25% Off Select Antibodies and ELISA Kits
Sign In/Register 0

We use cookies, check our Privacy Policies.

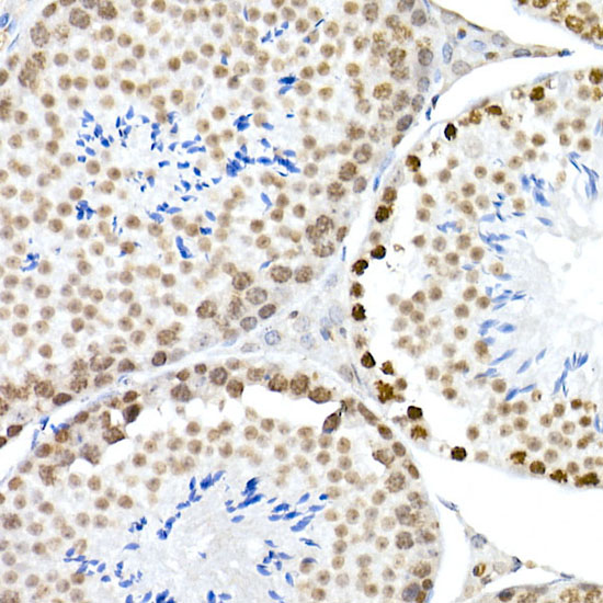
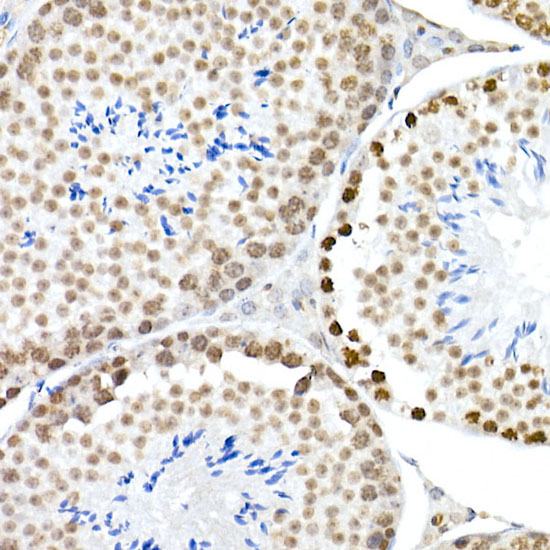
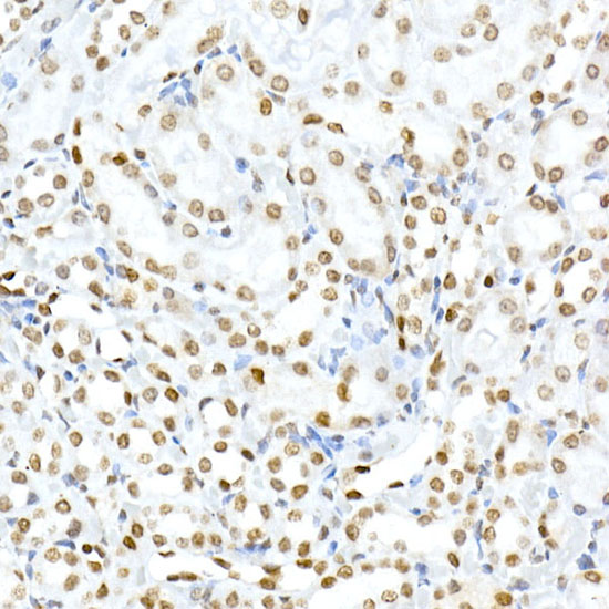
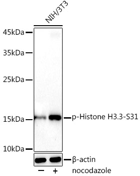
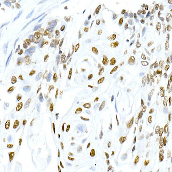
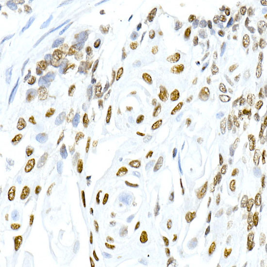
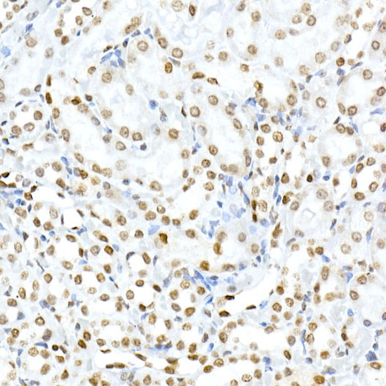
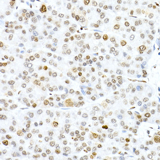
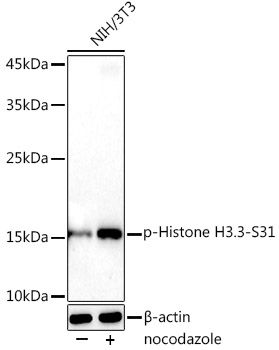
Histone H3.3(Phospho Ser31) (AB3758) Rabbit mAb
Histone H3.3(Phospho Ser31) (AB3758) Rabbit mAb

