25% Off Select Antibodies and ELISA Kits
Sign In/Register 0

We use cookies, check our Privacy Policies.

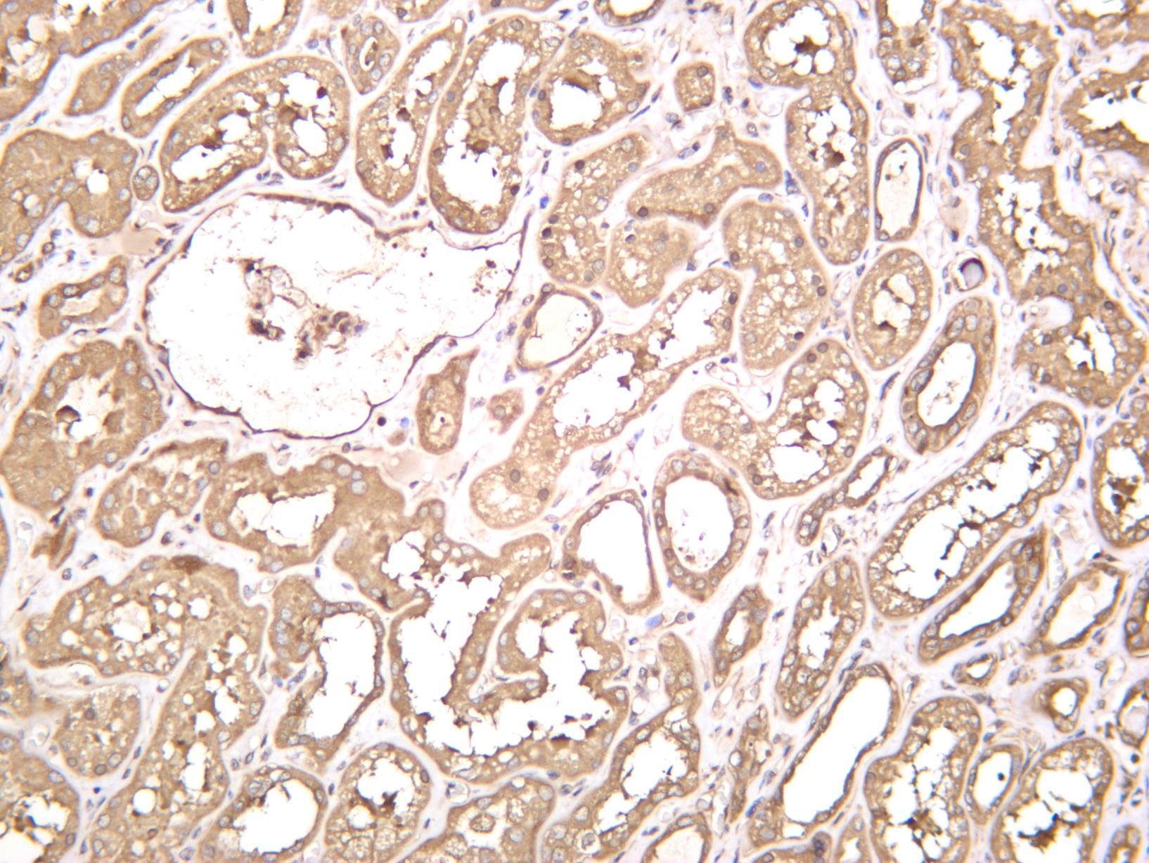
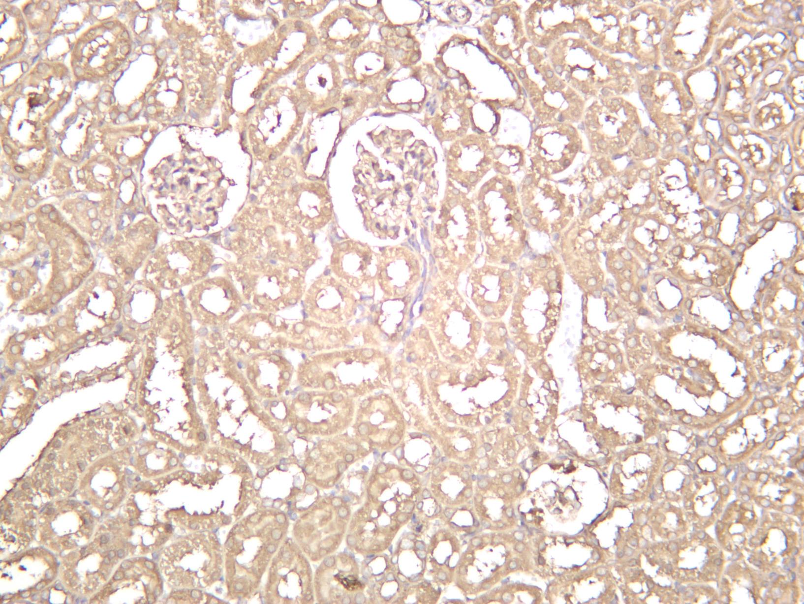
PP2A α/β (AB1924) Rabbit mAb
PP2A α/β (AB1924) Rabbit mAb

