25% Off Select Antibodies and ELISA Kits
Sign In/Register 0

We use cookies, check our Privacy Policies.

Ube2L3 / UBCH7 (AB5160) Rabbit mAb
Ube2L3 / UBCH7 (AB5160) Rabbit mAb

Assay Biotechnology Inc Antibodies and ELISA Kits have been rigorously validated for laboratory grade quality results. High specificity paired with high affinity for targets of interest give researchers an advantage with our products

Catalog No: M1919
Species Reactivity:Human,Mouse,Rat
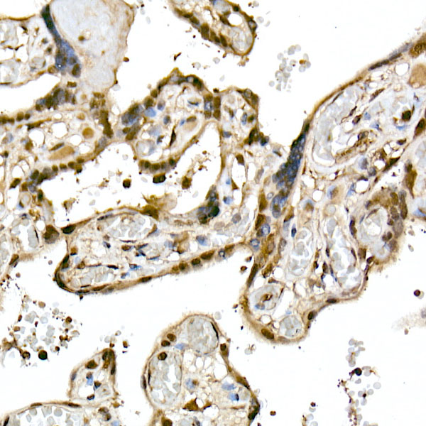
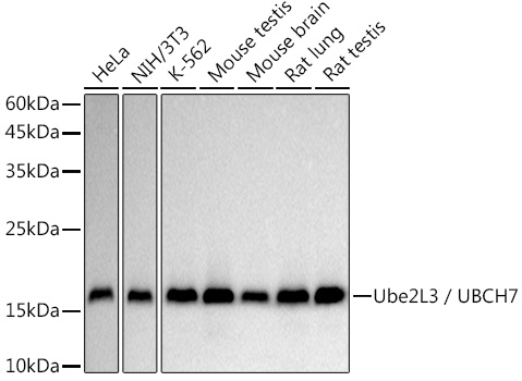
Application:WB,IHC-P,IF/ICC,ELISA
Host:Rabbit
Clonality:Monoclonal
Storage and Stability:Store at-20℃. Avoid freeze / thaw cycles.

$150
Product Details
Product Name
Ube2L3 / UBCH7 (AB5160) Rabbit mAb
Description
The modification of proteins with ubiquitin is an important cellular mechanism for targeting abnormal or short-lived proteins for degradation. Ubiquitination involves at least three classes of enzymes: ubiquitin-activating enzymes (E1s) , ubiquitin-conjugating enzymes (E2s) and ubiquitin-protein ligases (E3s) . This gene encodes a member of the E2 ubiquitin-conjugating enzyme family. This enzyme is demonstrated to participate in the ubiquitination of p53, c-Fos, and the NF-kB precursor p105 in vitro. Several alternatively spliced transcript variants have been found for this gene.
Catalog No
M1919
Species Reactivity
Human, Mouse, Rat
Clonality
Monoclonal
Host
Rabbit
Modifcation
Unmodified
Clone
AB5160
Isotype
IgG
Application
WB, IHC-P, IF/ICC, ELISA
Application Dilutions
WB, 1:500-1:1000 | IHC-P, 1:20-1:100 | IF/ICC, 1:20-1:50 | ELISA, Recommended starting concentration is 1 μg/mL. Please optimize the concentration based on your specific assay requirements.
Immunogen
A synthetic peptide corresponding to a sequence within amino acids 55 - 154 of human Ube2L3 / UBCH7.
Specificity
This antibody detects endogenous levels of Ube2L3 / UBCH7 protein.
Formulation
The antibody is provided in liquid form in phosphate - buffered saline with 50% glycerol, 0.05% BSA, and 0.02% sodium azide.
Purification
The antibody was purified by protein A affinity chromatography.
Storage and Stability
Store at-20℃. Avoid freeze / thaw cycles.
Gene Name
UBE2L3
Gene ID
7332
Human swiss
P68036
Protein Name
Ube2L3 / UBCH7
Synonyms
E2-F1; L-UBC; UBCH7; UbcM4; Ube2L3 / UBCH7
Related Products