25% Off Select Antibodies and ELISA Kits
Sign In/Register 0

We use cookies, check our Privacy Policies.

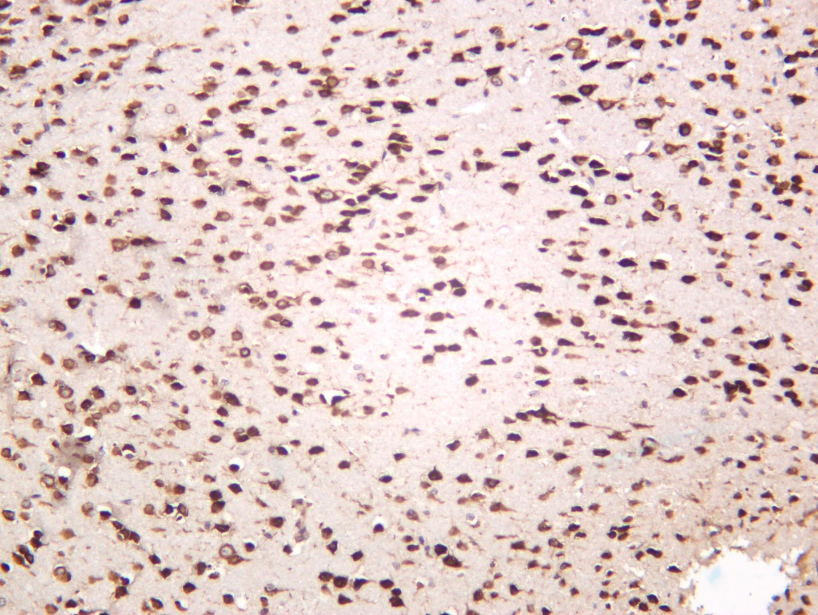
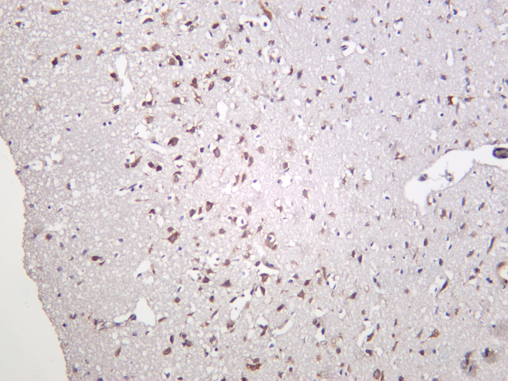
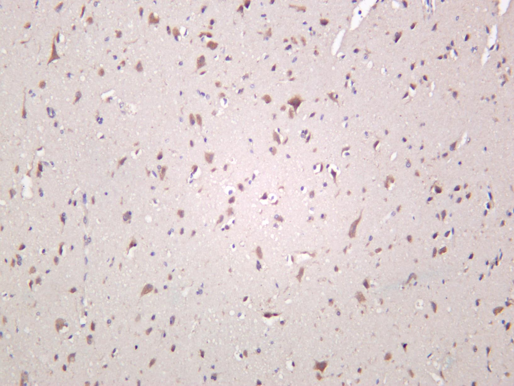
YTHDF1 (AB1856) Rabbit mAb
YTHDF1 (AB1856) Rabbit mAb

Assay Biotechnology Inc Antibodies and ELISA Kits have been rigorously validated for laboratory grade quality results. High specificity paired with high affinity for targets of interest give researchers an advantage with our products

Catalog No: M3186
Species Reactivity:Human,Mouse,Rat,
Application:WB,IHC,IF,IP,ELISA
Host:Rabbit
Clonality:Monoclonal
Storage and Stability:Store at-20℃. Avoid freeze / thaw cycles.

$135
Product Details
Product Name
YTHDF1 (AB1856) Rabbit mAb
Description
Enables N6-methyladenosine-containing RNA binding activity and ribosome binding activity. Involved in mRNA destabilization, positive regulation of translational initiation, and stress granule assembly. Located in P-body and cytoplasmic stress granule. [provided by Alliance of Genome Resources, Apr 2022]
Catalog No
M3186
Species Reactivity
Human, Mouse, Rat,
Clonality
Monoclonal
Host
Rabbit
Modifcation
Unmodified
Clone
AB1856
Isotype
IgG
Application
WB, IHC, IF, IP, ELISA
Application Dilutions
WB, 1:1000-1:5000 | IHC, 1:200-1:1000 | IF, 1:200-1:1000 | IP, 0. 5μg-4μg antibody for 200μg-400μg extracts of whole cells. | ELISA, Recommended starting concentration is 1 µg/mL. Please optimize the concentration based on your specific assay requirements.
Immunogen
Recombinant protein (or fragment). This information is considered to be commercially sensitive.
Specificity
This antibody detects endogenous levels of YTHDF1 protein.
Formulation
The antibody is provided in liquid form in phosphate - buffered saline with 50% glycerol, 0.05% BSA, and 0.05% Proclin 300.
Purification
The antibody was purified by protein A affinity chromatography.
Storage and Stability
Store at-20℃. Avoid freeze / thaw cycles.
Gene Name
Ythdf1
Gene ID
54915
Human swiss
P59326
Protein Name
YTHDF1
Synonyms
C20orf21, DACA 1, DACA-1, Dermatomyositis associated with cancer putative autoantigen 1, YTH domain family 1, YTH domain family member 1, YTH domain family protein 1, YTHD1, YTHD1_HUMAN, Ythdf1,
Related Products