25% Off Select Antibodies and ELISA Kits
Sign In/Register 0

We use cookies, check our Privacy Policies.

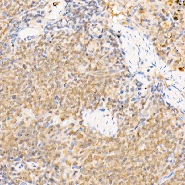
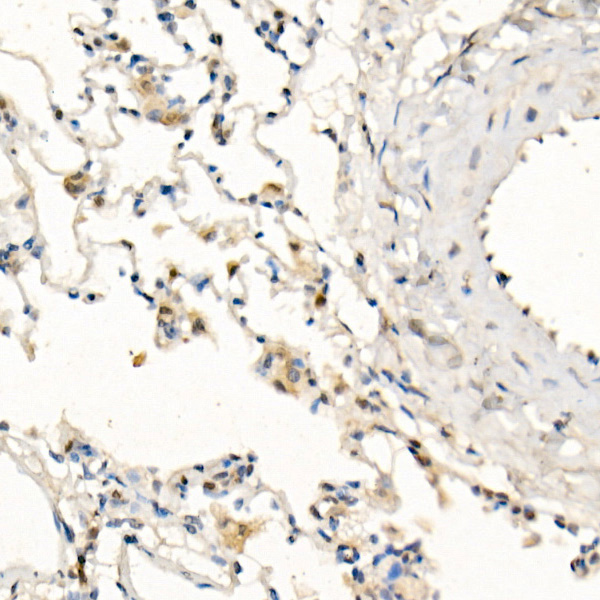
FADD (AB3460) Rabbit mAb
FADD (AB3460) Rabbit mAb

Assay Biotechnology Inc Antibodies and ELISA Kits have been rigorously validated for laboratory grade quality results. High specificity paired with high affinity for targets of interest give researchers an advantage with our products

Catalog No: M2522
Species Reactivity:Human,Mouse,Rat
Application:WB,IHC-P,ELISA
Host:Rabbit
Clonality:Monoclonal
Storage and Stability:Store at-20℃. Avoid freeze / thaw cycles.

$150
Product Details
Product Name
FADD (AB3460) Rabbit mAb
Description
Predicted to enable several functions, including caspase binding activity; death effector domain binding activity; and tumor necrosis factor receptor superfamily binding activity. Involved in several processes, including hematopoietic or lymphoid organ development; negative regulation of activation-induced cell death of T cells; and positive regulation of CD8-positive, alpha-beta cytotoxic T cell extravasation. Acts upstream of or within extrinsic apoptotic signaling pathway in absence of ligand; motor neuron apoptotic process; and regulation of programmed cell death. Predicted to be located in several cellular components, including cell body; cytosol; and membrane raft. Predicted to be part of CD95 death-inducing signaling complex and ripoptosome. Predicted to be active in cytoplasm. Is expressed in several structures, including alimentary system; brain; genitourinary system; hemolymphoid system gland; and liver and biliary system. Human ortholog(s) of this gene implicated in leukemia. Orthologous to human FADD (Fas associated via death domain) .
Catalog No
M2522
Species Reactivity
Human, Mouse, Rat
Clonality
Monoclonal
Host
Rabbit
Modifcation
Unmodified
Clone
AB3460
Isotype
IgG
Application
WB, IHC-P, ELISA
Application Dilutions
WB, 1:500-1:1000 | IHC-P, 1:50-1:200 | ELISA, Recommended starting concentration is 1 μg/mL. Please optimize the concentration based on your specific assay requirements.
Immunogen
Recombinant fusion protein containing a sequence corresponding to amino acids 1 - 205 of mouse FADD.
Specificity
This antibody detects endogenous levels of FADD protein.
Formulation
The antibody is provided in liquid form in phosphate - buffered saline with 50% glycerol, 0.05% BSA, and 0.05% proclin300.
Purification
The antibody was purified by protein A affinity chromatography.
Storage and Stability
Store at-20℃. Avoid freeze / thaw cycles.
Gene Name
Fadd
Gene ID
14082
Human swiss
Q61160
Protein Name
FADD
Synonyms
Mort1/FADD; FADD
Related Products