25% Off Select Antibodies and ELISA Kits
Sign In/Register 0

We use cookies, check our Privacy Policies.

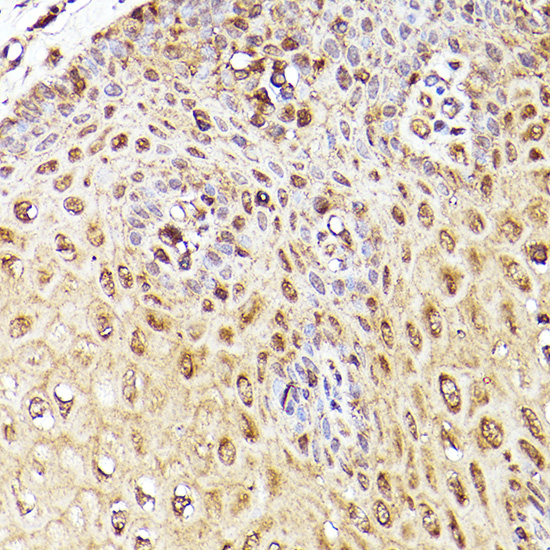
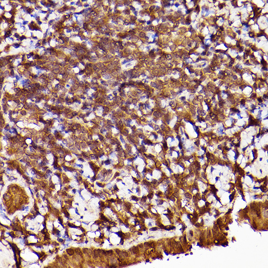
K63-linkage Specific Ubiquitin (AB3999) Rabbit mAb
K63-linkage Specific Ubiquitin (AB3999) Rabbit mAb

Assay Biotechnology Inc Antibodies and ELISA Kits have been rigorously validated for laboratory grade quality results. High specificity paired with high affinity for targets of interest give researchers an advantage with our products

Catalog No: M1871
Species Reactivity:Human,Mouse,Rat
Application:IHC-P,IF/ICC,ELISA
Host:Rabbit
Clonality:Monoclonal
Storage and Stability:Store at-20℃. Avoid freeze / thaw cycles.

$150
Product Details
Product Name
K63-linkage Specific Ubiquitin (AB3999) Rabbit mAb
Description
This gene encodes ubiquitin, one of the most conserved proteins known. Ubiquitin has a major role in targeting cellular proteins for degradation by the 26S proteosome. It is also involved in the maintenance of chromatin structure, the regulation of gene expression, and the stress response. Ubiquitin is synthesized as a precursor protein consisting of either polyubiquitin chains or a single ubiquitin moiety fused to an unrelated protein. This gene consists of three direct repeats of the ubiquitin coding sequence with no spacer sequence. Consequently, the protein is expressed as a polyubiquitin precursor with a final amino acid after the last repeat. An aberrant form of this protein has been detected in patients with Alzheimer's disease and Down syndrome. Pseudogenes of this gene are located on chromosomes 1, 2, 13, and 17. Alternative splicing results in multiple transcript variants.
Catalog No
M1871
Species Reactivity
Human, Mouse, Rat
Clonality
Monoclonal
Host
Rabbit
Modifcation
Unmodified
Clone
AB3999
Isotype
IgG
Application
IHC-P, IF/ICC, ELISA
Application Dilutions
IHC-P, 1:50-1:200 | IF/ICC, 1:50-1:200 | ELISA, Recommended starting concentration is 1 μg/mL. Please optimize the concentration based on your specific assay requirements.
Immunogen
A synthetic peptide corresponding to a sequence within amino acids 206 - 225 of human K63 - linkage Specific Ubiquitin.
Specificity
This antibody detects endogenous levels of K63-linkage Specific Ubiquitin protein.
Formulation
The antibody is provided in liquid form in phosphate - buffered saline with 50% glycerol, 0.05% BSA, and 0.02% sodium azide.
Purification
The antibody was purified by protein A affinity chromatography.
Storage and Stability
Store at-20℃. Avoid freeze / thaw cycles.
Gene Name
UBB
Gene ID
7314
Human swiss
P0CG47
Protein Name
K63-linkage Specific Ubiquitin
Synonyms
HEL-S-50; K63-linkage Specific Ubiquitin
Related Products