25% Off Select Antibodies and ELISA Kits
Sign In/Register 0

We use cookies, check our Privacy Policies.

NUDT19 (AB4384) Rabbit mAb
NUDT19 (AB4384) Rabbit mAb

Assay Biotechnology Inc Antibodies and ELISA Kits have been rigorously validated for laboratory grade quality results. High specificity paired with high affinity for targets of interest give researchers an advantage with our products

Catalog No: M1987
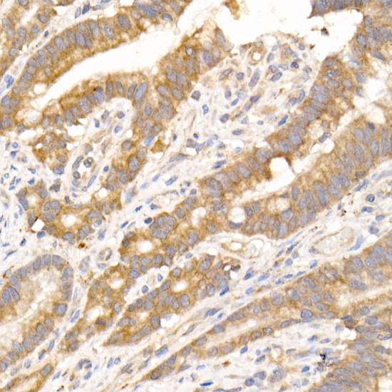
Species Reactivity:Human,Rat
Application:WB,IHC-P,IF/ICC,ELISA
Host:Rabbit
Clonality:Monoclonal
Storage and Stability:Store at-20℃. Avoid freeze / thaw cycles.

$150
Product Details
Product Name
NUDT19 (AB4384) Rabbit mAb
Description
Predicted to enable magnesium ion binding activity. Predicted to be involved in purine nucleoside bisphosphate metabolic process. Predicted to be located in cytosol and peroxisomal matrix.
Catalog No
M1987
Species Reactivity
Human, Rat
Clonality
Monoclonal
Host
Rabbit
Modifcation
Unmodified
Clone
AB4384
Isotype
IgG
Application
WB, IHC-P, IF/ICC, ELISA
Application Dilutions
WB, 1:500-1:1000 | IHC-P, 1:20-1:100 | IF/ICC, 1:20-1:100 | ELISA, Recommended starting concentration is 1 μg/mL. Please optimize the concentration based on your specific assay requirements.
Immunogen
Recombinant fusion protein containing a sequence corresponding to amino acids 60 - 190 of human NUDT19 (A8MXV4).
Specificity
This antibody detects endogenous levels of NUDT19 protein.
Formulation
The antibody is provided in liquid form in phosphate - buffered saline with 50% glycerol, 0.05% BSA, and 0.02% sodium azide.
Purification
The antibody was purified by protein A affinity chromatography.
Storage and Stability
Store at-20℃. Avoid freeze / thaw cycles.
Gene Name
NUDT19
Gene ID
390916
Human swiss
A8MXV4
Protein Name
NUDT19
Synonyms
RP2; NUDT19
Related Products