$135
Product Details
Product Name
Histone H3 (Tri Methyl Lys36) (AB2310) Rabbit mAb
Description
Histones are basic nuclear proteins that are responsible for the nucleosome structure of the chromosomal fiber in eukaryotes. This structure consists of approximately 146 bp of DNA wrapped around a nucleosome, an octamer composed of pairs of each of the four core histones (H2A, H2B, H3, and H4) . The chromatin fiber is further compacted through the interaction of a linker histone, H1, with the DNA between the nucleosomes to form higher order chromatin structures. This gene is intronless and encodes a replication-dependent histone that is a member of the histone H3 family. Transcripts from this gene lack polyA tails; instead, they contain a palindromic termination element. This gene is found in the large histone gene cluster on chromosome 6p22-p21. 3. [provided by RefSeq, Aug 2015]
Catalog No
M3612
Species Reactivity
Human, Mouse, Rat
Clonality
Monoclonal
Host
Rabbit
Modifcation
TriMethyl K36
Clone
AB2310
Isotype
IgG
Application
WB;IHC;IF;IP;ELISA
Application Dilutions
WB, 1:2000-1:10000 | IHC, 1:200-1:1000 | IF, 1:200-1:1000 | IP, 0. 5μg-4μg antibody for 200μg-400μg extracts of whole cells. | ELISA, Recommended starting concentration is 1 µg/mL. Please optimize the concentration based on your specific assay requirements.
Immunogen
Recombinant protein (or fragment). This information is considered to be commercially sensitive.
Specificity
The antibody detects endogenous levels of Histone H3 protein only when tri-methylated at Lys36. The antibody does not cross-react with mono-methylated or di-methylated Histone H3 Lys36 and other tri-methylated sites.
Formulation
The antibody is provided in liquid form in phosphate - buffered saline with 50% glycerol, 0.05% BSA, and 0.05% Proclin 300.
Purification
The antibody was purified by protein A affinity chromatography.
Storage and Stability
Store at-20℃. Avoid freeze / thaw cycles.
Gene Name
HIST1H3A/HIST1H3B/HIST1H3C/HIST1H3D/HIST1H3E/HIST1H3F/HIST1H3G/HIST1H3H/HIST1H3I/HIST1H3J/HIST2H3A/HIST2H3C/HIST2H3D/H3F3A/H3F3B
Gene ID
8350; 8351; 8352; 8353; 8354; 8355; 8356; 8357; 8358; 8968
Human swiss
P68431; Q71DI3; P84243
Protein Name
Histone H3. 1/Histone H3. 2/Histone H3. 3
Synonyms
H3K36ME3;HIST1H3A;H3FA;HIST1H3B;H3FL;HIST1H3C;H3FC;HIST1H3D;H3FB;HIST1H3E;H3FD;HIST1H3F;H3FI;HIST1H3G;H3FH;HIST1H3H;H3FK;HIST1H3I;H3FF;HIST1H3J;H3FJ;Histone H3. 1;Histone H3/a;Histone H3/b;Histone H3/c;Histone H3/d;Histone H3/f;Histone H3/h;Histone H3/i;Histone H3/j;Histone H3/k;Histone H3/l;HIST2H3A;HIST2H3C;H3F2;H3FM;HIST2H3D;Histone H3. 2;Histone H3/m;Histone H3/o;H3F3A;H3. 3A;H3F3;PP781;H3F3B;H3. 3B;Histone H3. 3
Related Products