25% Off Select Antibodies and ELISA Kits
Sign In/Register 0

We use cookies, check our Privacy Policies.

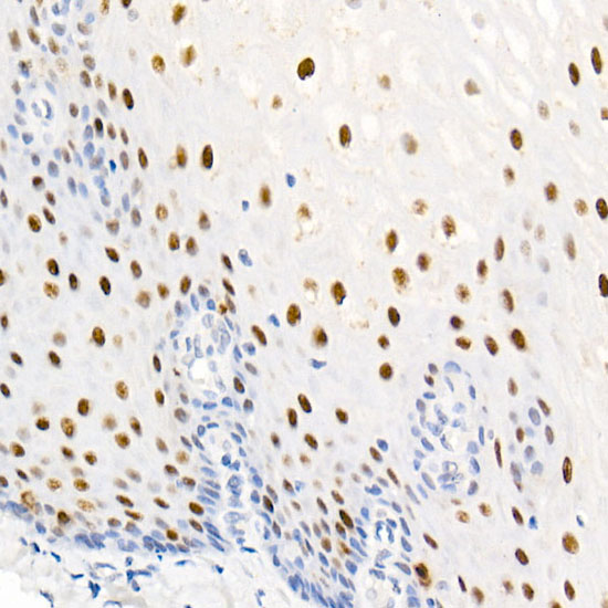
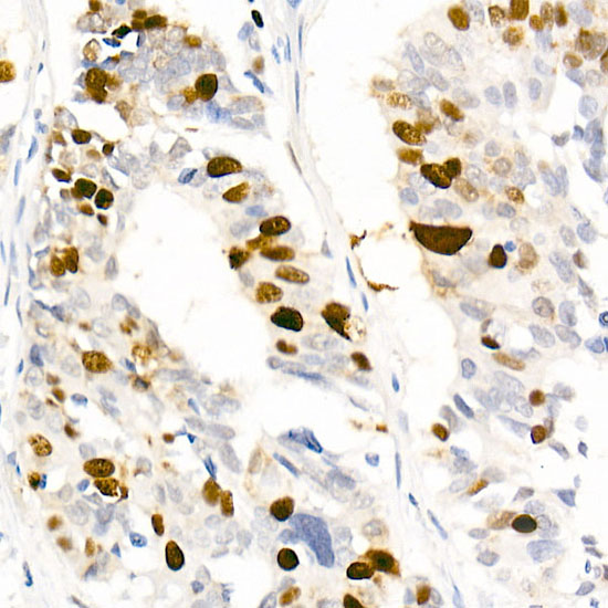
Nucleolin (Phospho Thr76) (AB4379) Rabbit mAb
Nucleolin (Phospho Thr76) (AB4379) Rabbit mAb

Assay Biotechnology Inc Antibodies and ELISA Kits have been rigorously validated for laboratory grade quality results. High specificity paired with high affinity for targets of interest give researchers an advantage with our products

Catalog No: M1961
Species Reactivity:Human
Application:IHC-P,ELISA
Host:Rabbit
Clonality:Monoclonal
Storage and Stability:Store at-20℃. Avoid freeze / thaw cycles.

$150
Product Details
Product Name
Nucleolin (Phospho Thr76) (AB4379) Rabbit mAb
Description
Nucleolin (NCL) , a eukaryotic nucleolar phosphoprotein, is involved in the synthesis and maturation of ribosomes. It is located mainly in dense fibrillar regions of the nucleolus. Human NCL gene consists of 14 exons with 13 introns and spans approximately 11kb. The intron 11 of the NCL gene encodes a small nucleolar RNA, termed U20.
Catalog No
M1961
Species Reactivity
Human
Clonality
Monoclonal
Host
Rabbit
Modifcation
Unmodified
Clone
AB4379
Isotype
IgG
Application
IHC-P, ELISA
Application Dilutions
IHC-P, 1:50-1:200 | ELISA, Recommended starting concentration is 1 μg/mL. Please optimize the concentration based on your specific assay requirements.
Immunogen
A phospho synthetic peptide corresponding to residues surrounding T76 of Human Nucleolin.
Specificity
This antibody detects endogenous levels of Nucleolin (Phospho Thr76) protein.
Formulation
The antibody is provided in liquid form in phosphate - buffered saline with 50% glycerol, 0.05% BSA, and 0.09% Sodium azide.
Purification
The antibody was purified by protein A affinity chromatography.
Storage and Stability
Store at-20℃. Avoid freeze / thaw cycles.
Gene Name
NCL
Gene ID
4691
Human swiss
P19338
Protein Name
Nucleolin (Phospho Thr76)
Synonyms
C23; Nsr1; Phospho-Nucleolin-T76
Related Products