25% Off Select Antibodies and ELISA Kits
Sign In/Register 0

We use cookies, check our Privacy Policies.

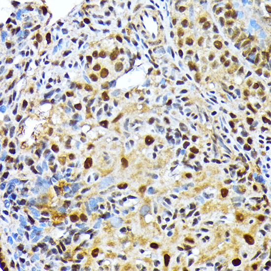
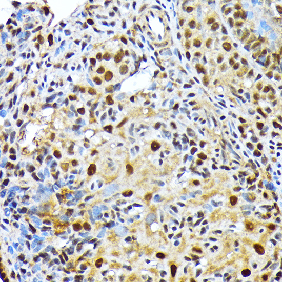
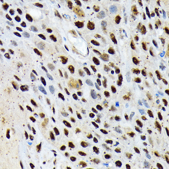
ENT2/SLC29A2 (AB3404) Rabbit mAb
ENT2/SLC29A2 (AB3404) Rabbit mAb

Assay Biotechnology Inc Antibodies and ELISA Kits have been rigorously validated for laboratory grade quality results. High specificity paired with high affinity for targets of interest give researchers an advantage with our products

Catalog No: M1624
Species Reactivity:Human,Mouse,Rat
Application:IHC-P,IF/ICC,ELISA
Host:Rabbit
Clonality:Monoclonal
Storage and Stability:Store at-20℃. Avoid freeze / thaw cycles.

$150
Product Details
Product Name
ENT2/SLC29A2 (AB3404) Rabbit mAb
Description
The uptake of nucleosides by transporters, such as SLC29A2, is essential for nucleotide synthesis by salvage pathways in cells that lack de novo biosynthetic pathways. Nucleoside transport also plays a key role in the regulation of many physiologic processes through its effect on adenosine concentration at the cell surface (Griffiths et al. , 1997 [PubMed 9396714]) .
Catalog No
M1624
Species Reactivity
Human, Mouse, Rat
Clonality
Monoclonal
Host
Rabbit
Modifcation
Unmodified
Clone
AB3404
Isotype
IgG
Application
IHC-P, IF/ICC, ELISA
Application Dilutions
IHC-P, 1:50-1:200 | IF/ICC, 1:50-1:200 | ELISA, Recommended starting concentration is 1 μg/mL. Please optimize the concentration based on your specific assay requirements.
Immunogen
A synthetic peptide corresponding to a sequence within amino acids 1 - 100 of human ENT2/SLC29A2 (Q14542).
Specificity
This antibody detects endogenous levels of ENT2/SLC29A2 protein.
Formulation
The antibody is provided in liquid form in phosphate - buffered saline with 50% glycerol, 0.05% BSA, and 0.02% sodium azide.
Purification
The antibody was purified by protein A affinity chromatography.
Storage and Stability
Store at-20℃. Avoid freeze / thaw cycles.
Gene Name
SLC29A2
Gene ID
3177
Human swiss
Q14542
Protein Name
ENT2/SLC29A2
Synonyms
ENT2; DER12; HNP36; ENT2/SLC29A2
Related Products