25% Off Select Antibodies and ELISA Kits
Sign In/Register 0

We use cookies, check our Privacy Policies.

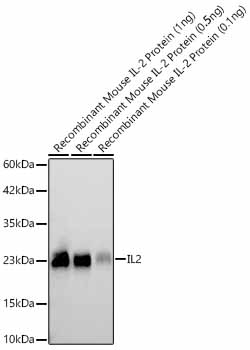
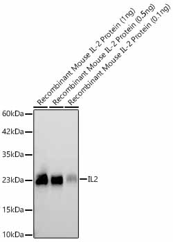
IL2 (AB3912) Rabbit mAb
IL2 (AB3912) Rabbit mAb

Assay Biotechnology Inc Antibodies and ELISA Kits have been rigorously validated for laboratory grade quality results. High specificity paired with high affinity for targets of interest give researchers an advantage with our products

Catalog No: M2698
Species Reactivity:Mouse,Rat
Application:WB,IF/ICC,ELISA
Host:Rabbit
Clonality:Monoclonal
Storage and Stability:Store at-20℃. Avoid freeze / thaw cycles.

$150
Product Details
Product Name
IL2 (AB3912) Rabbit mAb
Description
Enables cytokine activity and interleukin-2 receptor binding activity. Involved in negative regulation of T-helper 17 cell differentiation. Acts upstream of or within several processes, including extrinsic apoptotic signaling pathway in absence of ligand; positive regulation of macromolecule metabolic process; and regulation of lymphocyte activation. Located in extracellular space. Is expressed in liver; omental bursa; thymus; and thymus primordium. Used to study Sjogren's syndrome and inflammatory bowel disease. Human ortholog(s) of this gene implicated in several diseases, including Takayasu's arteritis; auditory system disease (multiple) ; autoimmune disease (multiple) ; carcinoma (multiple) ; and neurodegenerative disease (multiple) . Orthologous to human IL2 (interleukin 2) .
Catalog No
M2698
Species Reactivity
Mouse, Rat
Clonality
Monoclonal
Host
Rabbit
Modifcation
Unmodified
Clone
AB3912
Isotype
IgG
Application
WB, IF/ICC, ELISA
Application Dilutions
WB, 1:1000-1:4000 | IF/ICC, 1:200-1:2000 | ELISA, Recommended starting concentration is 1 μg/mL. Please optimize the concentration based on your specific assay requirements.
Immunogen
Recombinant fusion protein containing a sequence corresponding to amino acids 21 - 169 of mouse IL2.
Specificity
This antibody detects endogenous levels of IL2 protein.
Formulation
The antibody is provided in liquid form in phosphate - buffered saline with 50% glycerol, 0.05% BSA, and 0.09% Sodium azide.
Purification
The antibody was purified by protein A affinity chromatography.
Storage and Stability
Store at-20℃. Avoid freeze / thaw cycles.
Gene Name
Il2
Gene ID
16183
Human swiss
P04351
Protein Name
IL2
Synonyms
Il-2
Related Products