Assay Biotechnology Inc Antibodies and ELISA Kits have been rigorously validated for laboratory grade quality results. High specificity paired with high affinity for targets of interest give researchers an advantage with our products

Catalog No: M1891
Species Reactivity:Human,Mouse,Rat,Other (Wide Range Predicted)
Application:WB,IHC-P,ELISA
Host:Rabbit
Clonality:Monoclonal
Storage and Stability:Store at-20℃. Avoid freeze / thaw cycles.

$150
Product Details
Product Name
Histone H3.3(Phospho Ser31) (AB3758) Rabbit mAb
Description
Histones are basic nuclear proteins that are responsible for the nucleosome structure of the chromosomal fiber in eukaryotes. Two molecules of each of the four core histones (H2A, H2B, H3, and H4) form an octamer, around which approximately 146 bp of DNA is wrapped in repeating units, called nucleosomes. The linker histone, H1, interacts with linker DNA between nucleosomes and functions in the compaction of chromatin into higher order structures. This gene contains introns and its mRNA is polyadenylated, unlike most histone genes. The protein encoded by this gene is a replication-independent histone that is a member of the histone H3 family. Pseudogenes of this gene have been identified on the X chromosome, and on chromosomes 5, 13 and 17.
Catalog No
M1891
Species Reactivity
Human, Mouse, Rat, Other (Wide Range Predicted)
Clonality
Monoclonal
Host
Rabbit
Modifcation
Phospho S31
Clone
AB3758
Isotype
IgG
Application
WB, IHC-P, ELISA
Application Dilutions
WB, 1:500-1:1000 | IHC-P, 1:50-1:200 | ELISA, Recommended starting concentration is 1 μg/mL. Please optimize the concentration based on your specific assay requirements.
Immunogen
A synthetic phosphorylated peptide around S31 of human Histone H3. 3.
Specificity
The antibody detects endogenous levels of Histone H3. 3 protein only when phosphorylated at Ser31. The antibody does not cross-react with Histone H3. 3 phosphorylated at other sites.
Formulation
The antibody is provided in liquid form in phosphate - buffered saline with 50% glycerol, 0.05% BSA, and 0.02% sodium azide.
Purification
The antibody was purified by protein A affinity chromatography.
Storage and Stability
Store at-20℃. Avoid freeze / thaw cycles.
Gene Name
H3-3B
Gene ID
3020
Human swiss
P84243
Protein Name
Histone H3. 3(Phospho Ser31)
Synonyms
H3-3A; H3. 3B; H3F3B; BRYLIB2; Phospho-Histone H3. 3-S31
Related Products