25% Off Select Antibodies and ELISA Kits
Sign In/Register 0

We use cookies, check our Privacy Policies.

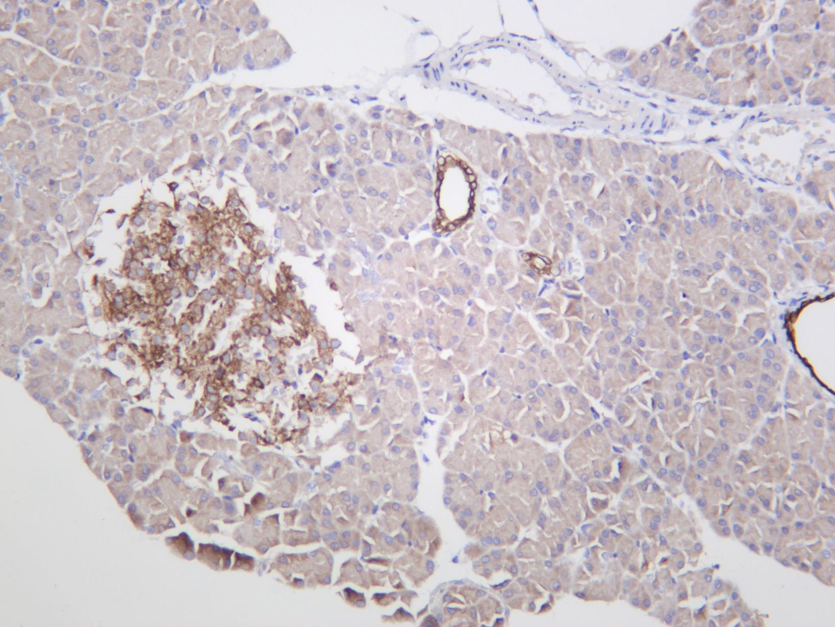
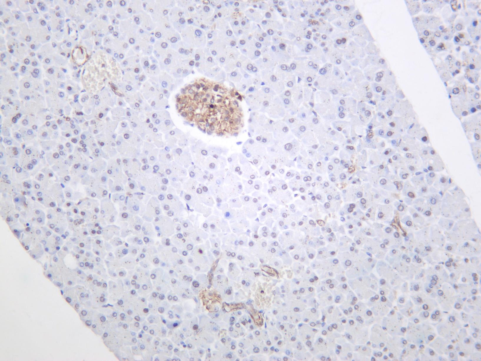
TNF α (AB1966) Rabbit mAb
TNF α (AB1966) Rabbit mAb

Assay Biotechnology Inc Antibodies and ELISA Kits have been rigorously validated for laboratory grade quality results. High specificity paired with high affinity for targets of interest give researchers an advantage with our products

Catalog No: M3295
Species Reactivity:Human,Mouse,Rat,
Application:WB,IHC,IF,IP,ELISA
Host:Rabbit
Clonality:Monoclonal
Storage and Stability:Store at-20℃. Avoid freeze / thaw cycles.

$135
Product Details
Product Name
TNF α (AB1966) Rabbit mAb
Description
This gene encodes a multifunctional proinflammatory cytokine that belongs to the tumor necrosis factor (TNF) superfamily. This cytokine is mainly secreted by macrophages. It can bind to, and thus functions through its receptors TNFRSF1A/TNFR1 and TNFRSF1B/TNFBR. This cytokine is involved in the regulation of a wide spectrum of biological processes including cell proliferation, differentiation, apoptosis, lipid metabolism, and coagulation. This cytokine has been implicated in a variety of diseases, including autoimmune diseases, insulin resistance, and cancer. Knockout studies in mice also suggested the neuroprotective function of this cytokine. [provided by RefSeq, Jul 2008],
Catalog No
M3295
Species Reactivity
Human, Mouse, Rat,
Clonality
Monoclonal
Host
Rabbit
Modifcation
Unmodified
Clone
AB1966
Isotype
IgG
Application
WB, IHC, IF, IP, ELISA
Application Dilutions
WB, 1:2000-1:10000 | IHC, 1:2000-1:10000 | IF, 1:200-1:1000 | IP, 0. 5μg-4μg antibody for 200μg-400μg extracts of whole cells. | ELISA, Recommended starting concentration is 1 µg/mL. Please optimize the concentration based on your specific assay requirements.
Immunogen
Recombinant protein (or fragment). This information is considered to be commercially sensitive.
Specificity
This antibody detects endogenous levels of TNF α protein.
Formulation
The antibody is provided in liquid form in phosphate - buffered saline with 50% glycerol, 0.05% BSA, and 0.05% Proclin 300.
Purification
The antibody was purified by protein A affinity chromatography.
Storage and Stability
Store at-20℃. Avoid freeze / thaw cycles.
Gene Name
TNF TNFA TNFSF2
Gene ID
7124
Human swiss
P01375
Protein Name
TNF α
Synonyms
TNF, TNFA, TNFSF2, Tumor necrosis factor, Cachectin, TNF-alpha, Tumor necrosis factor ligand superfamily member 2, TNF-a
Related Products