25% Off Select Antibodies and ELISA Kits
Sign In/Register 0

We use cookies, check our Privacy Policies.

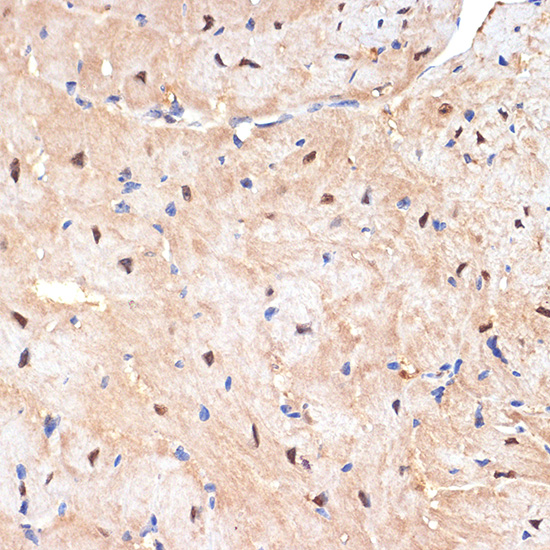
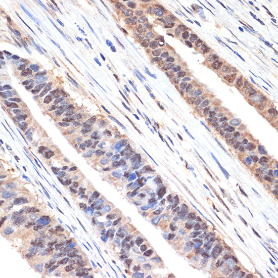
sestrin 1 (AB4855) Rabbit mAb
sestrin 1 (AB4855) Rabbit mAb

Assay Biotechnology Inc Antibodies and ELISA Kits have been rigorously validated for laboratory grade quality results. High specificity paired with high affinity for targets of interest give researchers an advantage with our products

Catalog No: M1673
Species Reactivity:Human,Mouse
Application:WB,IHC-P,ELISA
Host:Rabbit
Clonality:Monoclonal
Storage and Stability:Store at-20℃. Avoid freeze / thaw cycles.

$150
Product Details
Product Name
sestrin 1 (AB4855) Rabbit mAb
Description
This gene encodes a member of the sestrin family. Sestrins are induced by the p53 tumor suppressor protein and play a role in the cellular response to DNA damage and oxidative stress. The encoded protein mediates p53 inhibition of cell growth by activating AMP-activated protein kinase, which results in the inhibition of the mammalian target of rapamycin protein. The encoded protein also plays a critical role in antioxidant defense by regenerating overoxidized peroxiredoxins, and the expression of this gene is a potential marker for exposure to radiation. Alternatively spliced transcript variants encoding multiple isoforms have been observed for this gene.
Catalog No
M1673
Species Reactivity
Human, Mouse
Clonality
Monoclonal
Host
Rabbit
Modifcation
Unmodified
Clone
AB4855
Isotype
IgG
Application
WB, IHC-P, ELISA
Application Dilutions
WB, 1:500-1:2000 | IHC-P, 1:50-1:200 | ELISA, Recommended starting concentration is 1 μg/mL. Please optimize the concentration based on your specific assay requirements.
Immunogen
A synthetic peptide corresponding to a sequence within amino acids 100 - 200 of human sestrin 1 (Q9Y6P5).
Specificity
This antibody detects endogenous levels of sestrin 1 protein.
Formulation
The antibody is provided in liquid form in phosphate - buffered saline with 50% glycerol, 0.05% BSA, and 0.02% sodium azide.
Purification
The antibody was purified by protein A affinity chromatography.
Storage and Stability
Store at-20℃. Avoid freeze / thaw cycles.
Gene Name
SESN1
Gene ID
27244
Human swiss
Q9Y6P5
Protein Name
sestrin 1
Synonyms
PA26; SEST1; sestrin 1
Related Products