25% Off Select Antibodies and ELISA Kits
Sign In/Register 0

We use cookies, check our Privacy Policies.

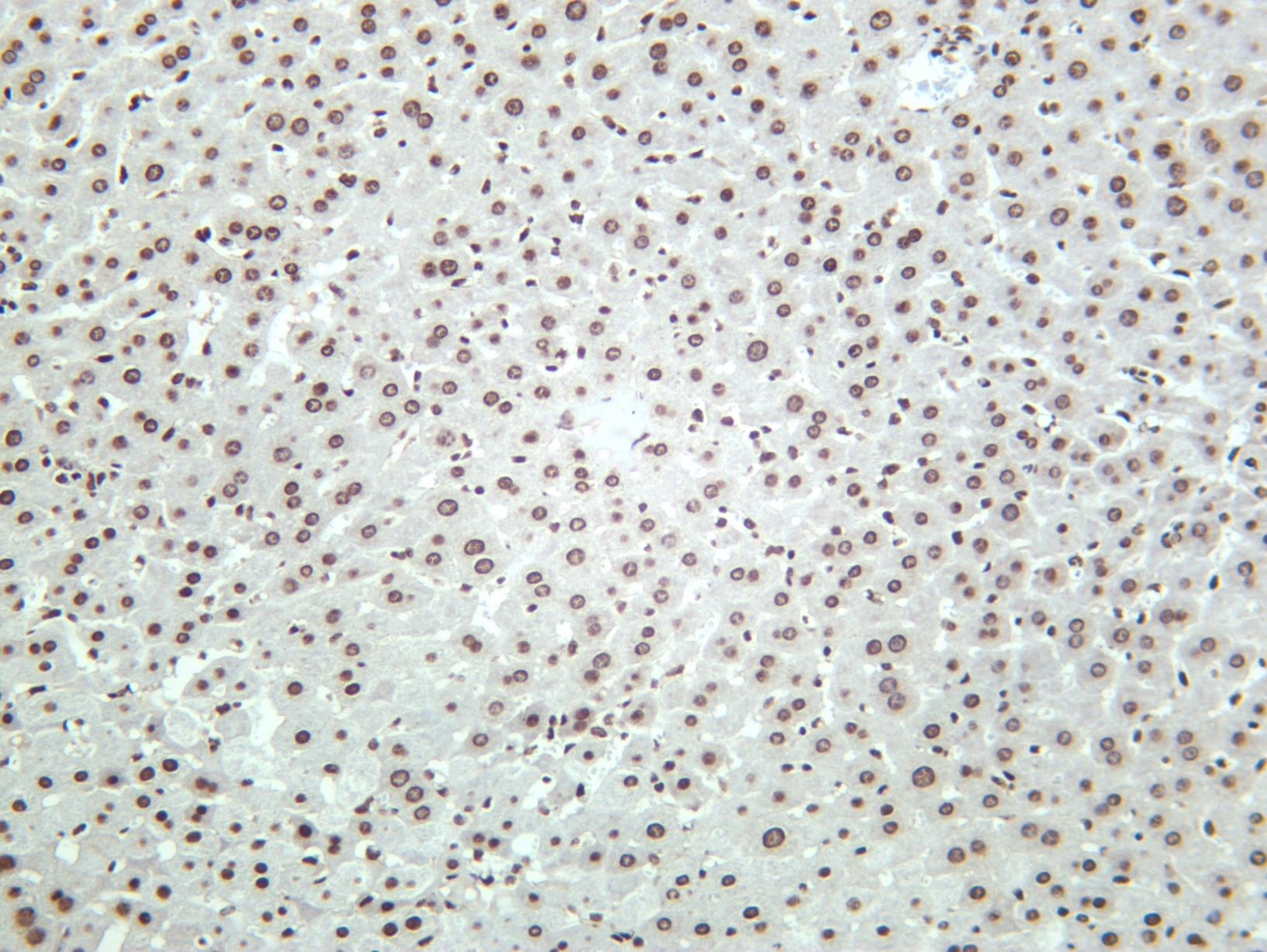
