25% Off Select Antibodies and ELISA Kits
Sign In/Register 0

We use cookies, check our Privacy Policies.

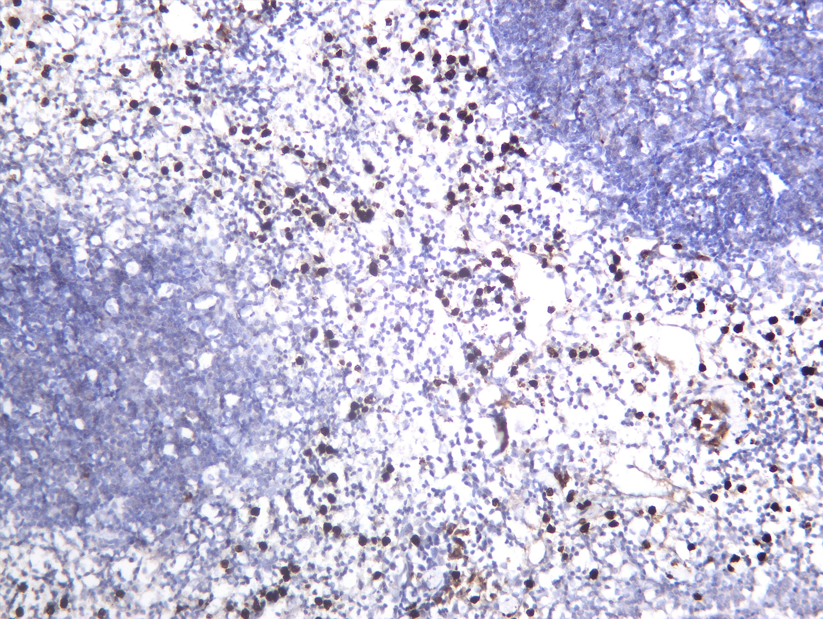
