25% Off Select Antibodies and ELISA Kits
Sign In/Register 0

We use cookies, check our Privacy Policies.

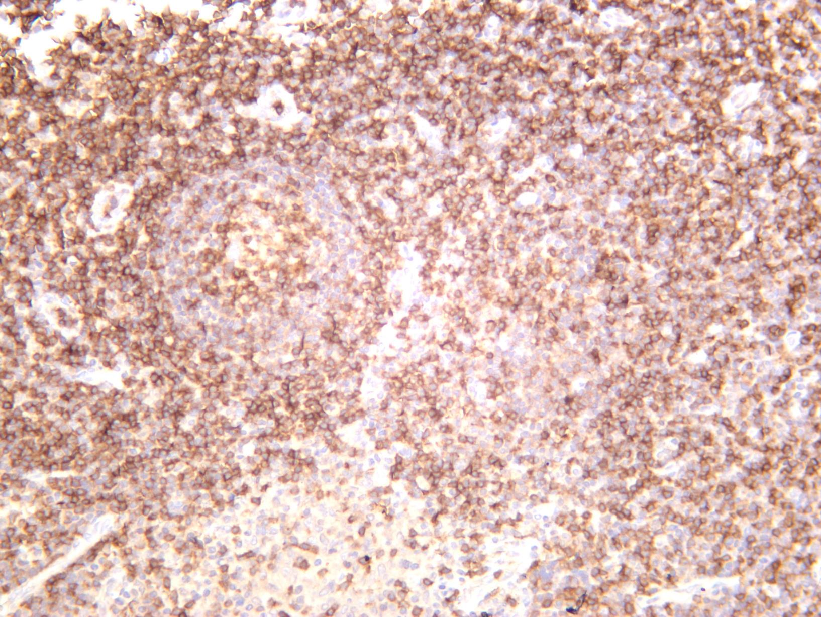
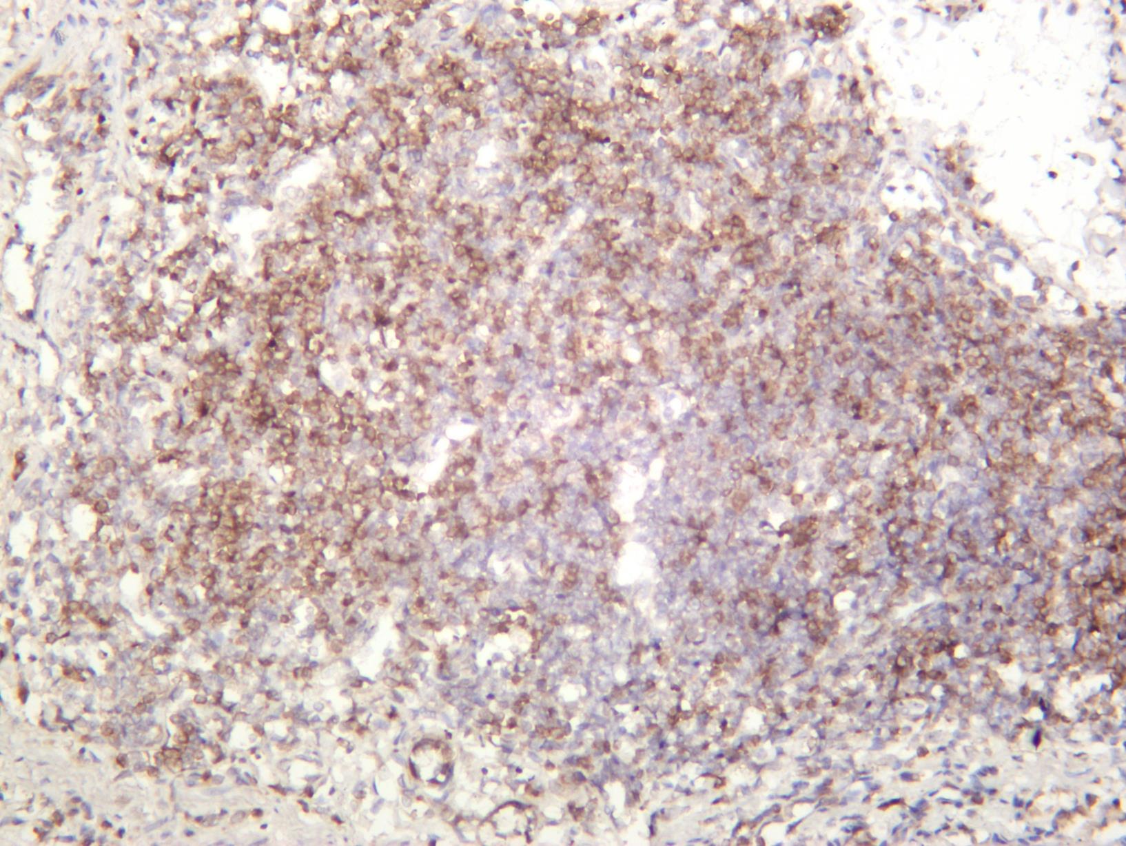
Lck (AB1919) Rabbit mAb
Lck (AB1919) Rabbit mAb

