25% Off Select Antibodies and ELISA Kits
Sign In/Register 0

We use cookies, check our Privacy Policies.

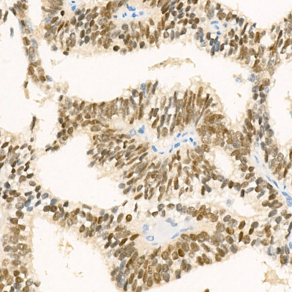
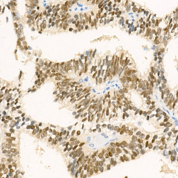
NKX3.1 (AB4347) Rabbit mAb
NKX3.1 (AB4347) Rabbit mAb

Assay Biotechnology Inc Antibodies and ELISA Kits have been rigorously validated for laboratory grade quality results. High specificity paired with high affinity for targets of interest give researchers an advantage with our products

Catalog No: M2553
Species Reactivity:Human,Mouse,Rat
Application:WB,IHC-P,ELISA
Host:Rabbit
Clonality:Monoclonal
Storage and Stability:Store at-20℃. Avoid freeze / thaw cycles.

$150
Product Details
Product Name
NKX3.1 (AB4347) Rabbit mAb
Description
This gene encodes a homeobox-containing transcription factor. This transcription factor functions as a negative regulator of epithelial cell growth in prostate tissue. Aberrant expression of this gene is associated with prostate tumor progression. Alternate splicing results in multiple transcript variants of this gene.
Catalog No
M2553
Species Reactivity
Human, Mouse, Rat
Clonality
Monoclonal
Host
Rabbit
Modifcation
Unmodified
Clone
AB4347
Isotype
IgG
Application
WB, IHC-P, ELISA
Application Dilutions
WB, 1:2000-1:20000 | IHC-P, 1:100-1:500 | ELISA, Recommended starting concentration is 1 μg/mL. Please optimize the concentration based on your specific assay requirements.
Immunogen
Recombinant fusion protein containing a sequence corresponding to amino acids 1 - 100 of human NKX3. 1..
Specificity
This antibody detects endogenous levels of NKX3. 1 protein.
Formulation
The antibody is provided in liquid form in phosphate - buffered saline with 50% glycerol, 0.05% BSA, and 0.05% proclin300.
Purification
The antibody was purified by protein A affinity chromatography.
Storage and Stability
Store at-20℃. Avoid freeze / thaw cycles.
Gene Name
NKX3-1
Gene ID
4824
Human swiss
Q99801
Protein Name
NKX3. 1
Synonyms
NKX3; BAPX2; NKX3A; NKX3. 1
Related Products