25% Off Select Antibodies and ELISA Kits
Sign In/Register 0

We use cookies, check our Privacy Policies.

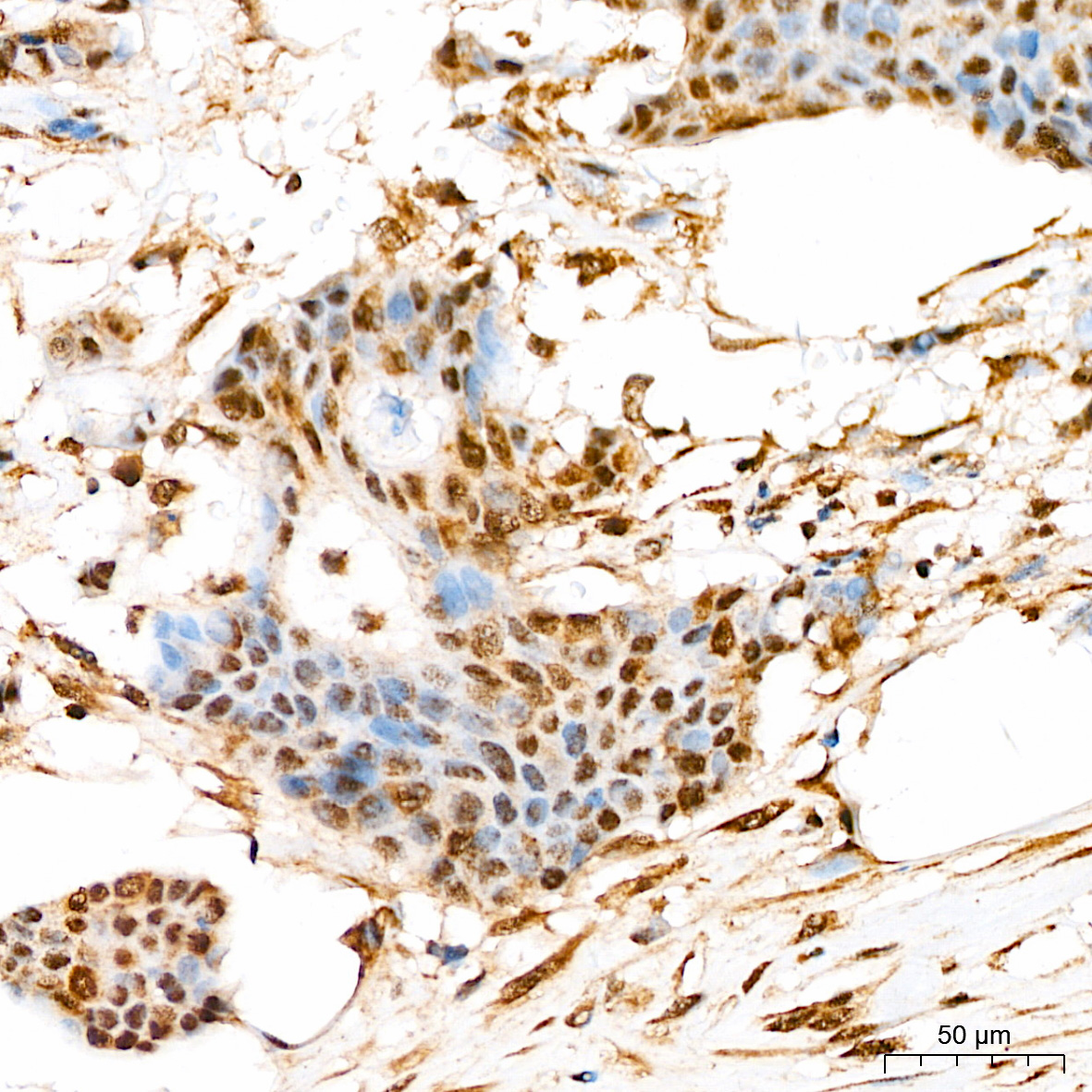
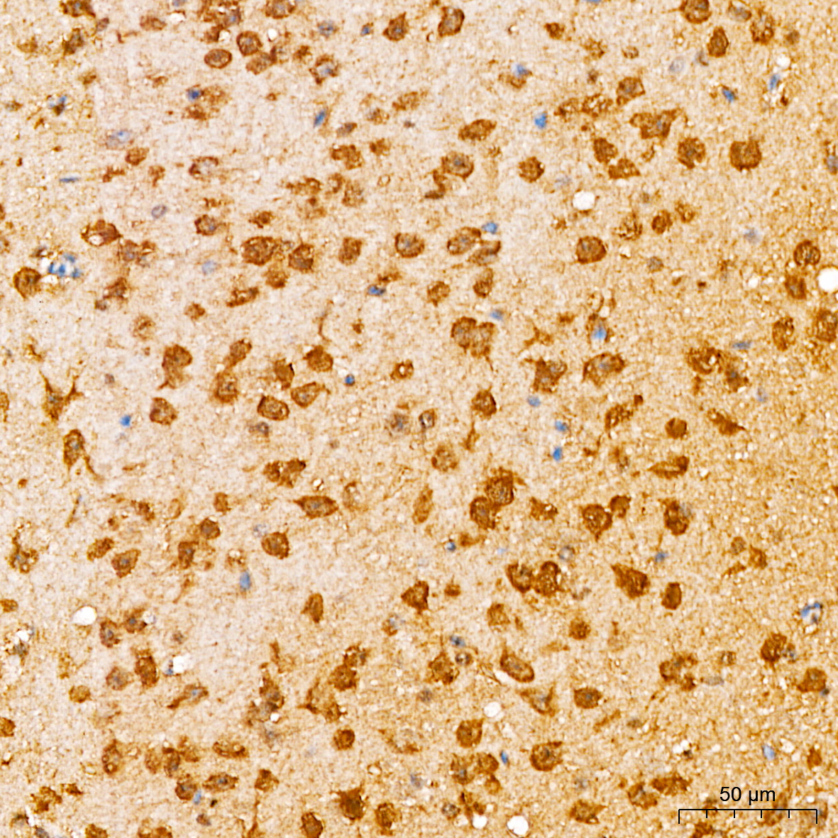