Assay Biotechnology Inc Antibodies and ELISA Kits have been rigorously validated for laboratory grade quality results. High specificity paired with high affinity for targets of interest give researchers an advantage with our products

Catalog No: M3248
Species Reactivity:Human,Mouse,Rat,
Application:WB,IHC,IF,IP,ELISA
Host:Rabbit
Clonality:Monoclonal
Storage and Stability:Store at-20℃. Avoid freeze / thaw cycles.

$135
Product Details
Product Name
Lck (AB1919) Rabbit mAb
Description
This gene is a member of the Src family of protein tyrosine kinases (PTKs) . The encoded protein is a key signaling molecule in the selection and maturation of developing T-cells. It contains N-terminal sites for myristylation and palmitylation, a PTK domain, and SH2 and SH3 domains which are involved in mediating protein-protein interactions with phosphotyrosine-containing and proline-rich motifs, respectively. The protein localizes to the plasma membrane and pericentrosomal vesicles, and binds to cell surface receptors, including CD4 and CD8, and other signaling molecules. Multiple alternatively spliced variants encoding different isoforms have been described. [provided by RefSeq, Aug 2016],
Catalog No
M3248
Species Reactivity
Human, Mouse, Rat,
Clonality
Monoclonal
Host
Rabbit
Modifcation
Unmodified
Clone
AB1919
Isotype
IgG
Application
WB, IHC, IF, IP, ELISA
Application Dilutions
WB, 1:500-1:2000 | IHC, 1:200-1:1000 | IF, 1:200-1:1000 | IP, 0. 5μg-4μg antibody for 200μg-400μg extracts of whole cells. | ELISA, Recommended starting concentration is 1 µg/mL. Please optimize the concentration based on your specific assay requirements.
Immunogen
Recombinant protein (or fragment). This information is considered to be commercially sensitive.
Specificity
This antibody detects endogenous levels of Lck protein.
Formulation
The antibody is provided in liquid form in phosphate - buffered saline with 50% glycerol, 0.05% BSA, and 0.05% Proclin 300.
Purification
The antibody was purified by protein A affinity chromatography.
Storage and Stability
Store at-20℃. Avoid freeze / thaw cycles.
Gene Name
LCK
Gene ID
3932
Human swiss
P06239
Protein Name
Lck
Synonyms
LCK, Tyrosine-protein kinase Lck, Leukocyte C-terminal Src kinase, LSK, Lymphocyte cell-specific protein-tyrosine kinase, Protein YT16, Proto-oncogene Lck, T cell-specific protein-tyrosine kinase, p56-LCK
Related Products