25% Off Select Antibodies and ELISA Kits
Sign In/Register 0

We use cookies, check our Privacy Policies.

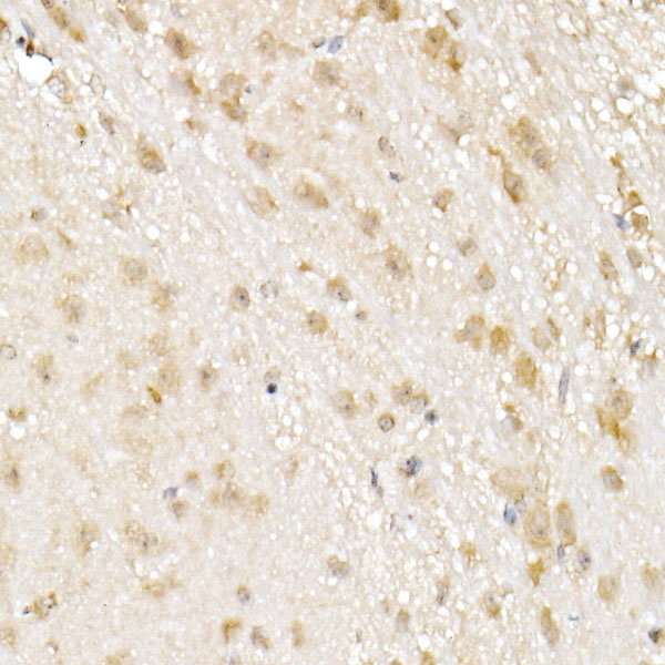
NOLC1 (AB4360) Rabbit mAb
NOLC1 (AB4360) Rabbit mAb

Assay Biotechnology Inc Antibodies and ELISA Kits have been rigorously validated for laboratory grade quality results. High specificity paired with high affinity for targets of interest give researchers an advantage with our products

Catalog No: M2090
Species Reactivity:Human,Mouse
Application:WB,IHC-P,IF/ICC,ELISA
Host:Rabbit
Clonality:Monoclonal
Storage and Stability:Store at-20℃. Avoid freeze / thaw cycles.

$150
Product Details
Product Name
NOLC1 (AB4360) Rabbit mAb
Description
Enables protein heterodimerization activity and protein-macromolecule adaptor activity. Involved in neural crest cell development; neural crest formation; and regulation of translation. Located in fibrillar center.
Catalog No
M2090
Species Reactivity
Human, Mouse
Clonality
Monoclonal
Host
Rabbit
Modifcation
Unmodified
Clone
AB4360
Isotype
IgG
Application
WB, IHC-P, IF/ICC, ELISA
Application Dilutions
WB, 1:1000-1:6000 | IHC-P, 1:50-1:200 | IF/ICC, 1:50-1:200 | ELISA, Recommended starting concentration is 1 μg/mL. Please optimize the concentration based on your specific assay requirements.
Immunogen
Recombinant fusion protein containing a sequence corresponding to amino acids 1 - 100 of human NOLC1.
Specificity
This antibody detects endogenous levels of NOLC1 protein.
Formulation
The antibody is provided in liquid form in phosphate - buffered saline with 50% glycerol, 0.05% BSA, and 0.02% sodium azide.
Purification
The antibody was purified by protein A affinity chromatography.
Storage and Stability
Store at-20℃. Avoid freeze / thaw cycles.
Gene Name
NOLC1
Gene ID
9221
Human swiss
Q14978
Protein Name
NOLC1
Synonyms
P130; Srp40; NOPP130; NOPP140; NS5ATP13; NOLC1
Related Products