25% Off Select Antibodies and ELISA Kits
Sign In/Register 0

We use cookies, check our Privacy Policies.

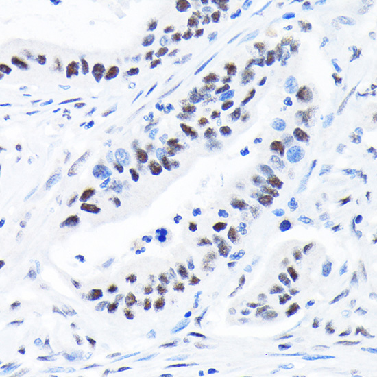
SUPT5H/SPT5 (AB4989) Rabbit mAb
SUPT5H/SPT5 (AB4989) Rabbit mAb

Assay Biotechnology Inc Antibodies and ELISA Kits have been rigorously validated for laboratory grade quality results. High specificity paired with high affinity for targets of interest give researchers an advantage with our products

Catalog No: M1716
Species Reactivity:Human,Mouse,Rat
Application:WB,IHC-P,IF/ICC,ELISA
Host:Rabbit
Clonality:Monoclonal
Storage and Stability:Store at-20℃. Avoid freeze / thaw cycles.

$150
Product Details
Product Name
SUPT5H/SPT5 (AB4989) Rabbit mAb
Description
Enables enzyme binding activity and protein heterodimerization activity. Involved in positive regulation of macroautophagy; regulation of RNA metabolic process; and transcription elongation from RNA polymerase II promoter. Located in nucleoplasm. Part of DSIF complex.
Catalog No
M1716
Species Reactivity
Human, Mouse, Rat
Clonality
Monoclonal
Host
Rabbit
Modifcation
Unmodified
Clone
AB4989
Isotype
IgG
Application
WB, IHC-P, IF/ICC, ELISA
Application Dilutions
WB, 1:500-1:1000 | IHC-P, 1:50-1:200 | IF/ICC, 1:50-1:200 | ELISA, Recommended starting concentration is 1 μg/mL. Please optimize the concentration based on your specific assay requirements.
Immunogen
A synthetic peptide corresponding to a sequence within amino acids 800 - 900 of human SUPT5H/SPT5 (O00267).
Specificity
This antibody detects endogenous levels of SUPT5H/SPT5 protein.
Formulation
The antibody is provided in liquid form in phosphate - buffered saline with 50% glycerol, 0.05% BSA, and 0.02% sodium azide.
Purification
The antibody was purified by protein A affinity chromatography.
Storage and Stability
Store at-20℃. Avoid freeze / thaw cycles.
Gene Name
SUPT5H
Gene ID
6829
Human swiss
O00267
Protein Name
SUPT5H/SPT5
Synonyms
SPT5; SPT5H; Tat-CT1; SUPT5H/SPT5
Related Products