25% Off Select Antibodies and ELISA Kits
Sign In/Register 0

We use cookies, check our Privacy Policies.

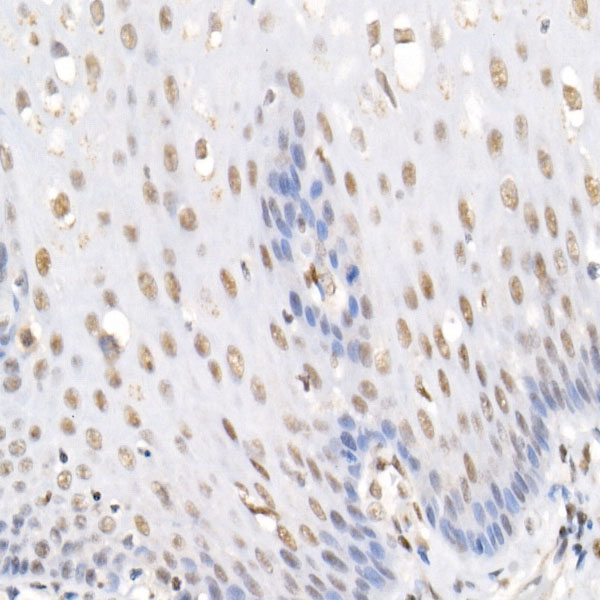
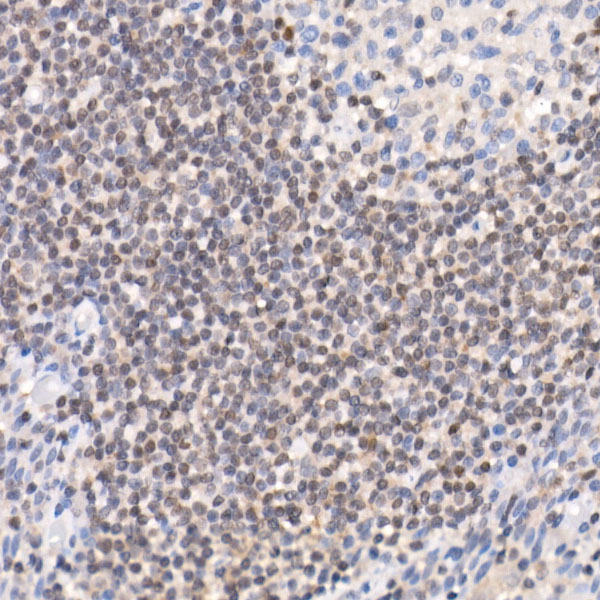
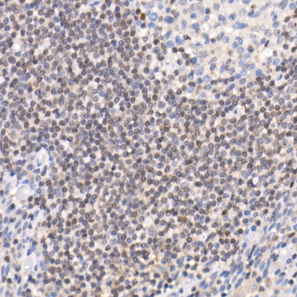
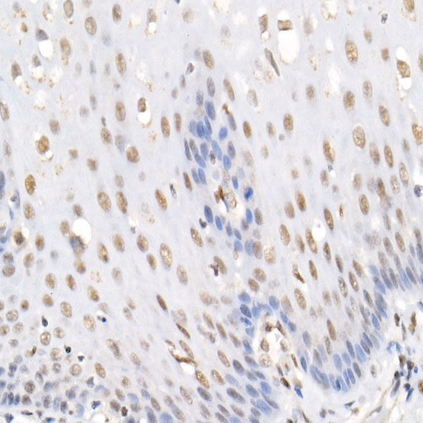
CRTC3 (AB3172) Rabbit mAb
CRTC3 (AB3172) Rabbit mAb

Assay Biotechnology Inc Antibodies and ELISA Kits have been rigorously validated for laboratory grade quality results. High specificity paired with high affinity for targets of interest give researchers an advantage with our products

Catalog No: M1896
Species Reactivity:Human,Mouse,Rat
Application:WB,IHC-P,ELISA
Host:Rabbit
Clonality:Monoclonal
Storage and Stability:Store at-20℃. Avoid freeze / thaw cycles.

$150
Product Details
Product Name
CRTC3 (AB3172) Rabbit mAb
Description
This gene is a member of the CREB regulated transcription coactivator gene family. This family regulates CREB-dependent gene transcription in a phosphorylation-independent manner and may be selective for cAMP-responsive genes. The protein encoded by this gene may induce mitochondrial biogenesis and attenuate catecholamine signaling in adipose tissue. A translocation event between this gene and Notch coactivator mastermind-like gene 2, which results in a fusion protein, has been reported in mucoepidermoid carcinomas. Alternative splicing results in multiple transcript variants that encode different protein isoforms.
Catalog No
M1896
Species Reactivity
Human, Mouse, Rat
Clonality
Monoclonal
Host
Rabbit
Modifcation
Unmodified
Clone
AB3172
Isotype
IgG
Application
WB, IHC-P, ELISA
Application Dilutions
WB, 1:100-1:500 | IHC-P, 1:50-1:200 | ELISA, Recommended starting concentration is 1 μg/mL. Please optimize the concentration based on your specific assay requirements.
Immunogen
A synthetic peptide corresponding to a sequence within amino acids 520 - 619 of human CRTC3 (Q6UUV7).
Specificity
This antibody detects endogenous levels of CRTC3 protein.
Formulation
The antibody is provided in liquid form in phosphate - buffered saline with 50% glycerol, 0.05% BSA, and 0.02% sodium azide.
Purification
The antibody was purified by protein A affinity chromatography.
Storage and Stability
Store at-20℃. Avoid freeze / thaw cycles.
Gene Name
CRTC3
Gene ID
64784
Human swiss
Q6UUV7
Protein Name
CRTC3
Synonyms
TORC3; TORC-3; CRTC3
Related Products