25% Off Select Antibodies and ELISA Kits
Sign In/Register 0

We use cookies, check our Privacy Policies.

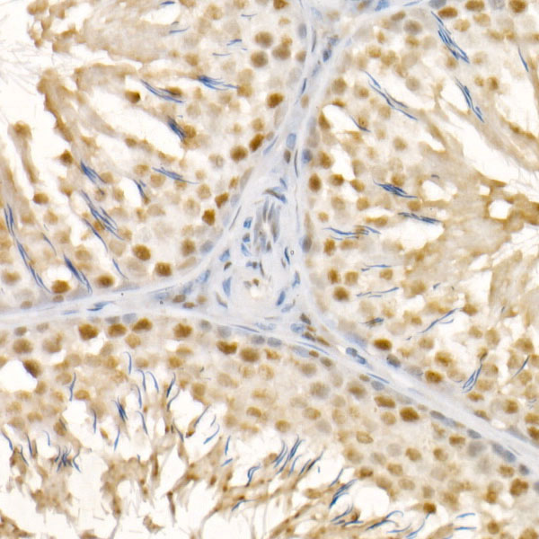
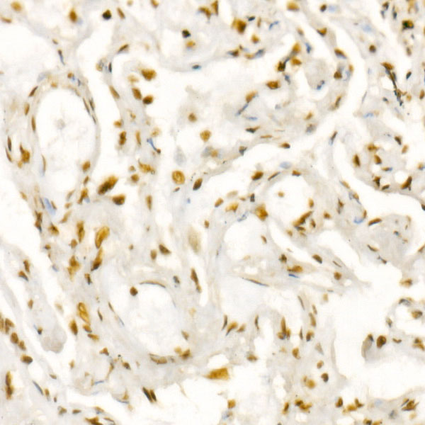
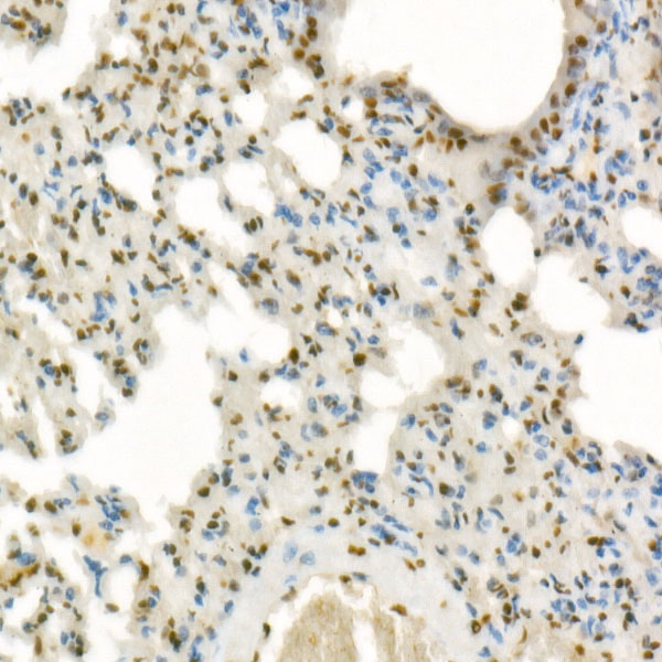
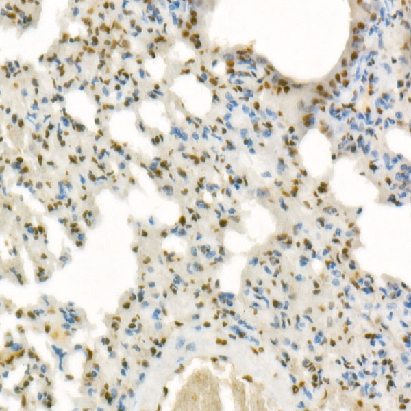
DAZAP1 (AB3258) Rabbit mAb
DAZAP1 (AB3258) Rabbit mAb

Assay Biotechnology Inc Antibodies and ELISA Kits have been rigorously validated for laboratory grade quality results. High specificity paired with high affinity for targets of interest give researchers an advantage with our products

Catalog No: M2007
Species Reactivity:Human,Mouse,Rat
Application:WB,IHC-P,ELISA
Host:Rabbit
Clonality:Monoclonal
Storage and Stability:Store at-20℃. Avoid freeze / thaw cycles.

$150
Product Details
Product Name
DAZAP1 (AB3258) Rabbit mAb
Description
In mammals, the Y chromosome directs the development of the testes and plays an important role in spermatogenesis. A high percentage of infertile men have deletions that map to regions of the Y chromosome. The DAZ (deleted in azoospermia) gene cluster maps to the AZFc region of the Y chromosome and is deleted in many azoospermic and severely oligospermic men. It is thought that the DAZ gene cluster arose from the transposition, amplification, and pruning of the ancestral autosomal gene DAZL also involved in germ cell development and gametogenesis. This gene encodes a RNA-binding protein with two RNP motifs that was originally identified by its interaction with the infertility factors DAZ and DAZL. Two isoforms are encoded by transcript variants of this gene.
Catalog No
M2007
Species Reactivity
Human, Mouse, Rat
Clonality
Monoclonal
Host
Rabbit
Modifcation
Unmodified
Clone
AB3258
Isotype
IgG
Application
WB, IHC-P, ELISA
Application Dilutions
WB, 1:500-1:1000 | IHC-P, 1:50-1:200 | ELISA, Recommended starting concentration is 1 μg/mL. Please optimize the concentration based on your specific assay requirements.
Immunogen
Recombinant fusion protein containing a sequence corresponding to amino acids 265 - 407 of human DAZAP1 (Q96EP5).
Specificity
This antibody detects endogenous levels of DAZAP1 protein.
Formulation
The antibody is provided in liquid form in phosphate - buffered saline with 50% glycerol, 0.05% BSA, and 0.02% sodium azide.
Purification
The antibody was purified by protein A affinity chromatography.
Storage and Stability
Store at-20℃. Avoid freeze / thaw cycles.
Gene Name
DAZAP1
Gene ID
26528
Human swiss
Q96EP5
Protein Name
DAZAP1
Synonyms
DAZ-associated protein 1 (Deleted in azoospermia-associated protein 1)
Related Products