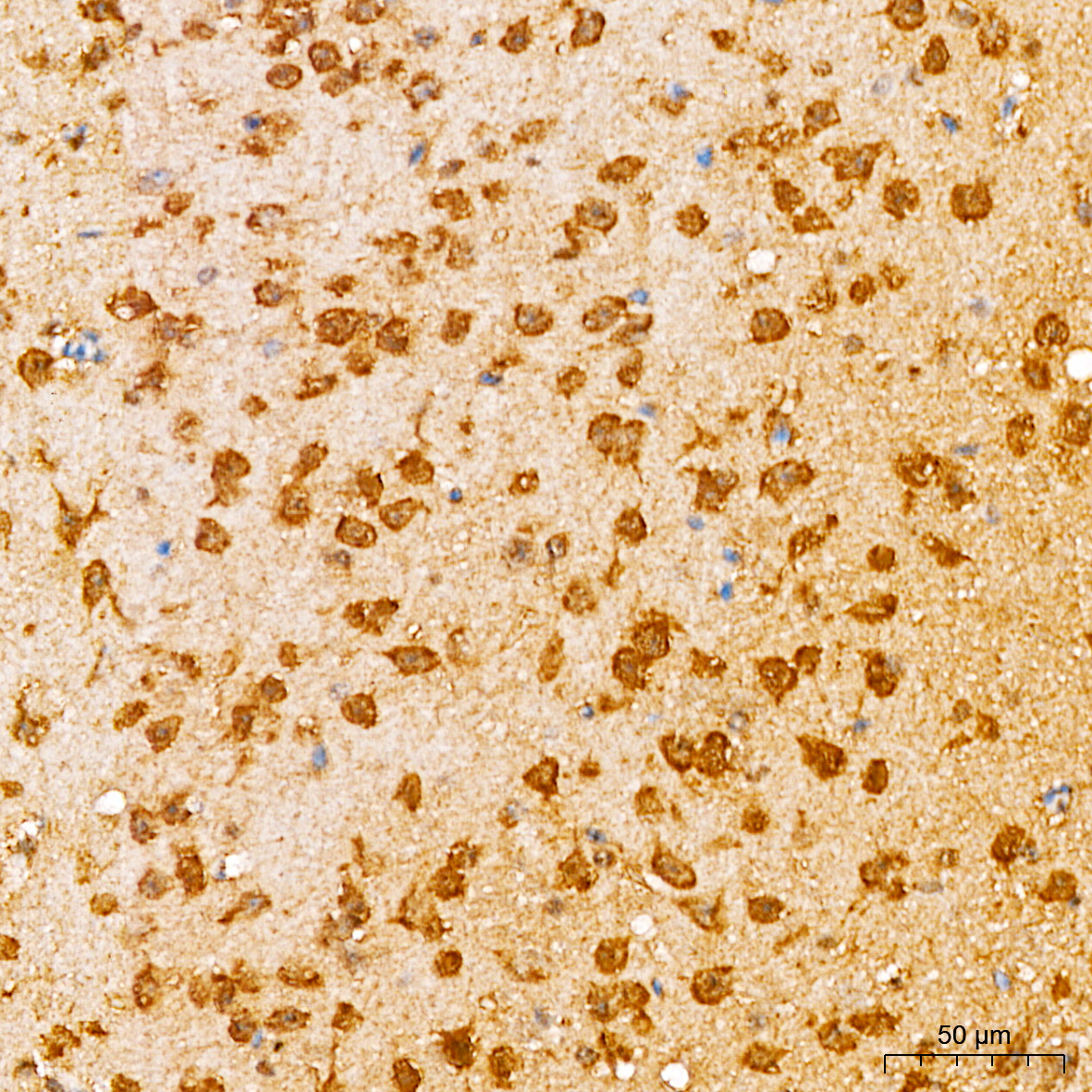
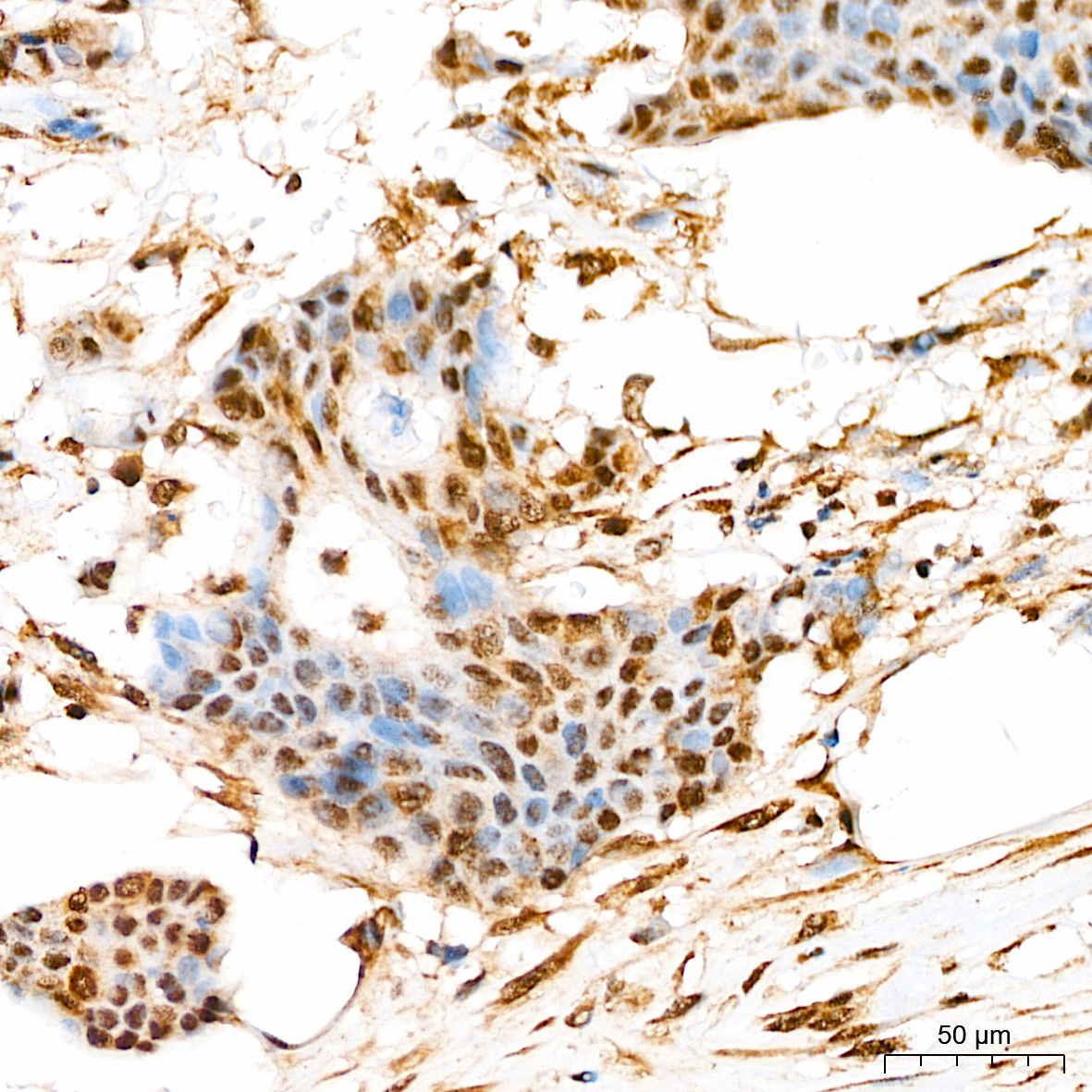
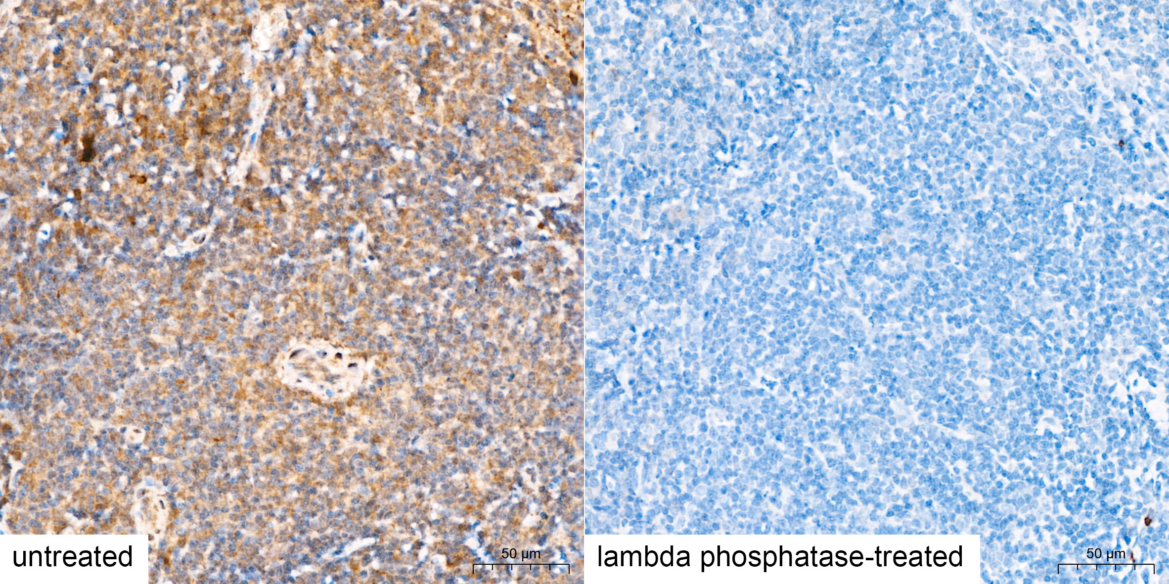
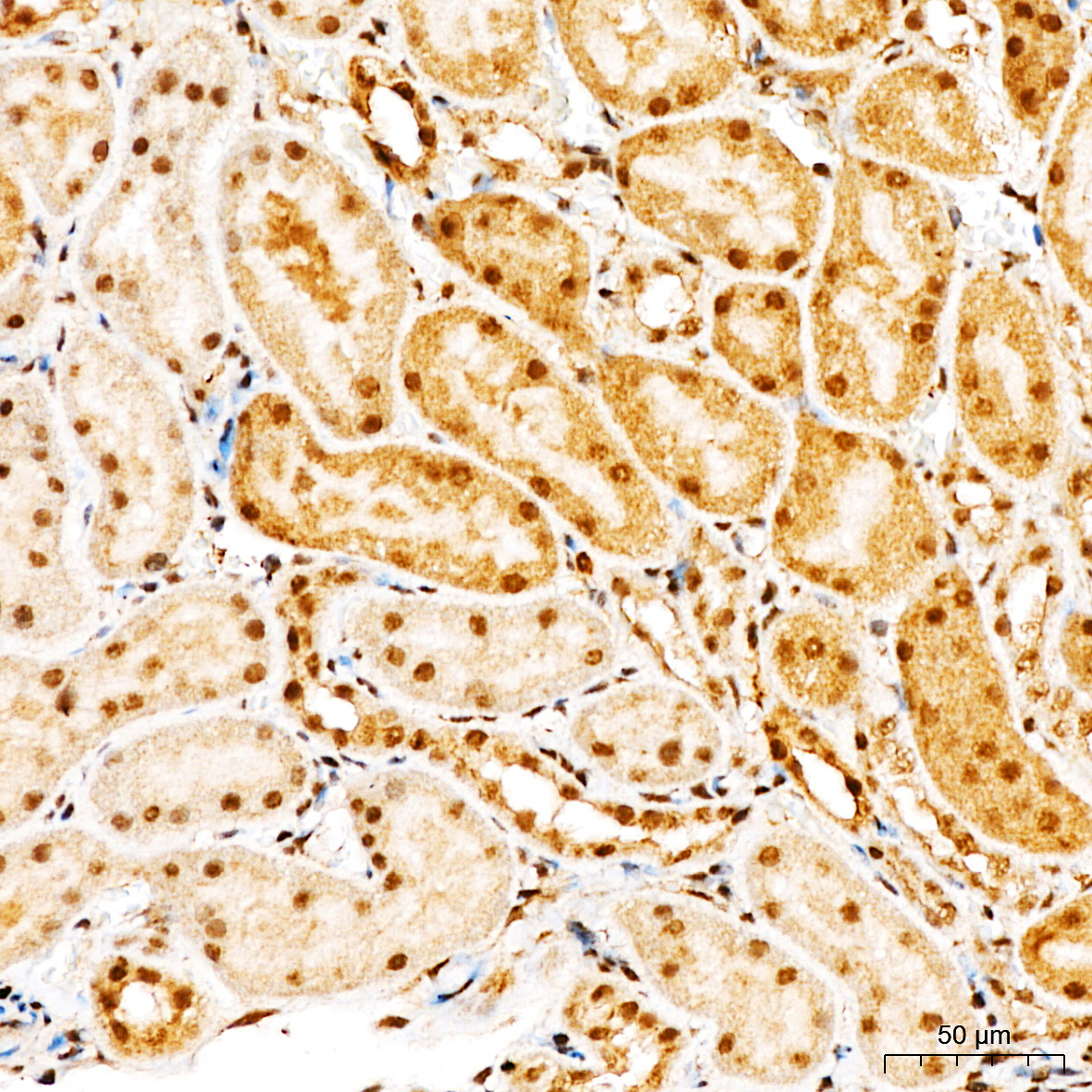
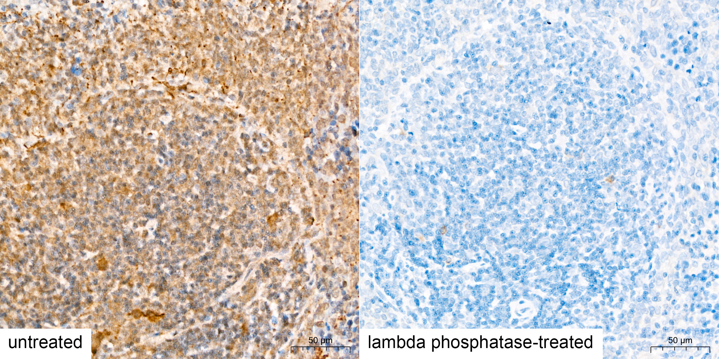
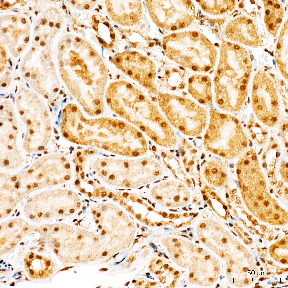
MAP2K4(Phospho Ser257) (AB4125) Rabbit mAb
MAP2K4(Phospho Ser257) (AB4125) Rabbit mAb

Assay Biotechnology Inc Antibodies and ELISA Kits have been rigorously validated for laboratory grade quality results. High specificity paired with high affinity for targets of interest give researchers an advantage with our products

Catalog No: M2766
Species Reactivity:Human,Mouse,Rat
Application:WB,IHC-P,IF/ICC,IP,ELISA
Host:Rabbit
Clonality:Monoclonal
Storage and Stability:Store at-20℃. Avoid freeze / thaw cycles.

