25% Off Select Antibodies and ELISA Kits
Sign In/Register 0

We use cookies, check our Privacy Policies.

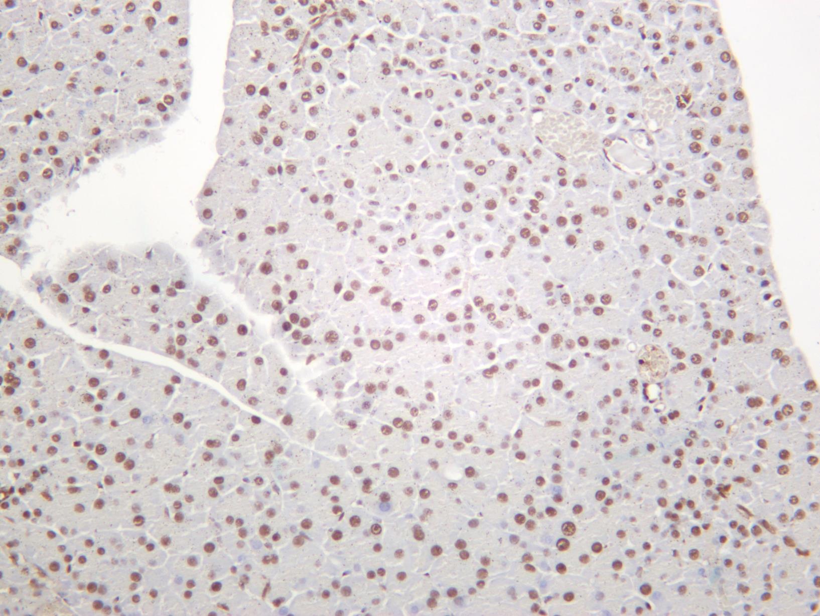
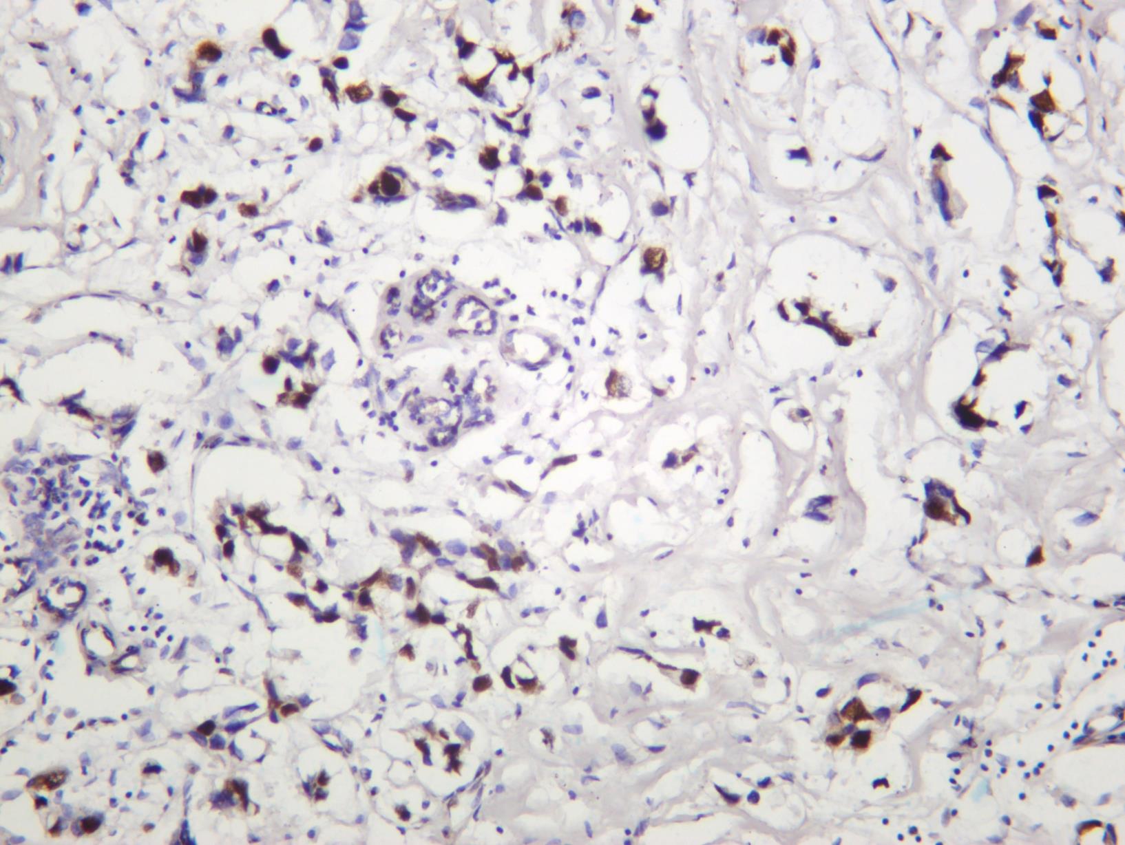
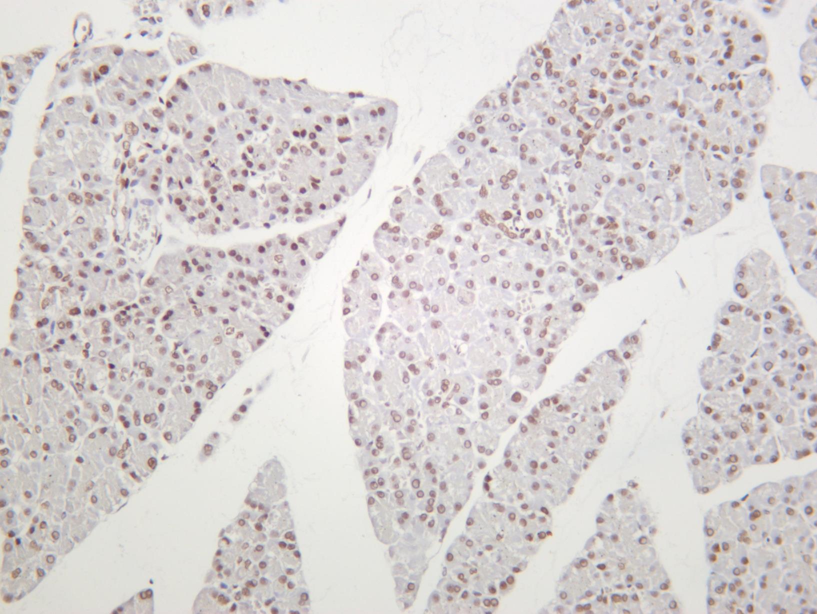
HP1α (AB1886) Rabbit mAb
HP1α (AB1886) Rabbit mAb