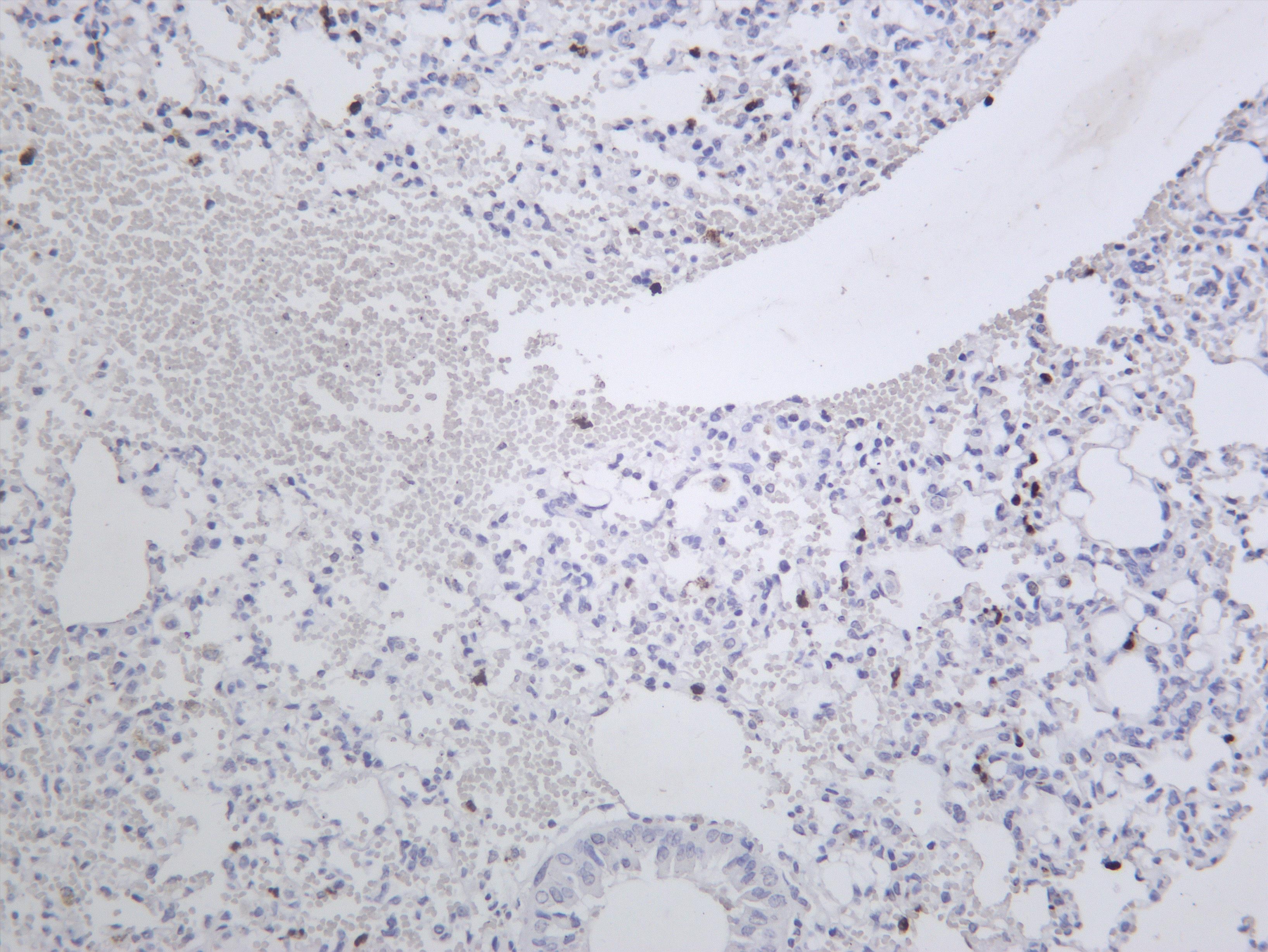
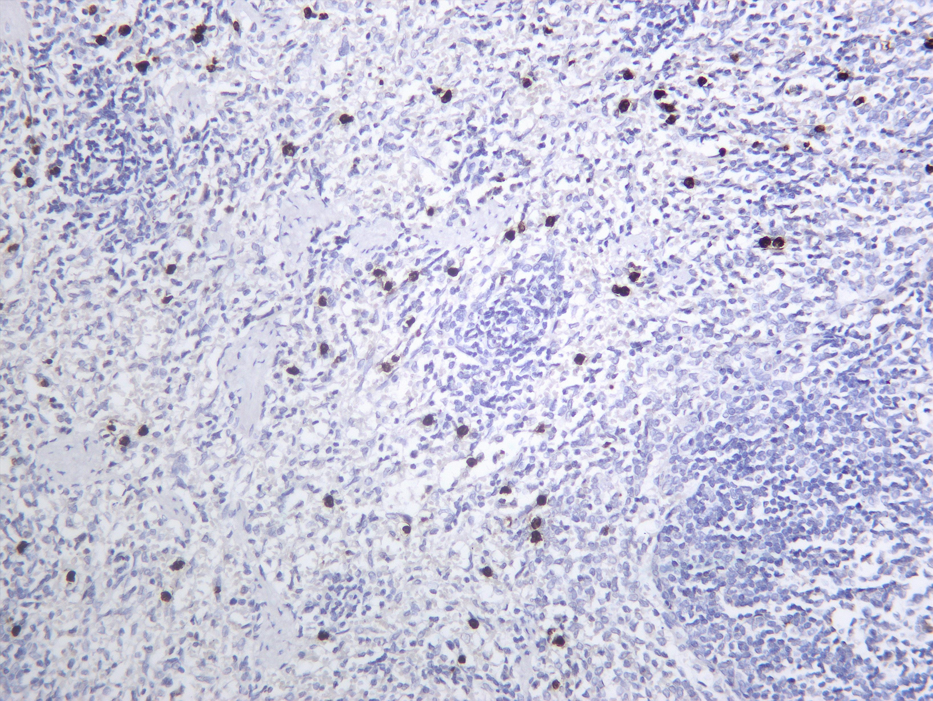
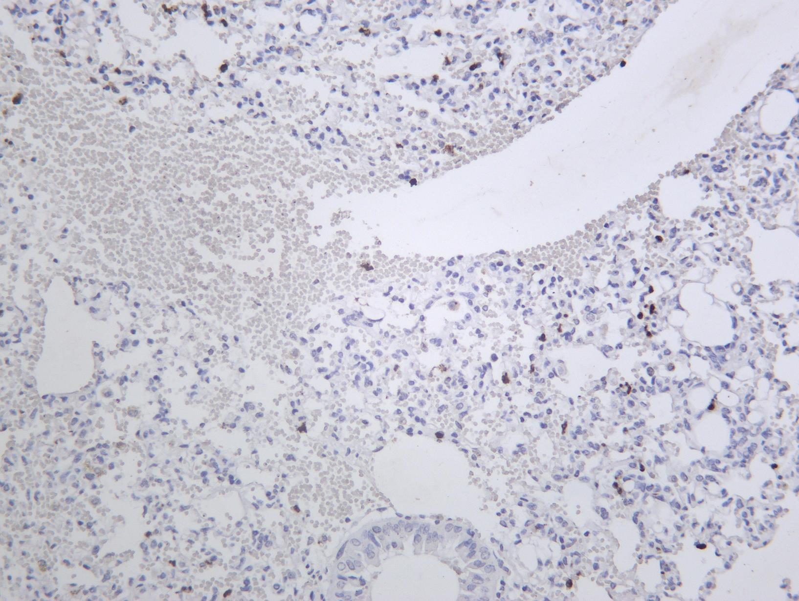
MMP9 (AB1647) Rabbit mAb
MMP9 (AB1647) Rabbit mAb

