25% Off Select Antibodies and ELISA Kits
Sign In/Register 0

We use cookies, check our Privacy Policies.

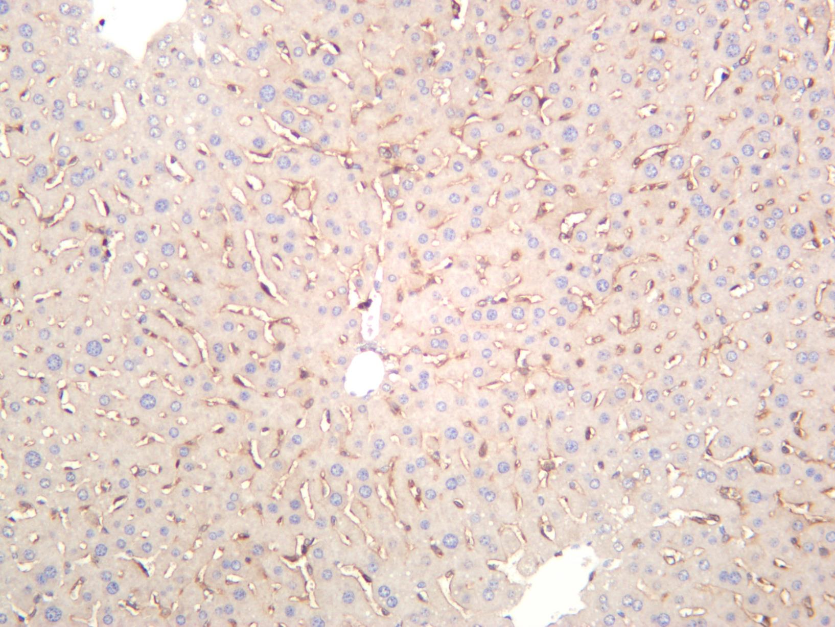
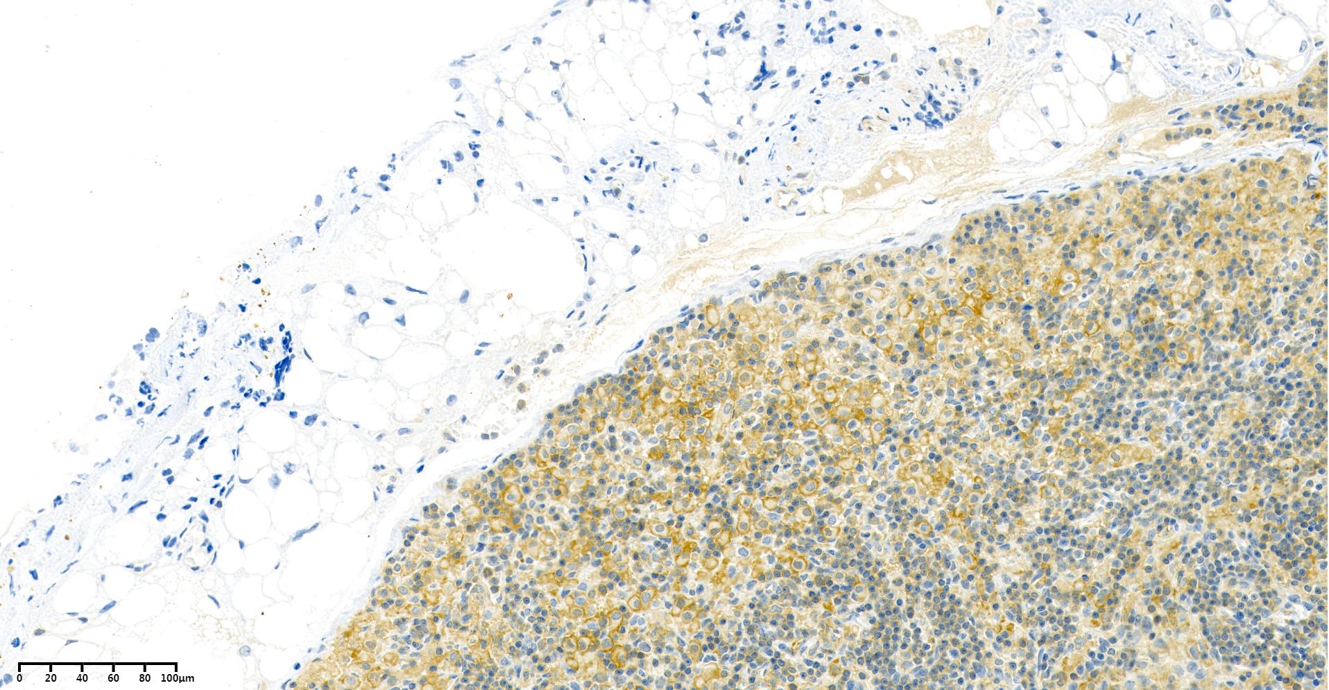
LYVE1 (AB1948) Rabbit mAb
LYVE1 (AB1948) Rabbit mAb

Assay Biotechnology Inc Antibodies and ELISA Kits have been rigorously validated for laboratory grade quality results. High specificity paired with high affinity for targets of interest give researchers an advantage with our products

Catalog No: M3277
Species Reactivity:Human,Mouse,Rat,
Application:WB,IHC,IF,IP,ELISA
Host:Rabbit
Clonality:Monoclonal
Storage and Stability:Store at-20℃. Avoid freeze / thaw cycles.

$135
Product Details
Product Name
LYVE1 (AB1948) Rabbit mAb
Description
This gene encodes a type I integral membrane glycoprotein. The encoded protein acts as a receptor and binds to both soluble and immobilized hyaluronan. This protein may function in lymphatic hyaluronan transport and have a role in tumor metastasis. [provided by RefSeq, Jul 2008],
Catalog No
M3277
Species Reactivity
Human, Mouse, Rat,
Clonality
Monoclonal
Host
Rabbit
Modifcation
Unmodified
Clone
AB1948
Isotype
IgG
Application
WB, IHC, IF, IP, ELISA
Application Dilutions
WB, 1:2000-1:10000 | IHC, 1:200-1:1000 | IF, 1:200-1:1000 | IP, 0. 5μg-4μg antibody for 200μg-400μg extracts of whole cells. | ELISA, Recommended starting concentration is 1 µg/mL. Please optimize the concentration based on your specific assay requirements.
Immunogen
Recombinant protein (or fragment). This information is considered to be commercially sensitive.
Specificity
This antibody detects endogenous levels of LYVE1 protein.
Formulation
The antibody is provided in liquid form in phosphate - buffered saline with 50% glycerol, 0.05% BSA, and 0.05% Proclin 300.
Purification
The antibody was purified by protein A affinity chromatography.
Storage and Stability
Store at-20℃. Avoid freeze / thaw cycles.
Gene Name
LYVE1 CRSBP1 HAR XLKD1 UNQ230/PRO263
Gene ID
10894
Human swiss
Q9Y5Y7
Protein Name
LYVE1
Synonyms
Lymphatic vessel endothelial hyaluronic acid receptor 1 (LYVE-1) (Cell surface retention sequence-binding protein 1) (CRSBP-1) (Extracellular link domain-containing protein 1) (Hyaluronic acid receptor)
Related Products