25% Off Select Antibodies and ELISA Kits
Sign In/Register 0

We use cookies, check our Privacy Policies.

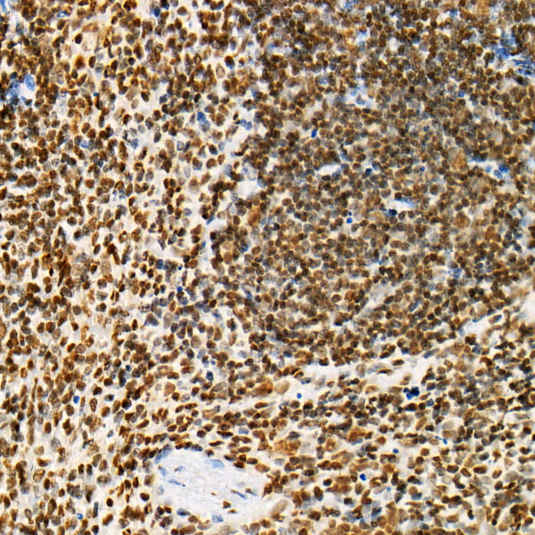
Histone H4 (Acetyl Lys12) (AB3759) Rabbit mAb
Histone H4 (Acetyl Lys12) (AB3759) Rabbit mAb

Assay Biotechnology Inc Antibodies and ELISA Kits have been rigorously validated for laboratory grade quality results. High specificity paired with high affinity for targets of interest give researchers an advantage with our products

Catalog No: M2564
Species Reactivity:Human,Mouse,Rat,Other (Wide Range Predicted)
Application:WB,IHC-P,IP,ELISA,CHIP
Host:Rabbit
Clonality:Monoclonal
Storage and Stability:Store at-20℃. Avoid freeze / thaw cycles.

$150
Product Details
Product Name
Histone H4 (Acetyl Lys12) (AB3759) Rabbit mAb
Description
Histones are basic nuclear proteins that are responsible for the nucleosome structure of the chromosomal fiber in eukaryotes. Two molecules of each of the four core histones (H2A, H2B, H3, and H4) form an octamer, around which approximately 146 bp of DNA is wrapped in repeating units, called nucleosomes. The linker histone, H1, interacts with linker DNA between nucleosomes and functions in the compaction of chromatin into higher order structures. This gene is intronless and encodes a replication-dependent histone that is a member of the histone H4 family. Transcripts from this gene lack polyA tails but instead contain a palindromic termination element. This gene is found in the large histone gene cluster on chromosome 6.
Catalog No
M2564
Species Reactivity
Human, Mouse, Rat, Other (Wide Range Predicted)
Clonality
Monoclonal
Host
Rabbit
Modifcation
Acetyl K12
Clone
AB3759
Isotype
IgG
Application
WB, IHC-P, IP, ELISA, CHIP
Application Dilutions
WB, 1:500-1:1000 | IHC-P, 1:500-1:1000 | IP, 0. 5μg-4μg antibody for 200μg-400μg extracts of whole cells | ELISA, Recommended starting concentration is 1 μg/mL. Please optimize the concentration based on your specific assay requirements. | ChIP, 5μg antibody for 5μg-10μg of Chromatin
Immunogen
A synthetic acetylated peptide around K12 of human Histone H4.
Specificity
The antibody detects endogenous levels of Histone H4 protein only when acetylated at Lys12. The antibody does not cross-react with Histone H4 acetylated at other sites.
Formulation
The antibody is provided in liquid form in phosphate - buffered saline with 50% glycerol, 0.05% BSA, and 0.05% proclin300.
Purification
The antibody was purified by protein A affinity chromatography.
Storage and Stability
Store at-20℃. Avoid freeze / thaw cycles.
Gene Name
Histone H4
Gene ID
8359; 8370
Human swiss
P62805
Protein Name
Histone H4 (Acetyl Lys12)
Synonyms
H4/I; H4C1; H4C3; H4C4; H4C5; H4C6; H4C8; H4C9; H4FI; H4-16; H4C11; H4C12; H4C13; H4C14; H4C15; H4C16; HIST1H4B; Acetyl-Histone H4-K12
Related Products