25% Off Select Antibodies and ELISA Kits
Sign In/Register 0

We use cookies, check our Privacy Policies.

CTIP2/BCL11B (AB3182) Rabbit mAb
CTIP2/BCL11B (AB3182) Rabbit mAb

Assay Biotechnology Inc Antibodies and ELISA Kits have been rigorously validated for laboratory grade quality results. High specificity paired with high affinity for targets of interest give researchers an advantage with our products

Catalog No: M1685
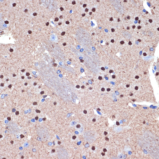
Species Reactivity:Human,Mouse
Application:WB,IHC-P,ELISA
Host:Rabbit
Clonality:Monoclonal
Storage and Stability:Store at-20℃. Avoid freeze / thaw cycles.

$150
Product Details
Product Name
CTIP2/BCL11B (AB3182) Rabbit mAb
Description
This gene encodes a C2H2-type zinc finger protein and is closely related to BCL11A, a gene whose translocation may be associated with B-cell malignancies. Although the specific function of this gene has not been determined, the encoded protein is known to be a transcriptional repressor, and is regulated by the NURD nucleosome remodeling and histone deacetylase complex. Four alternatively spliced transcript variants encoding distinct isoforms have been found for this gene.
Catalog No
M1685
Species Reactivity
Human, Mouse
Clonality
Monoclonal
Host
Rabbit
Modifcation
Unmodified
Clone
AB3182
Isotype
IgG
Application
WB, IHC-P, ELISA
Application Dilutions
WB, 1:1000-1:6000 | IHC-P, 1:50-1:200 | ELISA, Recommended starting concentration is 1 μg/mL. Please optimize the concentration based on your specific assay requirements.
Immunogen
A synthetic peptide corresponding to a sequence within amino acids 450 - 550 of human CTIP2/BCL11B (Q9C0K0).
Specificity
This antibody detects endogenous levels of CTIP2/BCL11B protein.
Formulation
The antibody is provided in liquid form in phosphate - buffered saline with 50% glycerol, 0.05% BSA, and 0.02% sodium azide.
Purification
The antibody was purified by protein A affinity chromatography.
Storage and Stability
Store at-20℃. Avoid freeze / thaw cycles.
Gene Name
BCL11B
Gene ID
64919
Human swiss
Q9C0K0
Protein Name
CTIP2/BCL11B
Synonyms
ATL1; RIT1; CTIP2; IMD49; CTIP-2; IDDFSTA; SMARCM2; ZNF856B; ATL1-beta; ATL1-alpha; ATL1-delta; ATL1-gamma; hRIT1-alpha; CTIP2/BCL11B
Related Products