Assay Biotechnology Inc Antibodies and ELISA Kits have been rigorously validated for laboratory grade quality results. High specificity paired with high affinity for targets of interest give researchers an advantage with our products

Catalog No: M3253
Species Reactivity:Human,Mouse,Rat,
Application:WB,IHC,IF,IP,ELISA
Host:Rabbit
Clonality:Monoclonal
Storage and Stability:Store at-20℃. Avoid freeze / thaw cycles.

$135
Product Details
Product Name
PP2A α/β (AB1924) Rabbit mAb
Description
This gene encodes the phosphatase 2A catalytic subunit. Protein phosphatase 2A is one of the four major Ser/Thr phosphatases, and it is implicated in the negative control of cell growth and division. It consists of a common heteromeric core enzyme, which is composed of a catalytic subunit and a constant regulatory subunit, that associates with a variety of regulatory subunits. This gene encodes an alpha isoform of the catalytic subunit. [provided by RefSeq, Jul 2008],
Catalog No
M3253
Species Reactivity
Human, Mouse, Rat,
Clonality
Monoclonal
Host
Rabbit
Modifcation
Unmodified
Clone
AB1924
Isotype
IgG
Application
WB, IHC, IF, IP, ELISA
Application Dilutions
WB, 1:2000-1:10000 | IHC, 1:200-1:1000 | IF, 1:200-1:1000 | IP, 0. 5μg-4μg antibody for 200μg-400μg extracts of whole cells. | ELISA, Recommended starting concentration is 1 µg/mL. Please optimize the concentration based on your specific assay requirements.
Immunogen
Recombinant protein (or fragment). This information is considered to be commercially sensitive.
Specificity
This antibody detects endogenous levels of PP2A α/β protein.
Formulation
The antibody is provided in liquid form in phosphate - buffered saline with 50% glycerol, 0.05% BSA, and 0.05% Proclin 300.
Purification
The antibody was purified by protein A affinity chromatography.
Storage and Stability
Store at-20℃. Avoid freeze / thaw cycles.
Gene Name
PPP2CA, PPP2CB
Gene ID
5515; 5516
Human swiss
P67775; P62714
Protein Name
PP2A α/β
Synonyms
PP2A A, PP2A alpha, PP2A B, PP2A beta, PP2A-alpha, PP2A-beta, PP2AA_HUMAN, PP2Aalpha, PP2AB_HUMAN, PP2Abeta, PP2Ac, PP2CA, PP2Calpha, PP2CB, PPP2CA, PPP2CB, Protein phosphatase 2 catalytic subunit alpha isoform, Protein phosphatase 2 catalytic subunit beta isoform, Protein phosphatase type 2A catalytic subunit, Replication protein C, RP C, RP-C, RPC, Serine/threonine protein phosphatase 2A catalytic subunit alpha isoform, Serine/threonine protein phosphatase 2A catalytic subunit beta isoform, Serine/threonine-protein phosphatase 2A catalytic subunit alpha isoform,
Related Products