25% Off Select Antibodies and ELISA Kits
Sign In/Register 0

We use cookies, check our Privacy Policies.

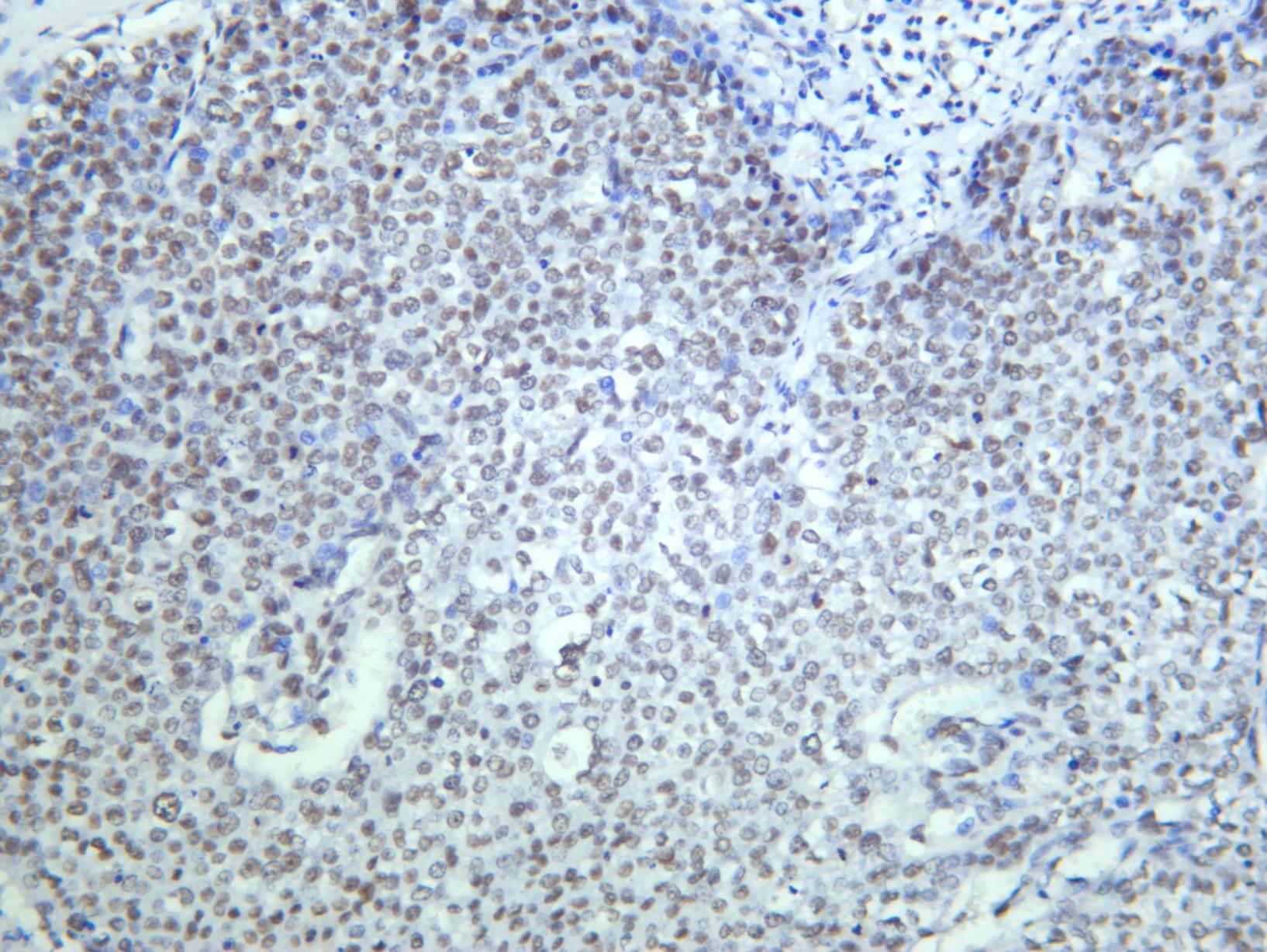
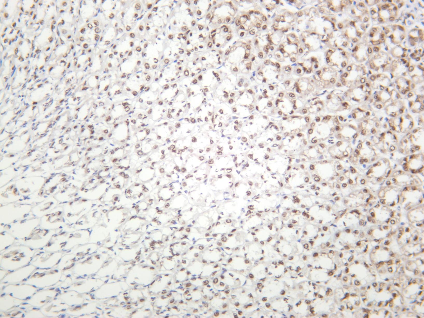
BRG1 (AB1736) Rabbit mAb
BRG1 (AB1736) Rabbit mAb

Assay Biotechnology Inc Antibodies and ELISA Kits have been rigorously validated for laboratory grade quality results. High specificity paired with high affinity for targets of interest give researchers an advantage with our products

Catalog No: M3088
Species Reactivity:Human,Rat,
Application:WB,IHC,IF,IP,ELISA
Host:Rabbit
Clonality:Monoclonal
Storage and Stability:Store at-20℃. Avoid freeze / thaw cycles.

$135
Product Details
Product Name
BRG1 (AB1736) Rabbit mAb
Description
The protein encoded by this gene is a member of the SWI/SNF family of proteins and is similar to the brahma protein of Drosophila. Members of this family have helicase and ATPase activities and are thought to regulate transcription of certain genes by altering the chromatin structure around those genes. The encoded protein is part of the large ATP-dependent chromatin remodeling complex SNF/SWI, which is required for transcriptional activation of genes normally repressed by chromatin. In addition, this protein can bind BRCA1, as well as regulate the expression of the tumorigenic protein CD44. Mutations in this gene cause rhabdoid tumor predisposition syndrome type 2. Multiple transcript variants encoding different isoforms have been found for this gene. [provided by RefSeq, May 2012],
Catalog No
M3088
Species Reactivity
Human, Rat,
Clonality
Monoclonal
Host
Rabbit
Modifcation
Unmodified
Clone
AB1736
Isotype
IgG
Application
WB, IHC, IF, IP, ELISA
Application Dilutions
WB, 1:2000-1:10000 | IHC, 1:200-1:1000 | IF, 1:200-1:1000 | IP, 0. 5μg-4μg antibody for 200μg-400μg extracts of whole cells. | ELISA, Recommended starting concentration is 1 µg/mL. Please optimize the concentration based on your specific assay requirements.
Immunogen
Recombinant protein (or fragment). This information is considered to be commercially sensitive.
Specificity
This antibody detects endogenous levels of BRG1 protein.
Formulation
The antibody is provided in liquid form in phosphate - buffered saline with 50% glycerol, 0.05% BSA, and 0.05% Proclin 300.
Purification
The antibody was purified by protein A affinity chromatography.
Storage and Stability
Store at-20℃. Avoid freeze / thaw cycles.
Gene Name
SMARCA4
Gene ID
6597
Human swiss
P51532
Protein Name
BRG1
Synonyms
SMARCA4, BAF190A, BRG1, SNF2B, SNF2L4, Transcription activator BRG1, ATP-dependent helicase SMARCA4, BRG1-associated factor 190A, BAF190A, Mitotic growth and transcription activator, Protein BRG-1, Protein brahma homolog 1, SNF2-beta, SWI/S
Related Products