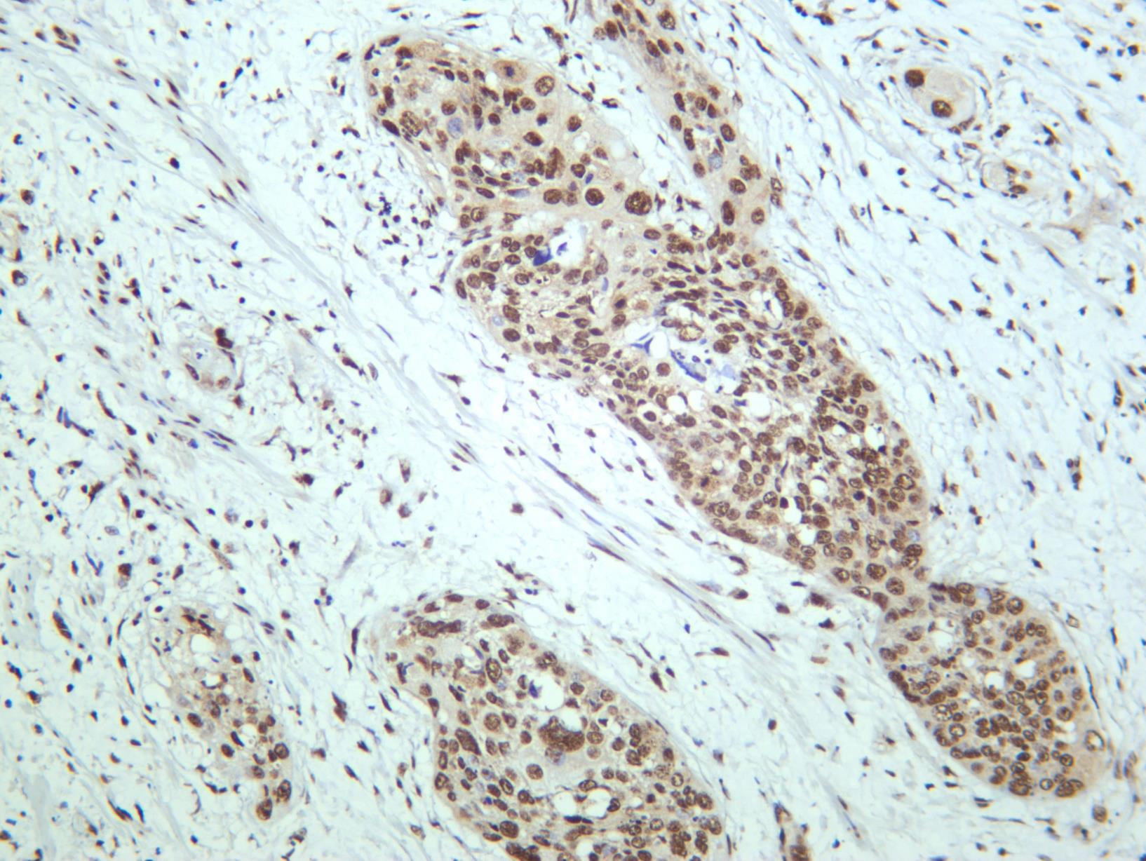
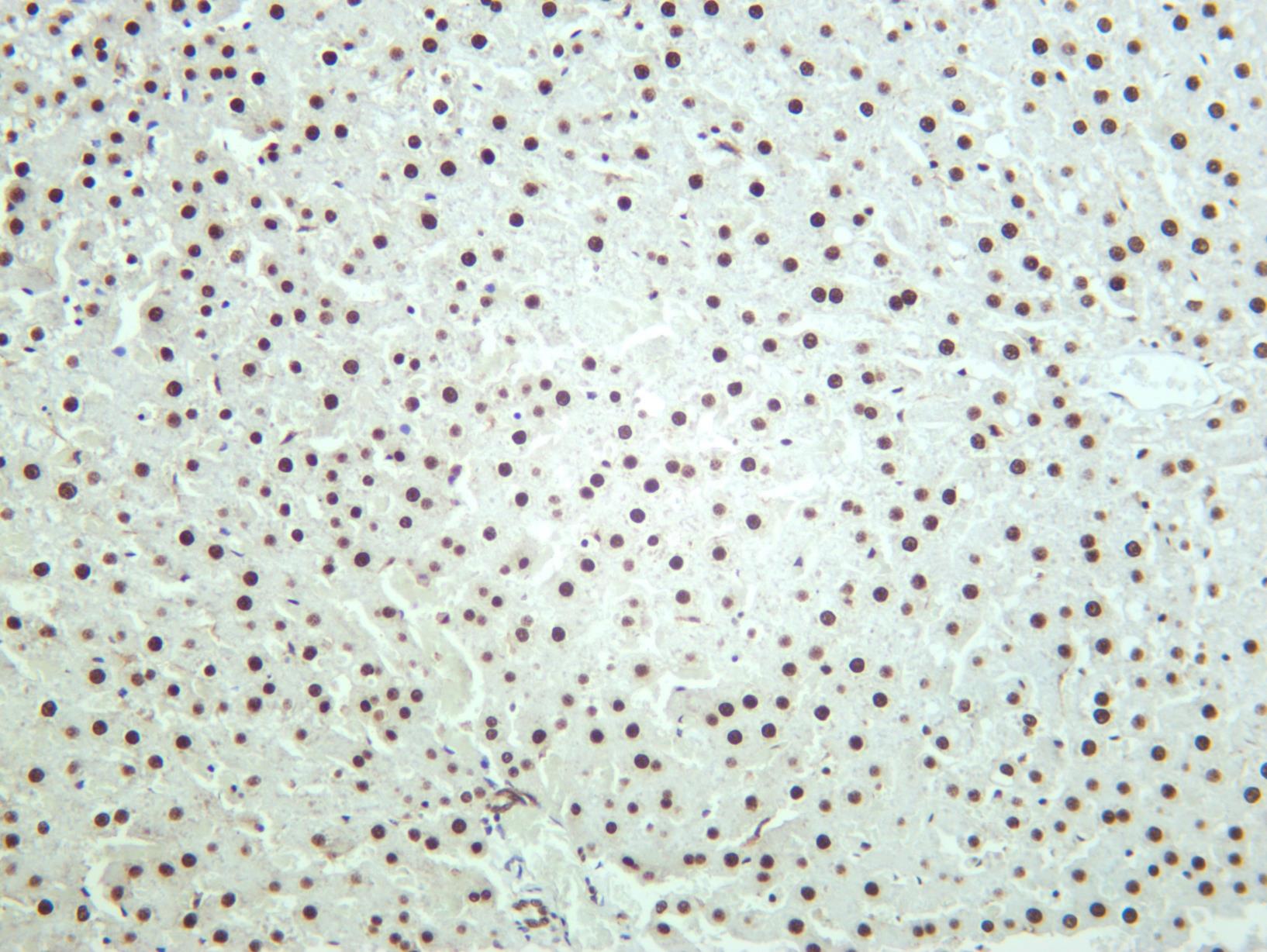
SMAD5 (Phospho Ser463/Ser465) (AB1609) Rabbit mAb
SMAD5 (Phospho Ser463/Ser465) (AB1609) Rabbit mAb

