25% Off Select Antibodies and ELISA Kits
Sign In/Register 0

We use cookies, check our Privacy Policies.

CYB5R3 (AB3201) Rabbit mAb
CYB5R3 (AB3201) Rabbit mAb

Assay Biotechnology Inc Antibodies and ELISA Kits have been rigorously validated for laboratory grade quality results. High specificity paired with high affinity for targets of interest give researchers an advantage with our products

Catalog No: M1924
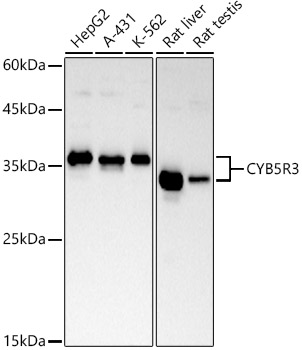
Species Reactivity:Human,Rat
Application:WB,ELISA
Host:Rabbit
Clonality:Monoclonal
Storage and Stability:Store at-20℃. Avoid freeze / thaw cycles.

$150
Product Details
Product Name
CYB5R3 (AB3201) Rabbit mAb
Description
This gene encodes cytochrome b5 reductase, which includes a membrane-bound form in somatic cells (anchored in the endoplasmic reticulum, mitochondrial and other membranes) and a soluble form in erythrocytes. The membrane-bound form exists mainly on the cytoplasmic side of the endoplasmic reticulum and functions in desaturation and elongation of fatty acids, in cholesterol biosynthesis, and in drug metabolism. The erythrocyte form is located in a soluble fraction of circulating erythrocytes and is involved in methemoglobin reduction. The membrane-bound form has both membrane-binding and catalytic domains, while the soluble form has only the catalytic domain. Alternate splicing results in multiple transcript variants. Mutations in this gene cause methemoglobinemias.
Catalog No
M1924
Species Reactivity
Human, Rat
Clonality
Monoclonal
Host
Rabbit
Modifcation
Unmodified
Clone
AB3201
Isotype
IgG
Application
WB, ELISA
Application Dilutions
WB, 1:500-1:1000 | ELISA, Recommended starting concentration is 1 μg/mL. Please optimize the concentration based on your specific assay requirements.
Immunogen
A synthetic peptide corresponding to a sequence within amino acids 1 - 100 of human CYB5R3.
Specificity
This antibody detects endogenous levels of CYB5R3 protein.
Formulation
The antibody is provided in liquid form in phosphate - buffered saline with 50% glycerol, 0.05% BSA, and 0.02% sodium azide.
Purification
The antibody was purified by protein A affinity chromatography.
Storage and Stability
Store at-20℃. Avoid freeze / thaw cycles.
Gene Name
CYB5R3
Gene ID
1727
Human swiss
P00387
Protein Name
CYB5R3
Synonyms
B5R; DIA1; CYB5R3
Related Products