25% Off Select Antibodies and ELISA Kits
Sign In/Register 0

We use cookies, check our Privacy Policies.

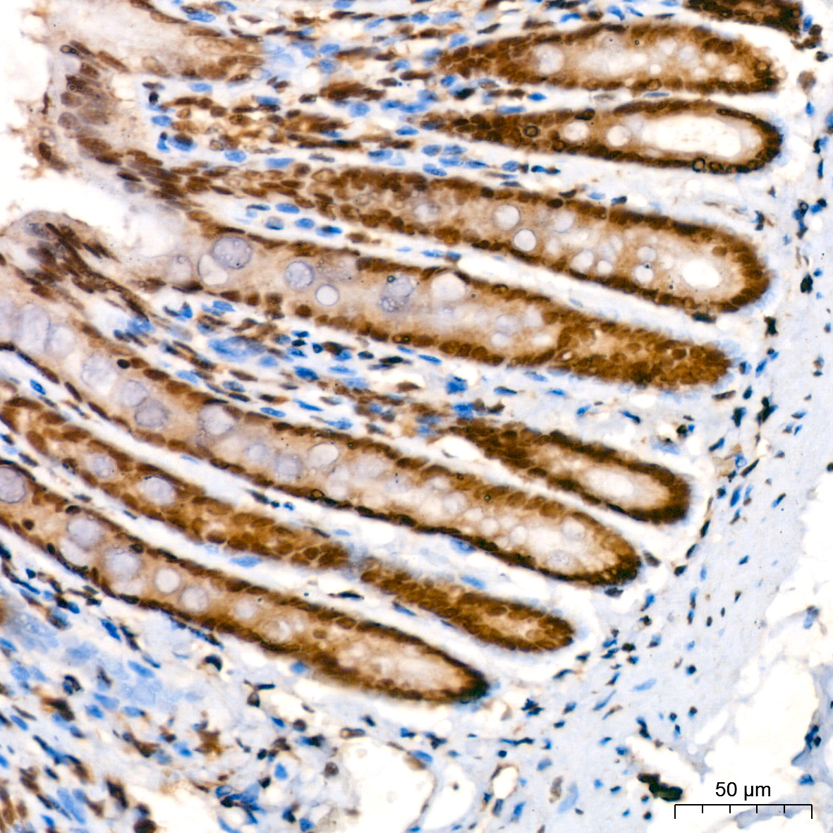
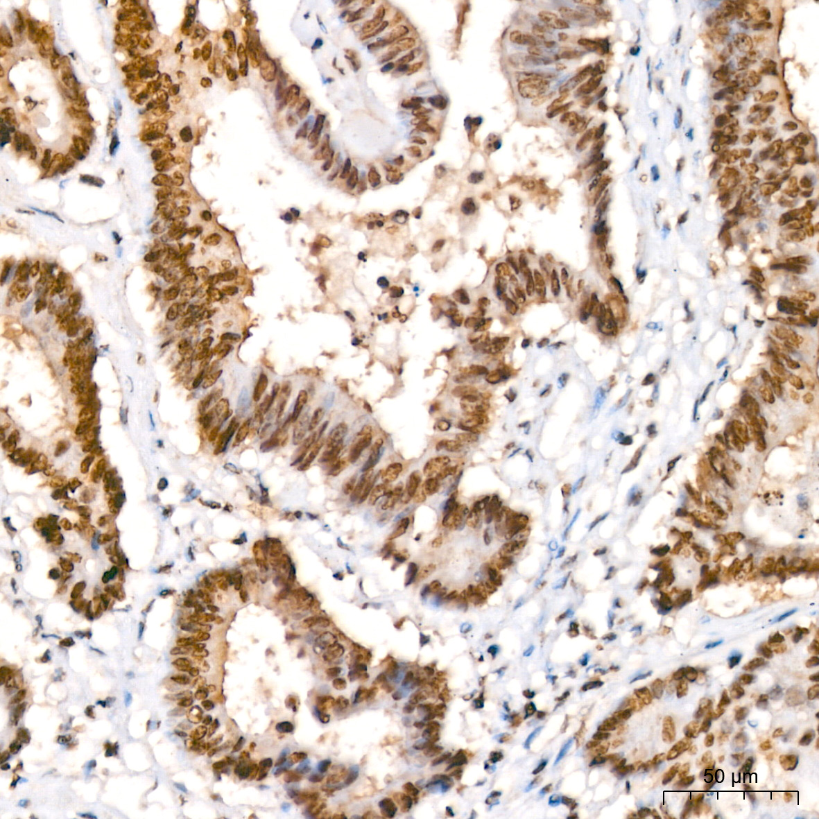
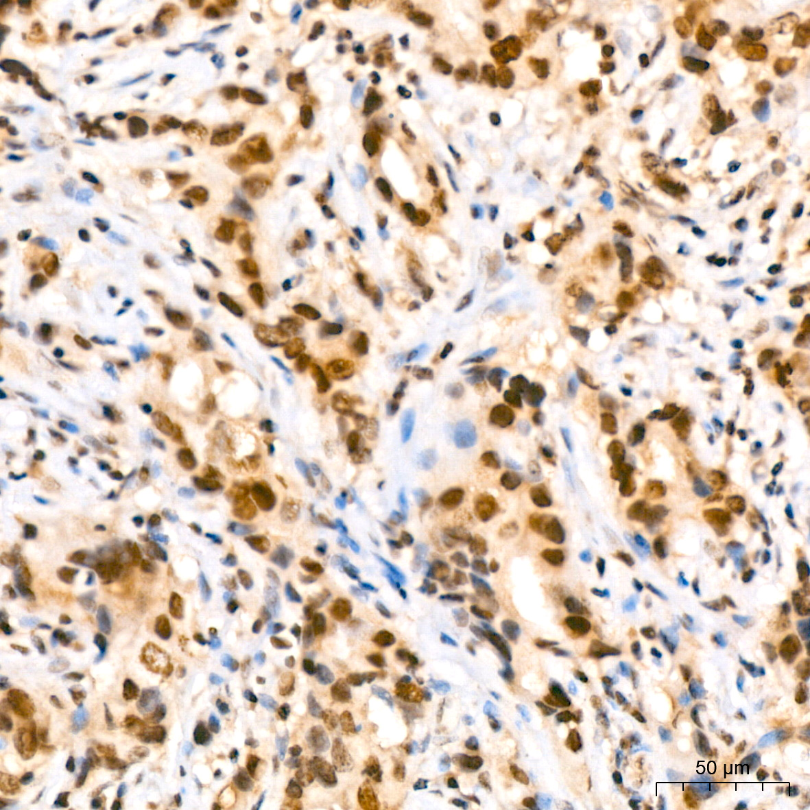
Histone H4 (Lactic acid K5) (AB4044) Rabbit mAb
Histone H4 (Lactic acid K5) (AB4044) Rabbit mAb

