25% Off Select Antibodies and ELISA Kits
Sign In/Register 0

We use cookies, check our Privacy Policies.

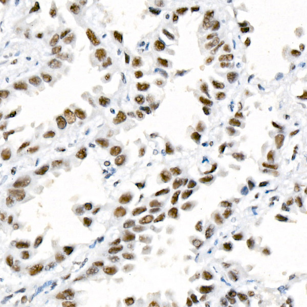
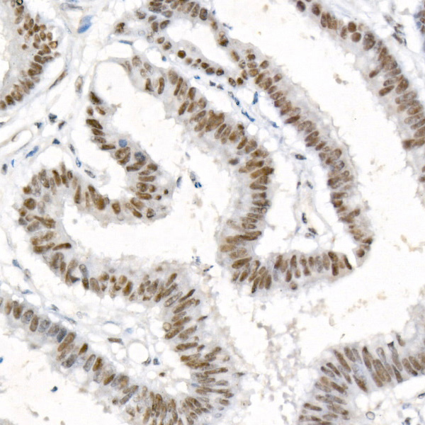
DNA-PKcs (AB3321) Rabbit mAb
DNA-PKcs (AB3321) Rabbit mAb

Assay Biotechnology Inc Antibodies and ELISA Kits have been rigorously validated for laboratory grade quality results. High specificity paired with high affinity for targets of interest give researchers an advantage with our products

Catalog No: M2395
Species Reactivity:Human
Application:IHC-P,ELISA
Host:Rabbit
Clonality:Monoclonal
Storage and Stability:Store at-20℃. Avoid freeze / thaw cycles.

$150
Product Details
Product Name
DNA-PKcs (AB3321) Rabbit mAb
Description
This gene encodes the catalytic subunit of the DNA-dependent protein kinase (DNA-PK) . It functions with the Ku70/Ku80 heterodimer protein in DNA double strand break repair and recombination. The protein encoded is a member of the PI3/PI4-kinase family.
Catalog No
M2395
Species Reactivity
Human
Clonality
Monoclonal
Host
Rabbit
Modifcation
Unmodified
Clone
AB3321
Isotype
IgG
Application
IHC-P, ELISA
Application Dilutions
IHC-P, 1:100-1:400 | ELISA, Recommended starting concentration is 1 µg/mL. Please optimize the concentration based on your specific assay requirements.
Immunogen
A synthetic peptide corresponding to a sequence within amino acids 4021 - 4120 of human DNA - PKcs.
Specificity
This antibody detects endogenous levels of DNA-PKcs protein.
Formulation
The antibody is provided in liquid form in phosphate - buffered saline with 50% glycerol, 0.05% BSA, and 0.09% Sodium azide.
Purification
The antibody was purified by protein A affinity chromatography.
Storage and Stability
Store at-20℃. Avoid freeze / thaw cycles.
Gene Name
PRKDC
Gene ID
5591
Human swiss
P78527
Protein Name
DNA-PKcs
Synonyms
HYRC; p350; DNAPK; DNPK1; HYRC1; IMD26; XRCC7; DNAPKc; DNA-PKC; DNA-PKcs
Related Products