Assay Biotechnology Inc Antibodies and ELISA Kits have been rigorously validated for laboratory grade quality results. High specificity paired with high affinity for targets of interest give researchers an advantage with our products

Catalog No: M3215
Species Reactivity:Human,Mouse,Rat,
Application:WB,IHC,IF,IP,ELISA
Host:Rabbit
Clonality:Monoclonal
Storage and Stability:Store at-20℃. Avoid freeze / thaw cycles.

$135
Product Details
Product Name
HP1α (AB1886) Rabbit mAb
Description
This gene encodes a highly conserved nonhistone protein, which is a member of the heterochromatin protein family. The protein is enriched in the heterochromatin and associated with centromeres. The protein has a single N-terminal chromodomain which can bind to histone proteins via methylated lysine residues, and a C-terminal chromo shadow-domain (CSD) which is responsible for the homodimerization and interaction with a number of chromatin-associated nonhistone proteins. The encoded product is involved in the formation of functional kinetochore through interaction with essential kinetochore proteins. The gene has a pseudogene located on chromosome 3. Multiple alternatively spliced variants, encoding the same protein, have been identified. [provided by RefSeq, Jul 2008],
Catalog No
M3215
Species Reactivity
Human, Mouse, Rat,
Clonality
Monoclonal
Host
Rabbit
Modifcation
Unmodified
Clone
AB1886
Isotype
IgG
Application
WB, IHC, IF, IP, ELISA
Application Dilutions
WB, 1:1000-1:5000 | IHC, 1:400-1:2000 | IF, 1:200-1:1000 | IP, 0. 5μg-4μg antibody for 200μg-400μg extracts of whole cells. | ELISA, Recommended starting concentration is 1 µg/mL. Please optimize the concentration based on your specific assay requirements.
Immunogen
Recombinant protein (or fragment). This information is considered to be commercially sensitive.
Specificity
This antibody detects endogenous levels of HP1α protein.
Formulation
The antibody is provided in liquid form in phosphate - buffered saline with 50% glycerol, 0.05% BSA, and 0.05% Proclin 300.
Purification
The antibody was purified by protein A affinity chromatography.
Storage and Stability
Store at-20℃. Avoid freeze / thaw cycles.
Gene Name
CBX5 HP1A
Gene ID
23468
Human swiss
P45973
Protein Name
HP1α
Synonyms
Chromobox protein homolog 5 (Antigen p25) (Heterochromatin protein 1 homolog alpha) (HP1 alpha)
Related Products