25% Off Select Antibodies and ELISA Kits
Sign In/Register 0

We use cookies, check our Privacy Policies.

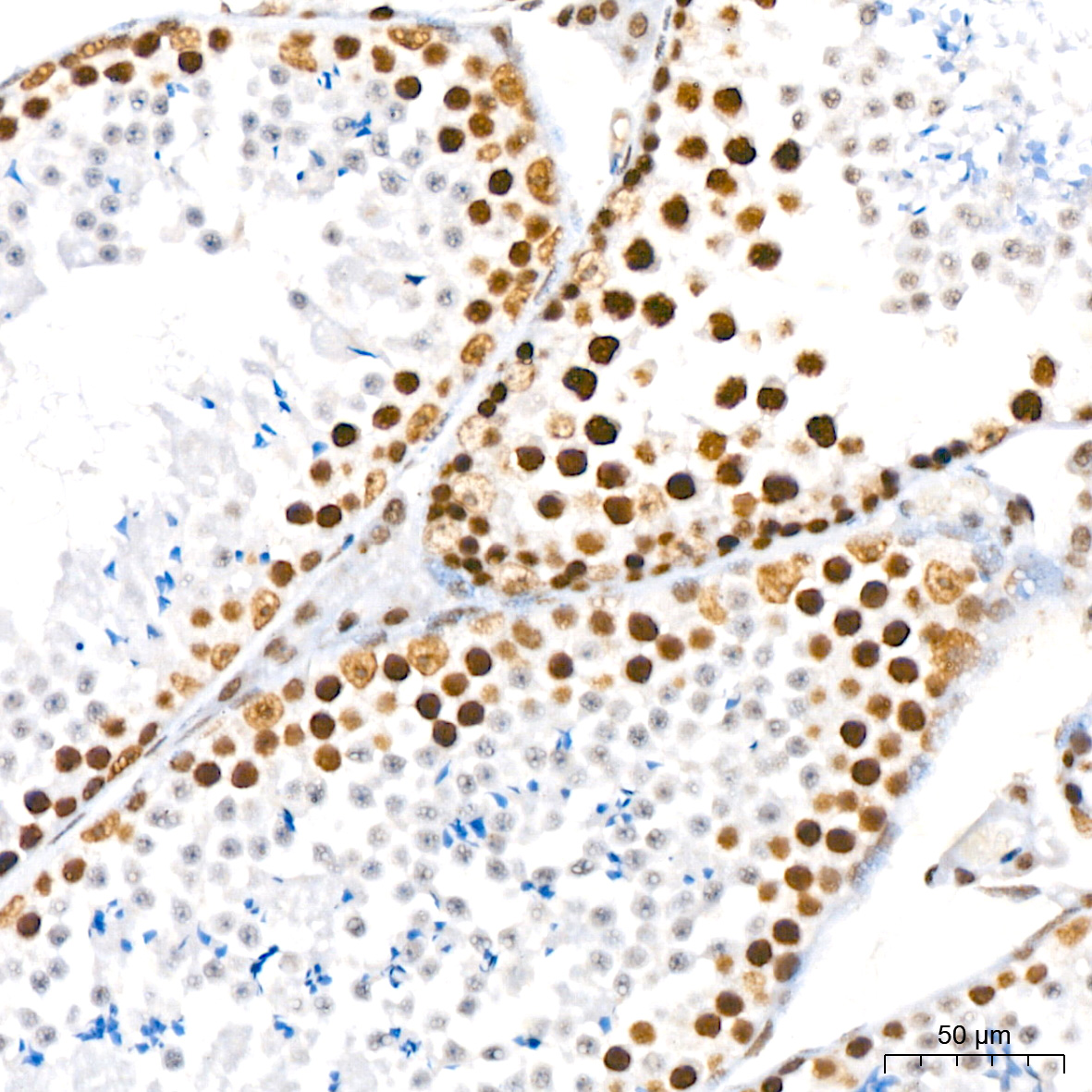
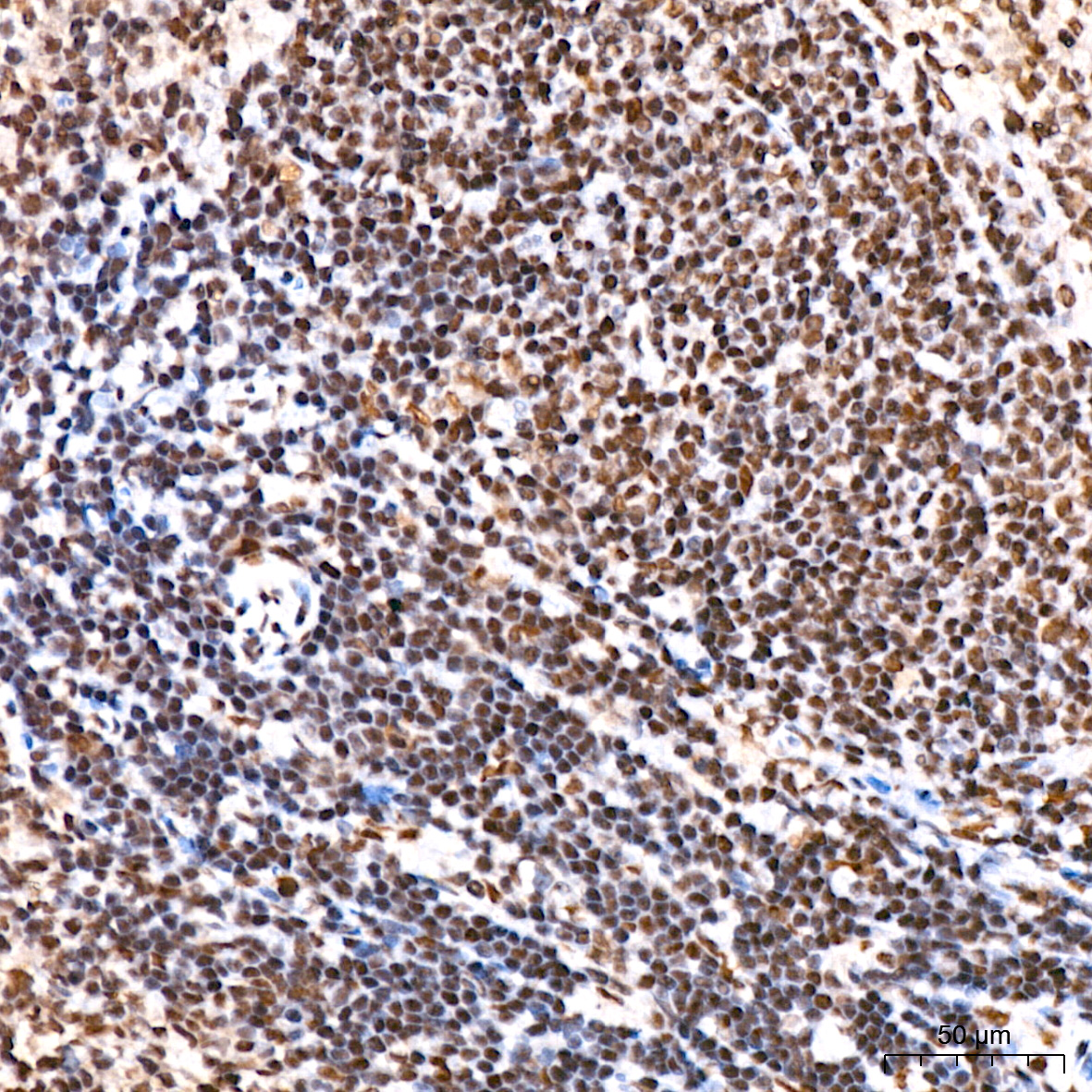
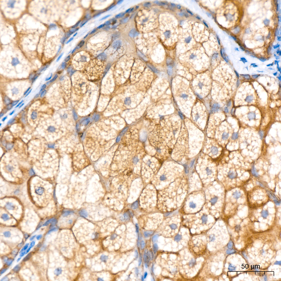
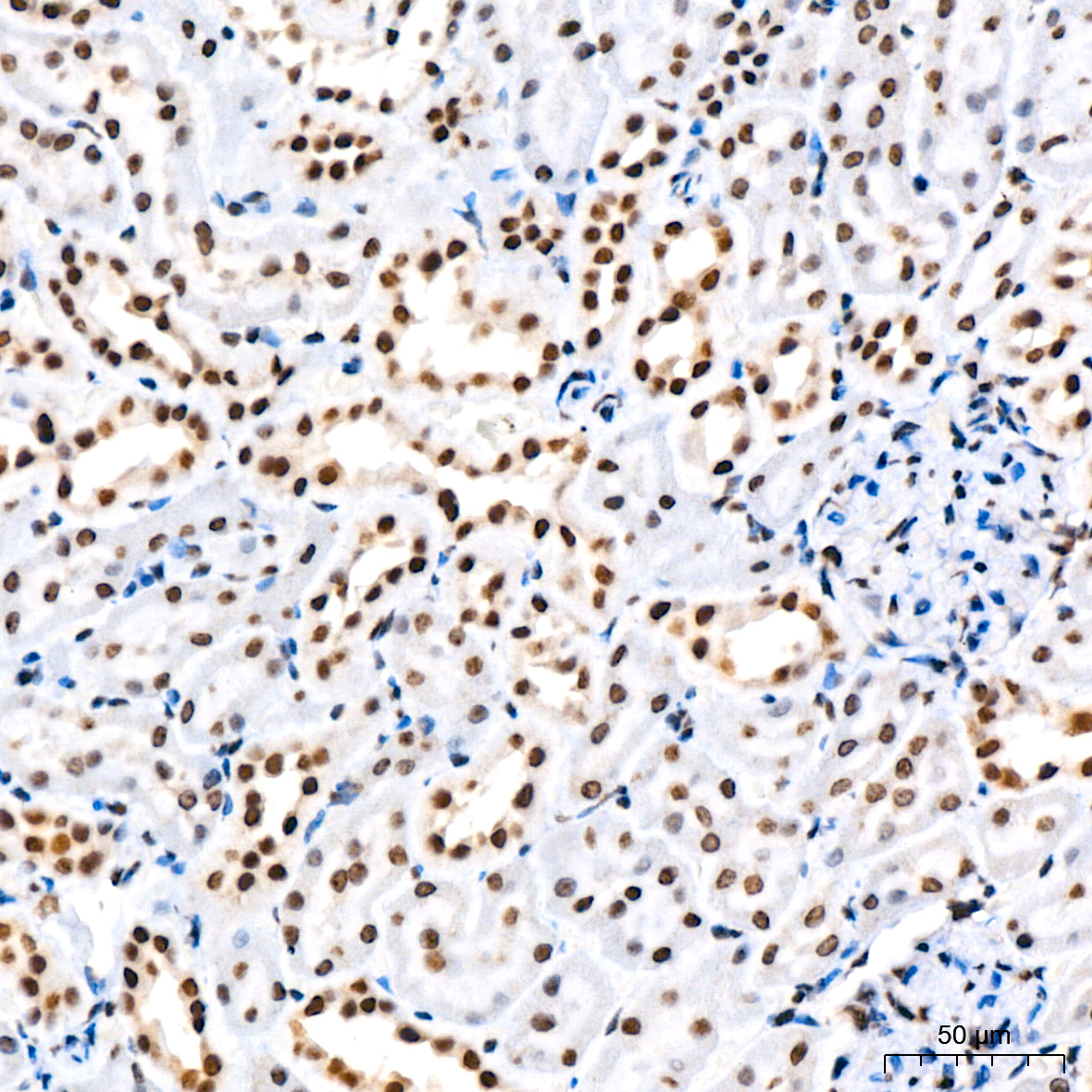
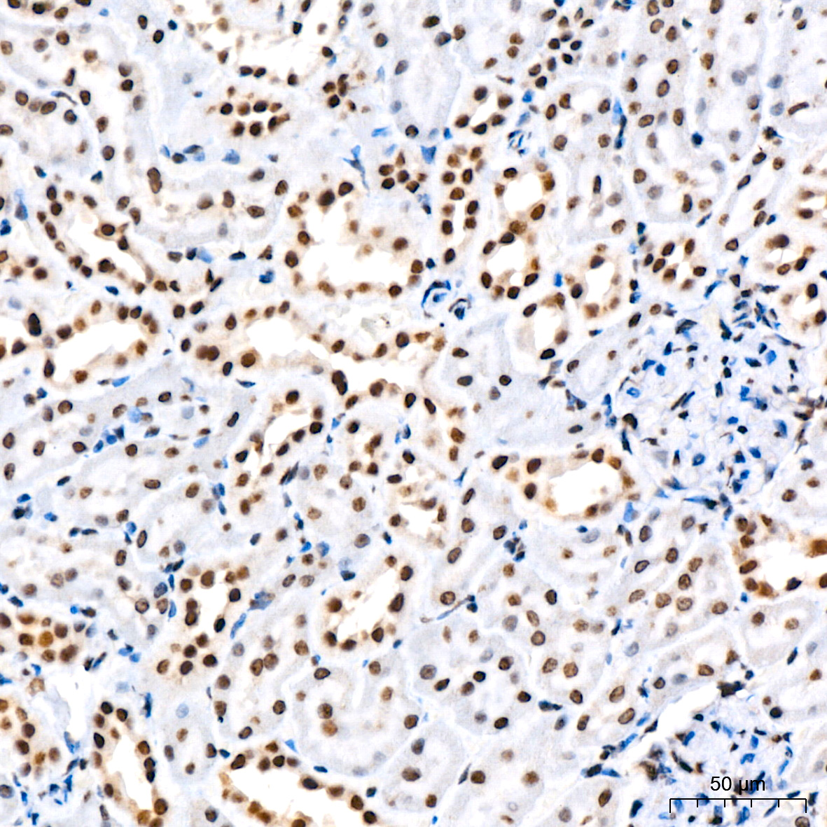
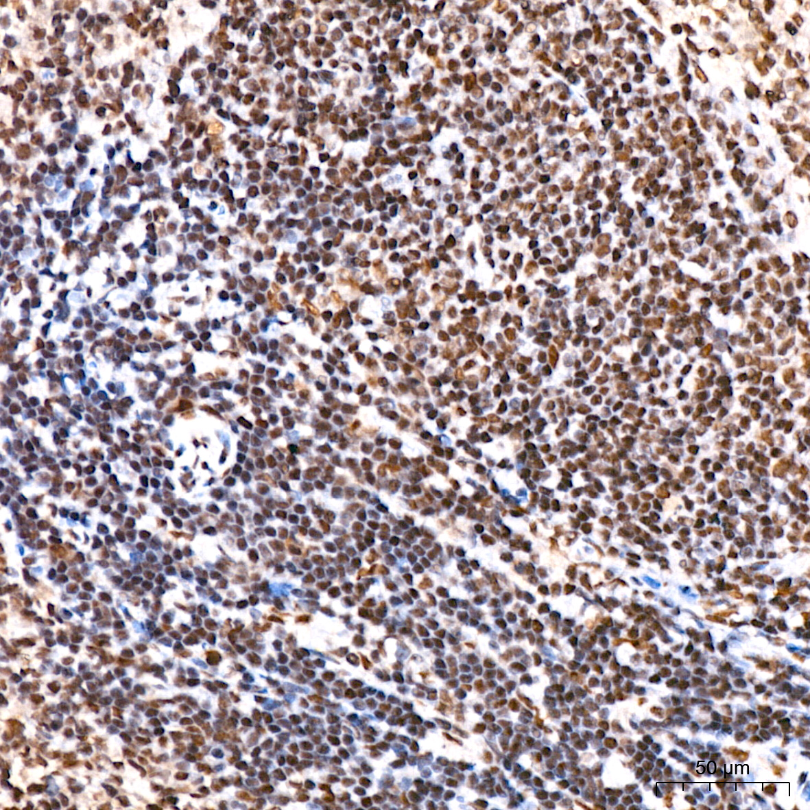
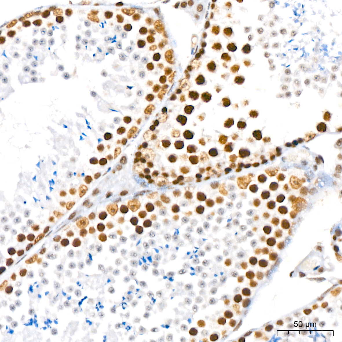
RING1B/RNF2 (AB4769) Rabbit mAb
RING1B/RNF2 (AB4769) Rabbit mAb

Assay Biotechnology Inc Antibodies and ELISA Kits have been rigorously validated for laboratory grade quality results. High specificity paired with high affinity for targets of interest give researchers an advantage with our products

