25% Off Select Antibodies and ELISA Kits
Sign In/Register 0

We use cookies, check our Privacy Policies.

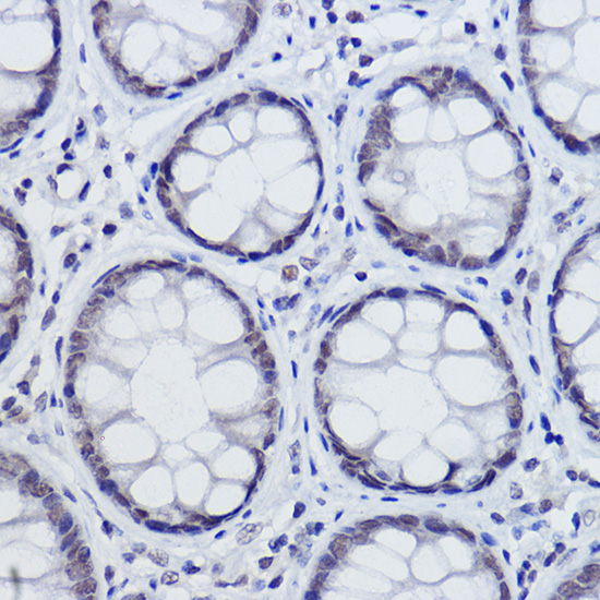
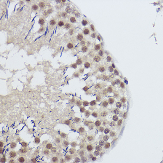
USP39 (AB5193) Rabbit mAb
USP39 (AB5193) Rabbit mAb

Assay Biotechnology Inc Antibodies and ELISA Kits have been rigorously validated for laboratory grade quality results. High specificity paired with high affinity for targets of interest give researchers an advantage with our products

Catalog No: M1832
Species Reactivity:Human,Rat
Application:WB,IHC-P,ELISA
Host:Rabbit
Clonality:Monoclonal
Storage and Stability:Store at-20℃. Avoid freeze / thaw cycles.

$150
Product Details
Product Name
USP39 (AB5193) Rabbit mAb
Description
Predicted to enable thiol-dependent deubiquitinase and zinc ion binding activity. Involved in spliceosomal complex assembly. Located in nucleoplasm. Part of U4/U6 x U5 tri-snRNP complex.
Catalog No
M1832
Species Reactivity
Human, Rat
Clonality
Monoclonal
Host
Rabbit
Modifcation
Unmodified
Clone
AB5193
Isotype
IgG
Application
WB, IHC-P, ELISA
Application Dilutions
WB, 1:500-1:1000 | IHC-P, 1:50-1:200 | ELISA, Recommended starting concentration is 1 μg/mL. Please optimize the concentration based on your specific assay requirements.
Immunogen
A synthetic peptide corresponding to a sequence within amino acids 200 - 300 of human USP39 (Q53GS9).
Specificity
This antibody detects endogenous levels of USP39 protein.
Formulation
The antibody is provided in liquid form in phosphate - buffered saline with 50% glycerol, 0.05% BSA, and 0.02% sodium azide.
Purification
The antibody was purified by protein A affinity chromatography.
Storage and Stability
Store at-20℃. Avoid freeze / thaw cycles.
Gene Name
USP39
Gene ID
10713
Human swiss
Q53GS9
Protein Name
USP39
Synonyms
65K; SAD1; CGI-21; HSPC332; SNRNP65; USP39
Related Products