25% Off Select Antibodies and ELISA Kits
Sign In/Register 0

We use cookies, check our Privacy Policies.

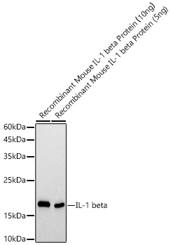
IL1β (AB3908) Rabbit mAb
IL1β (AB3908) Rabbit mAb

Assay Biotechnology Inc Antibodies and ELISA Kits have been rigorously validated for laboratory grade quality results. High specificity paired with high affinity for targets of interest give researchers an advantage with our products

Catalog No: M2069
Species Reactivity:Mouse
Application:WB,ELISA
Host:Rabbit
Clonality:Monoclonal
Storage and Stability:Store at-20℃. Avoid freeze / thaw cycles.

$150
Product Details
Product Name
IL1β (AB3908) Rabbit mAb
Description
The protein encoded by this gene is a member of the interleukin 1 cytokine family. This cytokine is produced by activated macrophages as a proprotein, which is proteolytically processed to its active form by caspase 1. The encoded protein plays a role in thymocyte proliferation and is involved in the inflammatory response.
Catalog No
M2069
Species Reactivity
Mouse
Clonality
Monoclonal
Host
Rabbit
Modifcation
Unmodified
Clone
AB3908
Isotype
IgG
Application
WB, ELISA
Application Dilutions
WB, 1:500-1:1000 | ELISA, Recommended starting concentration is 1 μg/mL. Please optimize the concentration based on your specific assay requirements.
Immunogen
Recombinant fusion protein containing a sequence corresponding to amino acids 100 - 269 of mouse IL1β.
Specificity
This antibody detects endogenous levels of IL1β protein.
Formulation
The antibody is provided in liquid form in phosphate - buffered saline with 50% glycerol, 0.05% BSA, and 0.02% sodium azide.
Purification
The antibody was purified by protein A affinity chromatography.
Storage and Stability
Store at-20℃. Avoid freeze / thaw cycles.
Gene Name
Il1b
Gene ID
16176
Human swiss
P10749
Protein Name
IL1β
Synonyms
Il-1b; IL-1beta; IL1β
Related Products