25% Off Select Antibodies and ELISA Kits
Sign In/Register 0

We use cookies, check our Privacy Policies.

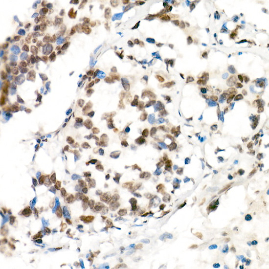
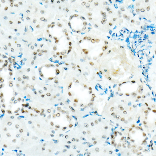
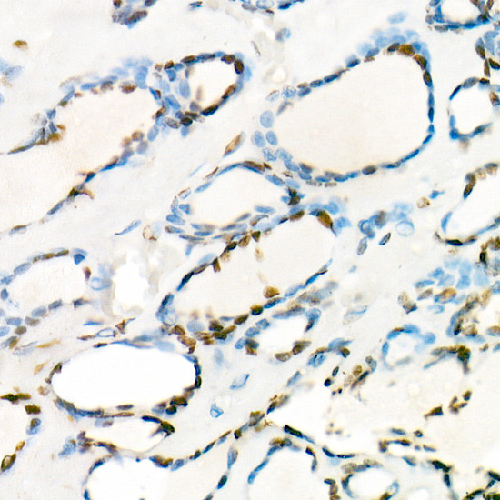
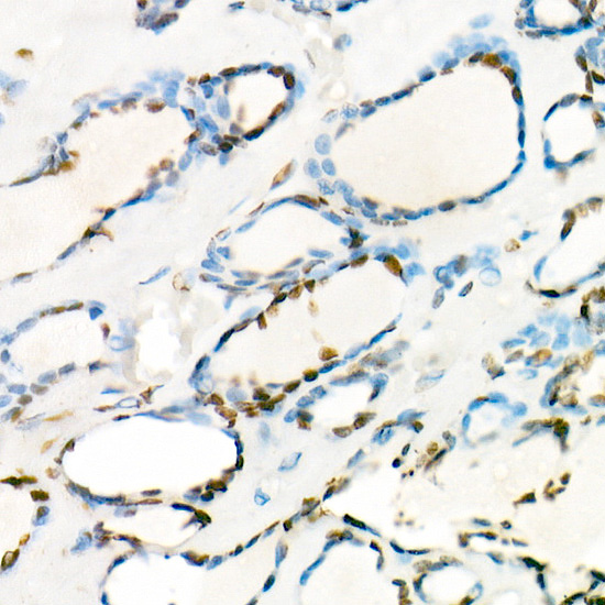
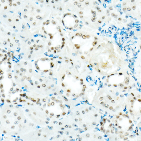
STAT3 (Phospho Tyr705) (AB4956) Rabbit mAb
STAT3 (Phospho Tyr705) (AB4956) Rabbit mAb

Assay Biotechnology Inc Antibodies and ELISA Kits have been rigorously validated for laboratory grade quality results. High specificity paired with high affinity for targets of interest give researchers an advantage with our products

Catalog No: M2743
Species Reactivity:Human,Mouse,Rat
Application:IHC-P,ELISA
Host:Rabbit
Clonality:Monoclonal
Storage and Stability:Store at-20℃. Avoid freeze / thaw cycles.

$150
Product Details
Product Name
STAT3 (Phospho Tyr705) (AB4956) Rabbit mAb
Description
The protein encoded by this gene is a member of the STAT protein family. In response to cytokines and growth factors, STAT family members are phosphorylated by the receptor associated kinases, and then form homo-or heterodimers that translocate to the cell nucleus where they act as transcription activators. This protein is activated through phosphorylation in response to various cytokines and growth factors including IFNs, EGF, IL5, IL6, HGF, LIF and BMP2. This protein mediates the expression of a variety of genes in response to cell stimuli, and thus plays a key role in many cellular processes such as cell growth and apoptosis. The small GTPase Rac1 has been shown to bind and regulate the activity of this protein. PIAS3 protein is a specific inhibitor of this protein. This gene also plays a role in regulating host response to viral and bacterial infections. Mutations in this gene are associated with infantile-onset multisystem autoimmune disease and hyper-immunoglobulin E syndrome.
Catalog No
M2743
Species Reactivity
Human, Mouse, Rat
Clonality
Monoclonal
Host
Rabbit
Modifcation
Phospho Y705
Clone
AB4956
Isotype
IgG
Application
IHC-P, ELISA
Application Dilutions
IHC-P, 1:50-1:200 | ELISA, Recommended starting concentration is 1 μg/mL. Please optimize the concentration based on your specific assay requirements.
Immunogen
A synthetic phosphorylated peptide around Y705 of human Phospho - STAT3 - Y705.
Specificity
The antibody detects endogenous levels of STAT3 protein only when phosphorylated at Tyr705. The antibody does not cross-react with STAT3 phosphorylated at other sites.
Formulation
The antibody is provided in liquid form in phosphate - buffered saline with 50% glycerol, 0.05% BSA, and 0.05% proclin300.
Purification
The antibody was purified by protein A affinity chromatography.
Storage and Stability
Store at-20℃. Avoid freeze / thaw cycles.
Gene Name
STAT3
Gene ID
6774
Human swiss
P40763
Protein Name
STAT3 (Phospho Tyr705)
Synonyms
APRF; HIES; ADMIO; ADMIO1; Phospho-STAT3-Y705
Related Products