Assay Biotechnology Inc Antibodies and ELISA Kits have been rigorously validated for laboratory grade quality results. High specificity paired with high affinity for targets of interest give researchers an advantage with our products

Catalog No: M3522
Species Reactivity:Human,Mouse,Rat
Application:WB,IHC,IF,IP,ELISA
Host:Rabbit
Clonality:Monoclonal
Storage and Stability:Store at-20℃. Avoid freeze / thaw cycles.

$135
Product Details
Product Name
SMAD5 (Phospho Ser463/Ser465) (AB1609) Rabbit mAb
Description
The protein encoded by this gene is involved in the transforming growth factor beta signaling pathway that results in an inhibition of the proliferation of hematopoietic progenitor cells. The encoded protein is activated by bone morphogenetic proteins type 1 receptor kinase, and may be involved in cancer. Alternative splicing results in multiple transcript variants. [provided by RefSeq, Feb 2014],
Catalog No
M3522
Species Reactivity
Human, Mouse, Rat
Clonality
Monoclonal
Host
Rabbit
Modifcation
phospho S463 / S465
Clone
AB1609
Isotype
IgG
Application
WB, IHC, IF, IP, ELISA
Application Dilutions
WB, 1:2000-1:10000 | IHC, 1:200-1:1000 | IF, 1:200-1:1000 | IP, 0. 5μg-4μg antibody for 200μg-400μg extracts of whole cells. | ELISA, Recommended starting concentration is 1 µg/mL. Please optimize the concentration based on your specific assay requirements.
Immunogen
Recombinant protein (or fragment). This information is considered to be commercially sensitive.
Specificity
The antibody detects endogenous levels of SMAD5 protein only when phosphorylated at Ser463 and Ser465. The antibody does not cross-react with SMAD5 phosphorylated at other sites.
Formulation
The antibody is provided in liquid form in phosphate - buffered saline with 50% glycerol, 0.05% BSA, and 0.05% Proclin 300.
Purification
The antibody was purified by protein A affinity chromatography.
Storage and Stability
Store at-20℃. Avoid freeze / thaw cycles.
Gene Name
SMAD5
Gene ID
4090
Human swiss
Q99717
Protein Name
SMAD5 (Phospho Ser463/Ser465)
Synonyms
SMAD5, MADH5, Mothers against decapentaplegic homolog 5, MAD homolog 5, Mothers against DPP homolog 5, JV5-1, SMAD family member 5, SMAD 5, Smad5, hSmad5
Related Products