$150
Product Details
Product Name
MAP2K4(Phospho Ser257) (AB4125) Rabbit mAb
Description
This gene encodes a member of the mitogen-activated protein kinase (MAPK) family. Members of this family act as an integration point for multiple biochemical signals and are involved in a wide variety of cellular processes such as proliferation, differentiation, transcription regulation, and development. They form a three-tiered signaling module composed of MAPKKKs, MAPKKs, and MAPKs. This protein is phosphorylated at serine and threonine residues by MAPKKKs and subsequently phosphorylates downstream MAPK targets at threonine and tyrosine residues. A similar protein in mouse has been reported to play a role in liver organogenesis. A pseudogene of this gene is located on the long arm of chromosome X. Alternative splicing results in multiple transcript variants.
Catalog No
M2766
Species Reactivity
Human, Mouse, Rat
Clonality
Monoclonal
Host
Rabbit
Modifcation
Phospho S257
Clone
AB4125
Isotype
IgG
Application
WB, IHC-P, IF/ICC, IP, ELISA
Application Dilutions
WB, 1:1000-1:5000 | IHC-P, 1:50-1:200 | IF/ICC, 1:50-1:200 | IP, 0. 5μg-4μg antibody for 200μg-400μg extracts of whole cells | ELISA, Recommended starting concentration is 1 μg/mL. Please optimize the concentration based on your specific assay requirements.
Immunogen
A synthetic phosphorylated peptide around S257 of human MAP2K4.
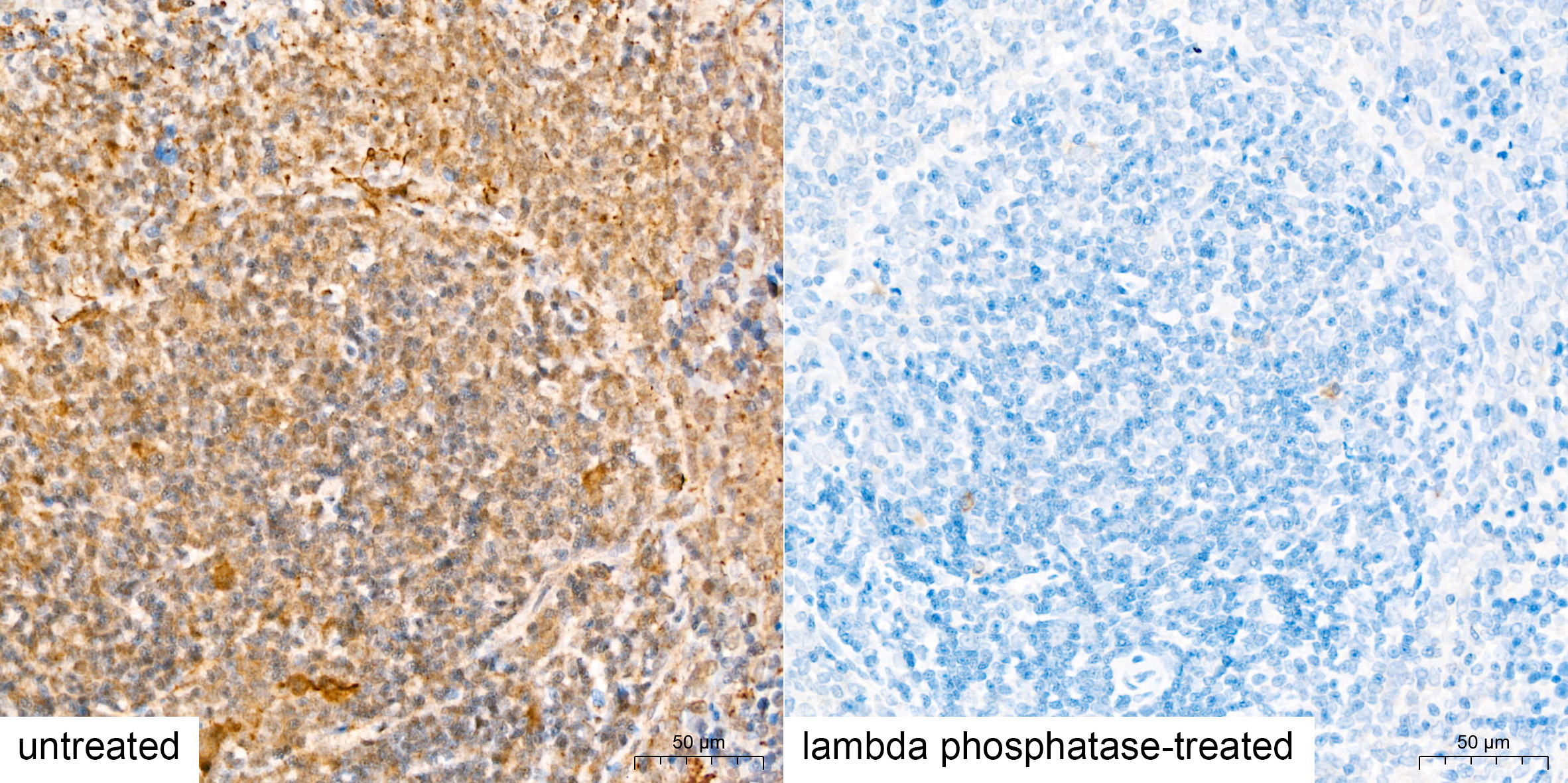
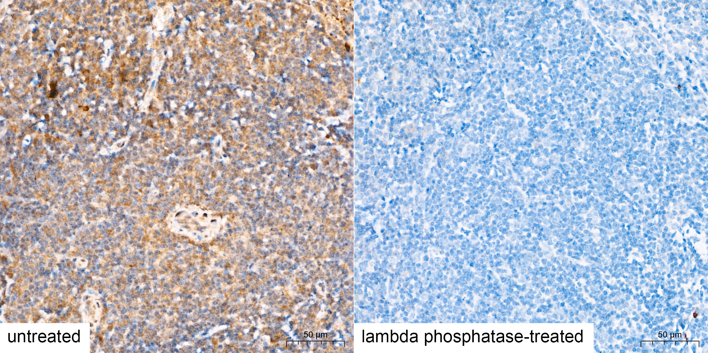
Specificity
The antibody detects endogenous levels of MAP2K4 protein only when phosphorylated at Ser257. The antibody does not cross-react with MAP2K4 phosphorylated at other sites.
Formulation
The antibody is provided in liquid form in phosphate - buffered saline with 50% glycerol, 0.05% BSA, and 0.05% proclin300.
Purification
The antibody was purified by protein A affinity chromatography.
Storage and Stability
Store at-20℃. Avoid freeze / thaw cycles.
Gene Name
MAP2K4
Gene ID
6416
Human swiss
P45985
Protein Name
MAP2K4(Phospho Ser257)
Synonyms
JNKK; MEK4; MKK4; SEK1; SKK1; JNKK1; SERK1; MAPKK4; PRKMK4; SAPKK1; SAPKK-1
Related Products