25% Off Select Antibodies and ELISA Kits
Sign In/Register 0

We use cookies, check our Privacy Policies.

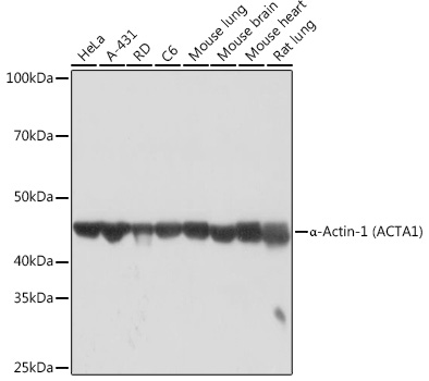
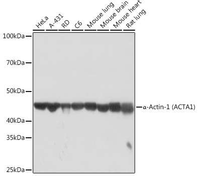
α-Actin-1 (ACTA1) (AB5273) Rabbit mAb
α-Actin-1 (ACTA1) (AB5273) Rabbit mAb

Assay Biotechnology Inc Antibodies and ELISA Kits have been rigorously validated for laboratory grade quality results. High specificity paired with high affinity for targets of interest give researchers an advantage with our products

Catalog No: M1780
Species Reactivity:Human,Mouse,Rat
Application:WB,IF/ICC,ELISA
Host:Rabbit
Clonality:Monoclonal
Storage and Stability:Store at-20℃. Avoid freeze / thaw cycles.

$150
Product Details
Product Name
α-Actin-1 (ACTA1) (AB5273) Rabbit mAb
Description
The product encoded by this gene belongs to the actin family of proteins, which are highly conserved proteins that play a role in cell motility, structure and integrity. Alpha, beta and gamma actin isoforms have been identified, with alpha actins being a major constituent of the contractile apparatus, while beta and gamma actins are involved in the regulation of cell motility. This actin is an alpha actin that is found in skeletal muscle. Mutations in this gene cause a variety of myopathies, including nemaline myopathy, congenital myopathy with excess of thin myofilaments, congenital myopathy with cores, and congenital myopathy with fiber-type disproportion, diseases that lead to muscle fiber defects with manifestations such as hypotonia.
Catalog No
M1780
Species Reactivity
Human, Mouse, Rat
Clonality
Monoclonal
Host
Rabbit
Modifcation
Unmodified
Clone
AB5273
Isotype
IgG
Application
WB, IF/ICC, ELISA
Application Dilutions
WB, 1:1000-1:5000 | IF/ICC, 1:50-1:200 | ELISA, Recommended starting concentration is 1 μg/mL.
Immunogen
A synthetic peptide corresponding to a sequence within amino acids 250 - 350 of human α - Actin - 1 (ACTA1).
Specificity
This antibody detects endogenous levels of α-Actin-1 (ACTA1) protein.
Formulation
The antibody is provided in liquid form in phosphate - buffered saline with 50% glycerol, 0.05% BSA, and 0.02% sodium azide.
Purification
The antibody was purified by protein A affinity chromatography.
Storage and Stability
Store at-20℃. Avoid freeze / thaw cycles.
Gene Name
ACTA1
Gene ID
58
Human swiss
P68133
Protein Name
α-Actin-1 (ACTA1)
Synonyms
ACTA; ASMA; CFTD; MPFD; NEM1; NEM2; NEM3; SHPM; CFTD1; CFTDM; CMYP2A; CMYP2B; CMYP2C; α-Actin-1 (ACTA1)
Related Products