Catalog No: M2593
Species Reactivity:Human,Mouse,Rat
Application:WB,IHC-P,ELISA
Host:Rabbit
Clonality:Monoclonal
Storage and Stability:Store at-20℃. Avoid freeze / thaw cycles.

$150
Product Details
Product Name
RING1B/RNF2 (AB4769) Rabbit mAb
Description
Polycomb group (PcG) of proteins form the multiprotein complexes that are important for the transcription repression of various genes involved in development and cell proliferation. The protein encoded by this gene is one of the PcG proteins. It has been shown to interact with, and suppress the activity of, transcription factor CP2 (TFCP2/CP2) . Studies of the mouse counterpart suggested the involvement of this gene in the specification of anterior-posterior axis, as well as in cell proliferation in early development. This protein was also found to interact with huntingtin interacting protein 2 (HIP2) , an ubiquitin-conjugating enzyme, and possess ubiquitin ligase activity.
Catalog No
M2593
Species Reactivity
Human, Mouse, Rat
Clonality
Monoclonal
Host
Rabbit
Modifcation
Unmodified
Clone
AB4769
Isotype
IgG
Application
WB, IHC-P, ELISA
Application Dilutions
WB, 1:2500-1:10000 | IHC-P, 1:200-1:800 | ELISA, Recommended starting concentration is 1 μg/mL. Please optimize the concentration based on your specific assay requirements.
Immunogen
Recombinant fusion protein containing a sequence corresponding to amino acids 1 - 336 of human RING1B/RNF2.
Specificity
This antibody detects endogenous levels of RING1B/RNF2 protein.
Formulation
The antibody is provided in liquid form in phosphate - buffered saline with 50% glycerol, 0.05% BSA, and 0.05% proclin300.
Purification
The antibody was purified by protein A affinity chromatography.
Storage and Stability
Store at-20℃. Avoid freeze / thaw cycles.
Gene Name
RNF2
Gene ID
6045
Human swiss
Q99496
Protein Name
RING1B/RNF2
Synonyms
BAP1; DING; BAP-1; HIPI3; RING2; LUSYAM; RING1B; RING1B/RNF2
Related Products