25% Off Select Antibodies and ELISA Kits
Sign In/Register 0

We use cookies, check our Privacy Policies.

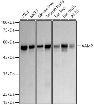
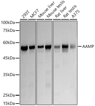
AAMP (AB2503) Rabbit mAb
AAMP (AB2503) Rabbit mAb

Assay Biotechnology Inc Antibodies and ELISA Kits have been rigorously validated for laboratory grade quality results. High specificity paired with high affinity for targets of interest give researchers an advantage with our products

Catalog No: M2006
Species Reactivity:Human,Mouse,Rat
Application:WB,IF/ICC,ELISA
Host:Rabbit
Clonality:Monoclonal
Storage and Stability:Store at-20℃. Avoid freeze / thaw cycles.

$150
Product Details
Product Name
AAMP (AB2503) Rabbit mAb
Description
The gene is a member of the immunoglobulin superfamily. The encoded protein is associated with angiogenesis, with potential roles in endothelial tube formation and the migration of endothelial cells. It may also regulate smooth muscle cell migration via the RhoA pathway. The encoded protein can bind to heparin and may mediate heparin-sensitive cell adhesion.
Catalog No
M2006
Species Reactivity
Human, Mouse, Rat
Clonality
Monoclonal
Host
Rabbit
Modifcation
Unmodified
Clone
AB2503
Isotype
IgG
Application
WB, IF/ICC, ELISA
Application Dilutions
WB, 1:500-1:1000 | IF/ICC, 1:50-1:200 | ELISA, Recommended starting concentration is 1 μg/mL. Please optimize the concentration based on your specific assay requirements.
Immunogen
A synthetic peptide corresponding to a sequence within amino acids 1 - 100 of human AAMP (Q13685).
Specificity
This antibody detects endogenous levels of AAMP protein.
Formulation
The antibody is provided in liquid form in phosphate - buffered saline with 50% glycerol, 0.05% BSA, and 0.02% sodium azide.
Purification
The antibody was purified by protein A affinity chromatography.
Storage and Stability
Store at-20℃. Avoid freeze / thaw cycles.
Gene Name
AAMP
Gene ID
14
Human swiss
Q13685
Protein Name
AAMP
Synonyms
AAMP
Related Products