Assay Biotechnology Inc Antibodies and ELISA Kits have been rigorously validated for laboratory grade quality results. High specificity paired with high affinity for targets of interest give researchers an advantage with our products

Catalog No: M2653
Species Reactivity:Human,Mouse,Rat,Other (Wide Range Predicted)
Application:WB,IHC-P,ELISA
Host:Rabbit
Clonality:Monoclonal
Storage and Stability:Store at-20℃. Avoid freeze / thaw cycles.

$150
Product Details
Product Name
Histone H4 (Lactic acid K5) (AB4044) Rabbit mAb
Description
Histones are basic nuclear proteins that are responsible for the nucleosome structure of the chromosomal fiber in eukaryotes. This structure consists of approximately 146 bp of DNA wrapped around a nucleosome, an octamer composed of pairs of each of the four core histones (H2A, H2B, H3, and H4) . The chromatin fiber is further compacted through the interaction of a linker histone, H1, with the DNA between the nucleosomes to form higher order chromatin structures. This gene is intronless and encodes a replication-dependent histone that is a member of the histone H4 family. Transcripts from this gene lack polyA tails; instead, they contain a palindromic termination element. This gene is found in a histone cluster on chromosome 1. This gene is one of four histone genes in the cluster that are duplicated; this record represents the centromeric copy.
Catalog No
M2653
Species Reactivity
Human, Mouse, Rat, Other (Wide Range Predicted)
Clonality
Monoclonal
Host
Rabbit
Modifcation
Lactic acid K5
Clone
AB4044
Isotype
IgG
Application
WB, IHC-P, ELISA
Application Dilutions
WB, 1:500-1:1000 | IHC-P, 1:50-1:200 | ELISA, Recommended starting concentration is 1 μg/mL. Please optimize the concentration based on your specific assay requirements.
Immunogen
A synthetic lactylated peptide around K5 of human Histone H4.
Specificity
The antibody detects endogenous levels of Histone H4 protein only when lactylated at Lys5. The antibody does not cross-react with non-lactylated Histone H4 protein.
Formulation
The antibody is provided in liquid form in phosphate - buffered saline with 50% glycerol, 0.05% BSA, and 0.05% proclin300.
Purification
The antibody was purified by protein A affinity chromatography.
Storage and Stability
Store at-20℃. Avoid freeze / thaw cycles.
Gene Name
H4C14
Gene ID
8359
Human swiss
P62805
Protein Name
Lactic acid-Histone H4-K5
Synonyms
H4; H4/n; H4C1; H4C2; H4C3; H4C4; H4C5; H4C6; H4C8; H4C9; H4F2; H4FN; FO108; H4-16; H4C11; H4C12; H4C13; H4C15; H4C16; HIST2H4; HIST2H4A; Lactic acid-Histone H4-K5
Related Products