Assay Biotechnology Inc Antibodies and ELISA Kits have been rigorously validated for laboratory grade quality results. High specificity paired with high affinity for targets of interest give researchers an advantage with our products

Catalog No: M3017
Species Reactivity:Mouse,Rat
Application:WB,IHC,IF,IP,ELISA
Host:Rabbit
Clonality:Monoclonal
Storage and Stability:Store at-20℃. Avoid freeze / thaw cycles.

$135
Product Details
Product Name
MMP9 (AB1647) Rabbit mAb
Description
catalytic activity:Cleavage of gelatin types I and V and collagen types IV and V. , cofactor:Binds 2 zinc ions per subunit. , cofactor:Binds 3 calcium ions per subunit. , disease:Defects in MMP9 may be a cause of susceptibility to lumbar disk herniation (LDH) [MIM:603932]. LDH is the predominant cause of low-back pain and unilateral leg pain. , domain:The conserved cysteine present in the cysteine-switch motif binds the catalytic zinc ion, thus inhibiting the enzyme. The dissociation of the cysteine from the zinc ion upon the activation-peptide release activates the enzyme. , enzyme regulation:Inhibited by histatin-3 1/24 (histatin-5) . , function:May play an essential role in local proteolysis of the extracellular matrix and in leukocyte migration. Could play a role in bone osteoclastic resorption. Cleaves KiSS1 at a Gly-|-Leu bond. Cleaves type IV and type V collagen into large C-terminal three quarter fragments and shorter N-terminal one quarter fragments. Degrades fibronectin but not laminin or Pz-peptide. , induction:Activated by 4-aminophenylmercuric acetate and phorbol ester. , miscellaneous:In the arthritis patient this enzyme might contribute to the pathogenesis of joint destruction and might constitute a useful marker of disease status. , PTM:N-and O-glycosylated. , PTM:Processing of the precursor yields different active forms of 64, 67 and 82 kDa. Sequentially processing by MMP3 yields the 82 kDa matrix metalloproteinase-9. , similarity:Belongs to the peptidase M10A family. , similarity:Contains 3 fibronectin type-II domains. , similarity:Contains 4 hemopexin-like domains. , subunit:Exists as monomer, disulfide-linked homodimer, and as a heterodimer with a 25 kDa protein. Macrophages and transformed cell lines produce only the monomeric form. , tissue specificity:Produced by normal alveolar macrophages and granulocytes. ,
Catalog No
M3017
Species Reactivity
Mouse, Rat
Clonality
Monoclonal
Host
Rabbit
Modifcation
Unmodified
Clone
AB1647
Isotype
IgG
Application
WB, IHC, IF, IP, ELISA
Application Dilutions
WB, 1:500-1:5000 | IHC, 1:200-1:1000 | IF, 1:200-1:1000 | IP, 0. 5μg-4μg antibody for 200μg-400μg extracts of whole cells. | ELISA, Recommended starting concentration is 1 µg/mL. Please optimize the concentration based on your specific assay requirements.
Immunogen
Recombinant protein (or fragment). This information is considered to be commercially sensitive.
Specificity
This antibody detects endogenous levels of MMP9 protein.
Formulation
The antibody is provided in liquid form in phosphate - buffered saline with 50% glycerol, 0.05% BSA, and 0.05% Proclin 300.
Purification
The antibody was purified by protein A affinity chromatography.
Storage and Stability
Store at-20℃. Avoid freeze / thaw cycles.
Gene Name
MMP9 CLG4B
Gene ID
4318
Human swiss
P14780
Protein Name
MMP9
Synonyms
Matrix metalloproteinase-9 (MMP-9, EC 3. 4. 24. 35, 92 kDa gelatinase, 92 kDa type IV collagenase, Gelatinase B, GELB) [Cleaved into: 67 kDa matrix metalloproteinase-9, 82 kDa matrix metalloproteinase-9]
Related Products