25% Off Select Antibodies and ELISA Kits
Sign In/Register 0

We use cookies, check our Privacy Policies.

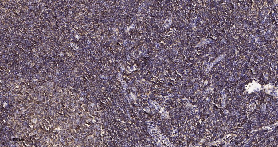
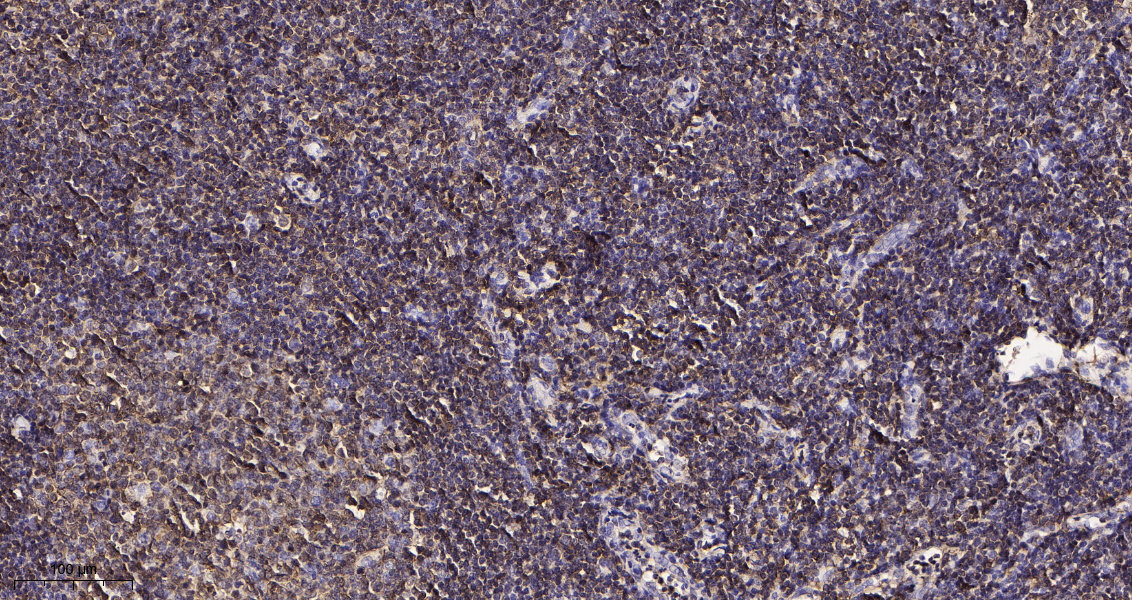
GCET2 (AB2229) Rabbit mAb
GCET2 (AB2229) Rabbit mAb

Assay Biotechnology Inc Antibodies and ELISA Kits have been rigorously validated for laboratory grade quality results. High specificity paired with high affinity for targets of interest give researchers an advantage with our products

Catalog No: M3644
Species Reactivity:Human
Application:IHC,IF/ICC,Flow Cyt
Host:Rabbit
Clonality:Monoclonal
Storage and Stability:Store at-20℃. Avoid freeze / thaw cycles.

$135
Product Details
Product Name
GCET2 (AB2229) Rabbit mAb
Description
This gene encodes a protein which may function in signal transduction pathways and whose expression is elevated in germinal cell lymphomas. It contains a putative PDZ-interacting domain, an immunoreceptor tyrosine-based activation motif (ITAM) , and two putative SH2 binding sites. In B cells, its expression is specifically induced by interleukin-4. Alternative splicing results in multiple transcript variants encoding different isoforms. [provided by RefSeq, Jul 2008]
Catalog No
M3644
Species Reactivity
Human
Clonality
Monoclonal
Host
Rabbit
Modifcation
Unmodified
Clone
AB2229
Isotype
IgG
Application
IHC, IF/ICC, Flow Cyt
Application Dilutions
IHC, 1:100-1:300 | IF, 1:100-1:300 | FC, 0. 5μg-4μg antibody for 200μg-400μg extracts of whole cells. |
Immunogen
Recombinant protein (or fragment). This information is considered to be commercially sensitive.
Specificity
This antibody detects endogenous levels of GCET2 protein.
Formulation
The antibody is provided in liquid form in phosphate - buffered saline with 50% glycerol, 0.05% BSA, and 0.05% Proclin 300.
Purification
The antibody was purified by protein A affinity chromatography.
Storage and Stability
Store at-20℃. Avoid freeze / thaw cycles.
Gene Name
GCSAM, GAL, GCET2
Gene ID
257144
Human swiss
Q8N6F7
Protein Name
GCET2
Synonyms
GCSAM, GAL, GCET2, Germinal center-associated signaling and motility protein , Germinal center B-cell-expressed transcript 2 protein, Germinal center-associated lymphoma protein, hGAL,
Related Products