25% Off Select Antibodies and ELISA Kits
Sign In/Register 0

We use cookies, check our Privacy Policies.

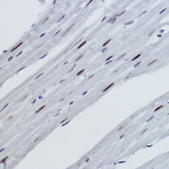
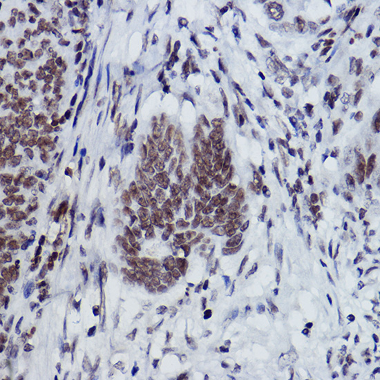
Histone H2B (Mono Methyl Lys116) (AB3735) Rabbit mAb
Histone H2B (Mono Methyl Lys116) (AB3735) Rabbit mAb

Assay Biotechnology Inc Antibodies and ELISA Kits have been rigorously validated for laboratory grade quality results. High specificity paired with high affinity for targets of interest give researchers an advantage with our products

Catalog No: M1784
Species Reactivity:Human,Mouse,Rat,Other (Wide Range Predicted)
Application:IHC-P,ELISA
Host:Rabbit
Clonality:Monoclonal
Storage and Stability:Store at-20℃. Avoid freeze / thaw cycles.

$150
Product Details
Product Name
Histone H2B (Mono Methyl Lys116) (AB3735) Rabbit mAb
Description
Histones are basic nuclear proteins that are responsible for the nucleosome structure of the chromosomal fiber in eukaryotes. Two molecules of each of the four core histones (H2A, H2B, H3, and H4) form an octamer, around which approximately 146 bp of DNA is wrapped in repeating units, called nucleosomes. The linker histone, H1, interacts with linker DNA between nucleosomes and functions in the compaction of chromatin into higher order structures. This gene encodes a replication-dependent histone that is a member of the histone H2B family, and generates two transcripts through the use of the conserved stem-loop termination motif, and the polyA addition motif. The protein has antibacterial and antifungal antimicrobial activity.
Catalog No
M1784
Species Reactivity
Human, Mouse, Rat, Other (Wide Range Predicted)
Clonality
Monoclonal
Host
Rabbit
Modifcation
Unmodified
Clone
AB3735
Isotype
IgG
Application
IHC-P, ELISA
Application Dilutions
IHC-P, 1:50-1:200 | ELISA, Recommended starting concentration is 1 μg/mL. Please optimize the concentration based on your specific assay requirements.
Immunogen
A synthesized peptide derived from human Histone H2B (mono methyl K116).
Specificity
This antibody detects endogenous levels of Histone H2B (Mono Methyl Lys116) protein.
Formulation
The antibody is provided in liquid form in phosphate - buffered saline with 50% glycerol, 0.05% BSA, and 0.02% sodium azide.
Purification
The antibody was purified by protein A affinity chromatography.
Storage and Stability
Store at-20℃. Avoid freeze / thaw cycles.
Gene Name
H2BC21
Gene ID
3017; 8349
Human swiss
P62807; Q16778
Protein Name
Histone H2B (Mono Methyl Lys116)
Synonyms
H2B; H2BE; H2BQ; GL105; H2B. 1; H2BFQ; H2BGL105; H2B-GL105; HIST2H2BE; MonoMethyl-Histone H2B-K116
Related Products